
JA静岡厚生連 遠州病院様では、2016年からSIGNA™ Pioneer 3.0Tが 稼働しており、この度、Continuity™などによって基本性能が大幅に向上しました。
本稿では導入後から現在に至るバージョンのご紹介、Continuity™のメリットや機能強化された点にてついてご執筆頂きました。

当院は静岡県浜松市に位置し、浜松駅から最も近郊でアクセスしやすい利便性の高さを活かし、急性期医療から回復期医療を担うケアミックス型の地域医療支援病院である。病床数は、400床(うち回復期リハビリテーション病棟60床)。MR装置は、SIGNA™ Pioneer 3.0Tと他社製1.5Tの2台体制で検査を行い各診療科のニーズに対応している。このたびSIGNA™ Pioneer 3.0Tを3月にVer.29にバージョンアップし、同時にHyperSense2.0などのオプションソフトウェアも導入されたので、バージョンの変遷と使用経験を踏まえ紹介する。
2016年12月にSIGNA™ Pioneer 3.0Tが稼働したときは、Ver.25.0だった。そして1年後に無償のバージョンアップ(FMI)という形でVer.26.1になり、そして2020年11月にContinuityにてVer.28、2021年3月にVer.29という流れをたどっている。 図表1に示すように基本性能のバージョンアップにおいても新機能がその都度追加されており、業務の改善につながっていった。特にPROPELER MBに関しては、体動補正機能の強化と操作画面の統一化によって煩わしさが大きく減ったことを実感している。

Continuity™とは、装置の陳腐化を防ぐ保守プログラムである。通常の保守本体に上乗せすることによって、契約期間中にリリースされた最新バージョンに更新することができる。ソフトウェアだけではなくハードウェアも含めた更新を行うことができる。通常、装置のバージョンアップを申請する場合には、メーカーから見積もりを取って予算化してから執行するので多大な手間と時間を必要とする。Continuity™は時間の簡略化と手続きの簡素化を実現してくれる。先に述べた新機能だけではなく、不具合も修正されるのがうれしい。今回は、Continuity™の期間が終了し保守更新をするタイミングで、突出した支出をすることなく、Ver.29で使用可能になったいくつかのオプションソフトウェアが導入された(図表2)。

Continuity™によりいくつかの新しいアプリケーション追加や機能の拡張があった。それぞれの新機能について、当院で行った臨床活用の知見を述べる。
AIR Recon
上腹部へも適応拡大され全ての部位においてバックグラウンドノイズ低減や周囲から折り返してくるアーチファクトが減少している。No phase wrap factorを減らして、撮像時間を短縮できる効果は大きい。
HyperSense2.0
HyperSense2.0になって使用シーケンスの適応拡大がなされ、従来の3D TOF MRA、3D Cube、3D MRCPの他に、3DLAVA-Flex 3D-MERGEなどに適用できるようになった。
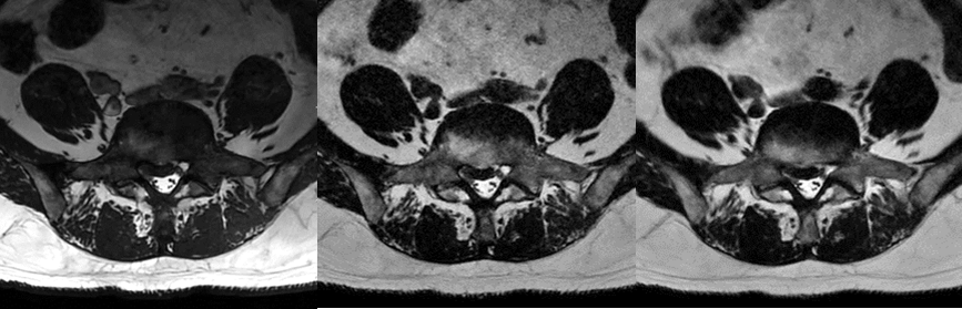
腰椎の検査においてthinsliceによる詳細な評価をする際は、3D FIESTA-Cを追加していたが、 HyperSenseによりCube T2 が扱い易くなり3分程度で撮像可能となった。短時間撮像が可能になった事でルーチンシーケンスに組み込む事ができ、見馴れたT2強調コントラストを提供できる。また、椎間孔に沿った断面と直行断面を撮像すると5分以上要していたが、Cube T2 (HyperSense併用)のボリュームデータからリフォーマットにより対応可能となり、時間短縮に繋がった。(図表3)

3D MRCPはスパース性の高い画像であり、圧縮センシングとの相性も良いといわれている。さらに高分解能に設定された条件下では、HyperSenseのfactorを上げやすいと感じている。参考例を図表4に示す。

Flex for FSE and Cube
従来の3ポイントDIXONのIDEAL法の他に2ポイントDIXONのFlex法が使用可能となった。Flex法は、均一な脂肪抑制画像を取得でき、IDEALほど時間延長はなく非常に使い勝手の良いシーケンスである。手指や足趾などの磁場不均一が生じやすい部位に対しても、簡便に均一な脂肪抑制画像が取得でき大変重宝している。軟部腫瘍精査を目的とする際は、均一な脂肪抑制画像だけではなくIn phase画像が取得できるので、totalの検査時間が短縮され非常に有用である。


Snapshot SSFSE
MRCPなどの上腹部撮像検査に於いて、SSFSE T2強調画像を多用している。しばしば呼吸停止が困難な患者さんの検査に遭遇することがあるが、その際はベローズ装着によるRespiratory gatingで撮像している。従来は、1R-R間隔(1呼吸間隔) 1shot撮像で1枚の画像を収集していたが、1R-R(1呼吸間隔)が長く呼吸回数が少ない患者さんの検査は撮像時間が必然的に長くなっていた。例えば、呼吸回数6回/minの場合には24枚収集で4分程度撮像時間がかかっていた。Snapshot SSFSE は、1R-R間隔に複数スライス(複数shot)を取得できるようになったので、前述と同様の呼吸回数において1R-R間隔3shotの場合は、1分20秒となり2分40秒も短縮されることになる。以前と比べて3倍速く収集できるため、呼吸数が少ない患者さんでも上腹部検査を通常の検査時間枠内で終える見通しが立つ。
当院のFree Breath MRCPルーチンシーケンスは以下のとおりである。(図表7)
以前のバージョンとのおおよその撮像時間の比較もあわせて記載する。

MRCPルーチン検査画像
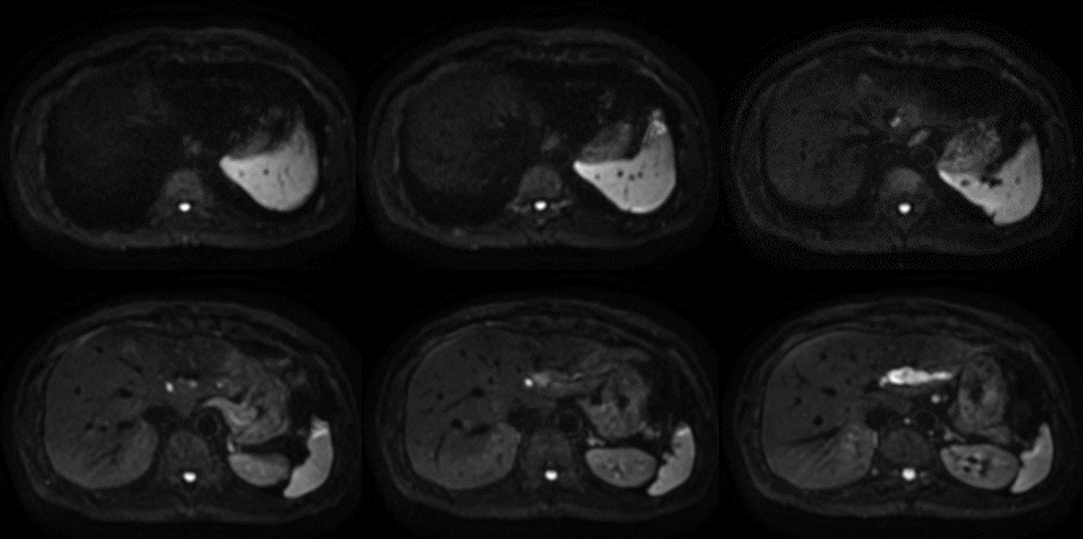
MR29新機能を用いた臨床例。図表8に膵体部がん症例を供覧する。膵体部にDWI高信号を示し主膵管の拡張を来している。

DWI Enhancement
今回のバージョンアップでは、上腹部におけるDWIのシェーディングが抑制される拡張機能が追加されている。DWIはもともとMPGにより動きの有無をコントラストとした画像であるため、動きに対して非常にセンシティブな撮像法である。上腹部領域は、心拍伝播などのわずかな動き(non-diffusive motion)の影響を受けやすい部位である。それにより同領域では位相分散による信号低下を引き起こす原因となっている。今回のDWI Enhancementは、わずかな動き(non-diffusive motion)による位相分散に対して信号低下が起こりにくいように、DWIのリコンアルゴリズムを最適化した新しい画像再構成技術が搭載されている。
今回の拡張機能によりDWIの安定した画像が取得でき、信頼性の高い画像が確実な診断へと導いてくれている。


Continuity™による装置バージョンアップにより最新の機能が使えることで、たとえoptionの購入がなくても標準機能の範囲内で検査の進化をもたらしてくれる効果は非常に大きく、検査時間の短縮や画質向上によるメリットは、病院の健全経営にも寄与する。患者さんが直接受ける恩恵も大きいと感じている。4年半使用し操作に慣れてきた時点でのバージョンアップは、最新機能を使いこなすという意味合いでオペレーターに刺激を与えてくれている。いつまでも最新装置を使用でき、各診療科へクオリティの高い画像提供をすることがより良い医療提供につながると考えている。以前は、10年程度同じバージョンで使用し時代遅れとなる感が否めなかった。やっと更新となると、10年分の多くの最新技術の習得に迫られる。その大変さが緩和されることになるのは言うまでもない。技師にとっても患者さんにとっても病院経営にとっても有益であり、多くの施設にとってマストアイテムとなる事を確信し、Continuity™をおススメする。