はじめに
当院では、2025年1月にGEヘルスケア社製CT Revolution Ascend Elite(以下Ascend Elite)にリプレースさ れ、同時にMotion Correction アルゴリズムである Snapshot Freeze2.0 (以下SSF2) が導入された。
本稿では、 64列CT Ascend EliteとSSF2がワイドカバレッジCTに匹 敵する結果をもたらした点について紹介する。
Fig.1 内田技師(左)、松田先生(右)
β遮断薬使用率68%削減
ー患者・医療従事者のメリットー
多くの64列CTはガントリ回転速度が最速0.35秒/回転となっており、1心拍あたりに取得できるデータ量には物理的な限界がある。通常、この回転速度では心臓CTの実効時間分解能は約175msec程度(半回転再構成時)に留まり、心拍数が60以上の症例では冠動脈の動きに起因するブレ(モーションアーチファクト)が画像に現れやすくなる。従来は検査前にβ遮断薬を投与して心拍数を下げるといった前処置が不可欠であった 。実際、当院でも従来は安静時心拍数が65bpmを超える患者に対しβ遮断薬が日常的に行われていた(全体の70%以上)。
しかし薬剤による心拍調整には患者負担とともに医師、看護師含め相当な業務負担となっていたのは事実である。SSF2は0.35回転時間の基本性能はそのままにPost Processingにバーチャルの時間分解能を向上させる新たな技術であり、冠動脈CTのワークフローを大幅に改善した。
◆従来:心拍数65以上の場合のβ遮断薬使用の流れ
①自宅でβ遮断薬を内服(メトプロロール塩酸塩 20mg 検査1時間前)
②来院時の心拍数が目標レートに到達していない場合は更に1錠追加
③効果発現までの30分以上をモニター装着の上、看護師が15分毎に
バイタルを測定し医師に報告。
緊張の強い症例は弱い鎮静剤を使用して撮影する事もあり
患者、家族、看護師が拘束される時間は半日にも及ぶ事は決して
珍しい事では無かった。
◆SSF2 搭載後、目標心拍数を75以下に設定変更後のβ遮断薬使用状況
①自宅でのβ遮断薬内服 3例/71例 (4%)
② 来院してからのβ遮断薬内服 16例/71例 (22%) (6ヶ月 71例の検討)
β遮断薬内服率は以前の70%以上から22%に大幅に減少し削減率は68%に及んだ。
現在では心拍数75以上であっても殆どがCT室での ランジオロールの静脈注射で対応しており
心拍数コントロールに伴う看護師業務やモニター管理はほぼ皆無な状況に至っている。
それに伴い当院では上半期の段階で昨年の2倍に相当する症例数を撮影可能となった。
緊急性のある症例では当日検査で1時間後には結果説明が可能である。
今後は目標心拍数を80前後まで緩和していこうと考えている。
SSF2導入に伴う『長時間フェーズ探し業務』からの解放
ー放射線科技師の経験年数を問わず誰でも冠動脈CT撮影が可能になったー
従来は放射線技師が撮影の合間に全心位相の元データを5%刻みに確認し、右冠動脈中間部が最も止まっている位相を選択していた。時には左冠動脈と右冠動脈を別位相で画像再構成することも稀では無かった。
SSF2の導入後、全ての症例においてデフォルトで45%・70%・75%・80%の心位相をワークステーションに送りSSF2を使用することでほぼ全ての症例で冠動脈の臨床診断に十分な静止画像を作成可能となった。以前の様な放射線技師の行って来た『長時間フェーズ探し』の業務から解放された。
実際の症例を提示する。
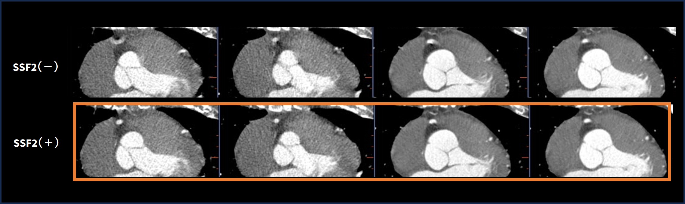
◆症例1)高心拍症例
心拍数70台 洞調律で撮影
RCAをPhase 45%(収縮期)で再構成
左はSSF2(-) 右は SSF2(+)
明らかにSSF2(+)の画像でMotion artifactがなく
鮮明に描出されていることがわかる(Fig.3)
しかし、SSF2が優秀なのはそれだけではない。
「冠動脈CTの経験が豊富な放射線技師であれば」心拍数70台の最適静止心位相は収縮期である事を知っている。しかし全ての技師が精通している訳ではない。下段に同じ症例の拡張期相( Phase 75%)のSSF2有無の比較画像を見て貰いたい。当然の如くSSF2処理を行う前においては全く静止位相は得られていない。しかしSSF2をかけた画像は全くMotion artifactを認めない。つまり「放射線技師の経験年数を問わず誰でも」冠動脈CT撮影が可能になった!
『長時間フェーズ探し』業務から解放された瞬間である。
Fig.3 高心拍症例での拡張期におけるSSF2におけるMotion抑制
症例2) 20%/40%/60%/80%におけるRCA中間部でのSSF2の動態補正
20%/40%/60%/80%のそれぞれのPhaseでRCA中間部におけるSSF2の有無で比較した例である。(Fig.4 )
SSF2をかけた画像はどの時相でも全くMotion artifactを認めない。

Fig.4 各Phase(20%/40%/60%/80%)におけるSSF2ありなし比較
症例3)超音波に匹敵 SSF2により大動脈弁狭窄の評価が可能
SSF2の優れた時間分解能の恩恵で、大動脈弁狭窄の評価に関しても超音波画像に匹敵または
凌駕する画像が撮影可能である。(Fig.5)
CTトレース弁口面積=1.1cm2
心エコー弁口面積※=0.92cm2(トレースは石灰化の為不可能) ※連続の式から算出
この様な症例こそCTで弁口面積を測定出来る事は非常に重要である。
Fig.5 SSF2により大動脈弁狭窄のより正しい評価が可能
Ascend Elite 導入による冠動脈以外のメリット
ー True Enhance DLを使用し、冠動脈撮影の造影剤のみで 冠動脈+Aorta撮影ー
Ascend EliteにはCTとしては初めての機能である、Dual Energy画像の50keVを教師画像としたDeep learningにより120kVpから低keV画像を出すことができるTrue Enhance DL (以下TEDL)を搭載している。
冠動脈撮影(心電同期撮影)から最短3.4秒で全身のヘリカル撮影(心電非同期撮影)へと移行でき、かつTEDLを使用できるためFig.6 に示すように冠動脈CT撮影で用いた造影剤のみで全身の大動脈撮影が追加可能である。TEDLの画像にて血管内腔のCT値が上がり鮮明な大動脈VR画像が作成可能。
これはAscend Elite であればワイドカバレッジCTでなくても64列CTでTAVI術前評価が十分可能であると考える。
Fig.6 冠動脈の造影剤のみで撮影した冠動脈+Aorta撮影(TEDL)
SSF2とTrue Fidelity DLがもたらした圧倒的な画質向上
SSF2の動き補正とともにAscend Eliteに搭載されるDeep learning画像再構成技術(TrueFidelity DL)はステントの内腔評価を格段に向上させている。Fig.7に示す症例は複数のステントがOverlapして留置されているにも関わらず内腔評価は十分に可能であった。
また冠動脈バイパス症例に関しても鮮明な画像を提供してくれる(Fig.8)
Fig.7 複数ステントが重なる症例におけるステント内腔の描出
院長先生からのコメント
検査時間の短縮により、患者様の待ち時間も抑えられ、より多くの検査をこれまでよりも安全に施行できるようになった。
患者様だけでなく当クリニックとしてもメリットを感じている。
子安 英樹 院長先生
さいごに
冠動脈CTファーストの時代において有意な医療費削減効果が報告されている。
PLATFORM試験(FFR-CT併用)に基づく国際データでは
- 冠動脈CT診療群:$7,343
- CAG主体群: $10,734
- 医療費削減効果:32%削減に及ぶ
本邦においても年間100~150億円程度の医療費削減に貢献している。
(根拠>日本循環器学会実態調査報告書 2020年:CAG件数:46万件 2024年:CAG件数:36万件
年間10万件近いCAG検査の抑制効果 1件につき10〜15万円の医療費削減)
そういった社会背景の中、より安全でより高画質な画像提供が求められている。Ascend EliteはDeep Learning画像再構成(TrueFidelity DL)を用いることで画質を担保しながら低管電圧撮影(80〜100kV)が可能。そのため大幅な被曝低減と造影剤量の削減が可能となった。
これらは医療経済面と患者安全面の両方で優れた先進技術であり、何よりも国内で一般的に普及している64列CTで可能となった事はクリニックを含めより多くの施設で実装可能な医療システムの構築に貢献できると考えられる。
また、詳細で鮮明に冠動脈病変・大動脈性状を紹介元の医療機関で事前に評価出来ることで紹介先の高次機能病院での治療ストラテジーや合併症の予測も共有しやすい。すなわち、より安全なadhoc PCIの実現に我々は貢献出来ると考えている。
そして何よりもSSF2やAuto Gating機能などの先進技術は心拍数コントロールや静止位相探し、難解な撮影プロトコール設定といった重荷から我々を「解放」してくれた。
働き方改革の実現や医療DX化における理想的な解決策を提示してくれている。