消化器科領域におけるTEDLの有用性と
初期使用経験
医療法人彰和会 北海道消化器科病院
大浦 聡悟 様

放射線科のみなさま
病院紹介
当院は、北海道がん診療連携指定病院として、「質の高いがん医療を地域住民に提供する」とともに、他のがん診療連携拠点病院やかかりつけ医と連携し、がん医療連携の推進およびがん医療水準の向上に取り組んでいます。
また、消化器疾患の専門病院として診断から治療、緩和ケアまで一貫して行える体制を整えています。
放射線科には一般撮影から放射線治療まで多くのモダリティを備えており、なかでもCT検査は最も件数が多く、年間約9000件弱の検査を1台で行っています。
はじめに
当院では、2025年5月他社CT装置からGEヘルスケア社製Revolution Ascend Elite(以下Ascend Elite)にリプレースしました。
当院では造影CT検査が6~7割を占めており、50keV相当の画像を再構成可能なTrue Enhance DL (以下TEDL) が造影剤低減や病変検出に有効活用できるのではないかと期待出来る点や、何よりも同クラスの他社装置と比較して画質が良く、放射線技師や院内の医師だけでなく北海道大学から読影にきていただいている医師の評価も良かったことから導入に至りました。
Fig1. 当院のRevolution Ascend Elite
使用経験
Ascend Eliteには、Auto PrescriptionやDLカメラなどのEffortless Workflowの機能や、画質に関わるTrue Fidelity DL (以下TFDL)、TEDLの機能が搭載されています。
Auto Prescriptionは、事前に患者体型ごとにmAやPitchなどの撮影条件を設定しておくことで、実際のスカウト画像から装置が撮影条件を自動選択する機能です。この機能により選択の幅が広がり、体型に応じた設定ができるため最初の設定ではノイジーに感じていた体型でも納得のいく画質に設定変更することができました。
DLカメラではポジショニングが自動化されました。正直なところ使ってみるまでは本当に信用できるのかと不安もありましたが、実際に使ってみるとほぼ問題なく運用できています。ポジショニングの手間が必要なくなったことだけではなく、経験の少ない技師でも同一のポジショニングが出来ることも利点に感じています。
Fig2. Auto Prescriptionを用いて、撮影者に依存せず、やせ型の患者にも最適な線量で撮影が可能
また、以前の装置と目標SD設定を同一にしファントムを撮影し、逐次近似再構成やDLIRを使用せずにFBP法で再構成すると被ばく線量はおよそ半分程度になりました。ヨードインサートを比較すると最も細かい部分が従来装置では判別が難しいですがAscend Eliteではしっかり描出されており判別が可能です。
Fig3. 目標SD設定同一での撮影条件におけるSD、被ばく線量、試料の見え方の比較
True Enhance DLの臨床使用について
True Enhance DLはAscend Eliteにのみ搭載されている機能で、通常CT検査で用いられる120kVpの取得データに加え50keV相当の低エネルギーの画像の再構成が可能となります。当院で使用しているversionからはTFDLとの併用も可能となりました。
現在当院では主に術前検査や腎機能障害があり造影剤を低減したいときや、副作用によって従来のタイミングで撮影出来なかった際にも使用しており、体格によってTFDLはmediumかhighを使用しています。
Fig4. TFDLとの併用でより使いやすくなったTEDL
症例1)通常の造影剤量でTEDLが役に立った症例
~食道がん術前~
食道がんの手術では気管支動脈を温存することで術後肺炎などのリスクを低下させるため、術前に気管支動脈の走行を把握しておくことが必須となり、描出依頼がありました。
120kVpではやや分かりにくいですがTEDLでははっきりと気管支動脈が描出できた症例です。
Fig5. 描出困難な気管支動脈の視認性向上に役立った症例
症例2)造影剤量を低減しTEDLが役に立った症例
中等度腎機能障害症例があり造影剤量を従来の7割にして撮影した症例になります。
120kVpと比較してTEDLではよりコントラストのついた画像になっており、肝実質と門脈のCT値を計測するとTEDLのほうがCT値の差が大きいことが確認できます。
撮影時に低管電圧にする設定の手間が不要で同等の画像を得ることが可能でした。
Fig6. 造影剤低減撮影でも、TEDLを使用することで撮影時の管電圧切り替えが不要
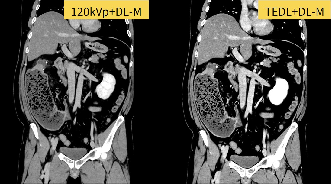
症例3)造影剤量の不足時にTEDLが役に立った症例
~高体重症例~
膵腫瘍・肝腫瘍疑いで紹介され精査のためDynamic CTを撮影。体重100kg、BMI34.7と高く、造影剤量が足りず本来の必要量の7割までしか注入できなかった症例です。
120kVpでも病変検出は可能ですが、TEDLを使用したことで正常部位とのコントラストが上昇し、視認性が上がり検出は120kVpよりも容易となっており、膵癌が十二指腸まで浸潤していることも分かりやすくなっています。また、TEDLを使用することでVR像の作成も十分に可能でした。
Fig7. 高体重症例で造影剤が不足した場合でも、TEDL・TFDLを用いることで
コントラスト、ノイズ低減で十分な画質が得られた症例
症例4)アクシデントがありTEDLが役に立った症例
~造影剤副作用症例~
大腸がんスクリーニングで胸腹部の造影CT検査をした際に副作用があり、通常では造影剤注入後90秒で撮影していますが300~360秒で撮影することになった症例です。
後日術前に、造影検査が出来ないためこの時のデータで血管像を作成できないかと依頼があり、TEDLを用いて血管像を作成しました。回結腸動静脈(ICA/ICV)や右結腸動静脈(RCA/RCV)、中結腸動静脈(MCA/MCV)が描出されており外科医からも評価の高かった一例となります。
Fig8. 造影剤アレルギーの為、造影剤投与後約5分後の撮影での画像で作成したVR画像
症例5)単純撮影でTEDLが役に立った症例
~造影剤禁忌症例~
肝細胞癌だが造影剤が使えないためplain CTで術前のvolumetryを依頼されました。
残肝容積だけでなく門脈、肝静脈も出来るだけ抽出してほしいとのことで、血管抽出の際にはWWを狭めて作業する必要あるため肝実質と脈管とのコントラストを少しでも上昇させることを目的にTEDLを使用しました。クリニカルIDは最も肝実質のCT値が上昇するdelayedを使用しています。本来TEDLは、単純画像のコントラストを上げる目的で設計はされていませんが、このケースでは改善が見られました。
胆管はMRCP画像とfusionしています。後区域枝が左胆管に合流する解剖変異があり、門脈右枝と胆管との位置関係を術前に把握できました。
「plain CTでもここまで血管や胆管との位置関係を出してもらえると外科医としては助かる」と評価された症例です。
Fig9. 単純撮影でも、TEDLで脈管系が十分に描出できている
症例6)Split Bolusを用いてDynamic撮影での被ばく低減(撮影回数減少)にTEDLが役に立った症例
術前肝VolumetryにおいてTEDLとsplit bolusを用いることで従来の4相撮影から3相撮影に撮影時相を減らせた症例になります。ミスレジストレーション無く、従来法と同等の描出能を維持しています。末梢血管まで描出することで血管切離の際にステイプラーが必要と思われる2mm以上の血管を事前に立体的に把握することが可能となり、より詳細かつ正確な術前シミュレーション画像を提供できます。
<従来法>動脈相+門脈相+肝静脈相(3相fusion)
<今回考案した方法>動脈相+門脈・肝静脈相×TEDL
Fig10. TEDLとsplit bolusを利用したミスレジストレーションのない術前肝Volumetry
さいごに
Ascend Eliteの最大の特徴ともいえるTEDLは術前検査において有用性が高く血管の描出能が向上します。スクリーニング検査でもコントラストの上昇によって病変の視認性向上も期待出来るのではないかと考えています。さらに、特別な撮影が必要なく生データさえあれば後から画像を作成できる点が非常に使い勝手が良く、副作用が出てしまった場合や造影剤が漏出してしまった場合などでもフォローが可能になります。
装置自体もAuto PrescriptionやDLカメラによって検査時の技師の負担が減り以前よりもスムーズな検査が可能になりました。導入から半年ほどですが故障や目立った不具合もなく安定稼働してくれている点も当院のように1台のCTで検査をしている施設としては助かります。
TEDLをはじめ、まだまだ使いこなせているとは言い難いですが様々な施設からの報告も参考にさせていただきながら、アプリケーションの方とも協力しつつ運用方法を探っていけたらと考えています。