病院紹介
一之瀬脳神経外科病院は長野県松本市に位置する脳神経外科専門病院で、脳卒中や脳腫瘍そして頭部外傷などの診断および治療を目的とした病院です。また、当院は一次脳卒中センター認定施設であり、夜間や休日においても24時間365日、救急対応に注力してます。
Fig.1 一之瀬脳神経外科病院 CTスタッフ
はじめに
当院では2022年3月のCT装置更新に伴い、64列CT装置のRevolution Ascend(レボリューション アセンド)を導入しました。当院のCT撮影数は年間約6000件(月平均約500件)で部位別の内訳は、頭部が最も多く、次いで胸部が多くなっています。頭部以外の検査目的での紹介も多く、全身多岐に渡って幅広い検査を行っています。
Revolution Ascendでは、新たに追加された3D Deep Learningカメラによる自動ポジショニングや、スカウト画像から撮影範囲をアジャストするSmart Planといった機能を活用することで、検査部位に最適なポジショニング、並びに患者毎に異なる体格や検査内容に適した線量レベルでの撮影が可能となりました。CTスタッフからは「新人など不慣れなスタッフであっても、一連の流れをサポートしてくれるので、検査開始までの時間を大幅に短縮することができた」 などの意見が多く聞かれました。
Fig.2 自動ポジショニング・撮影範囲設定の様子
画像再構成においても金属アーチファクト低減機能であるSmart MARを用いることで、いままで目的部位の描出が難しかった、頭蓋内コイル塞栓術後のコイル周囲の観察や歯科治療後の頸部の評価も可能となりました。また脳動脈瘤の手術前のCTA検査に1024Matrixを用いることで、動脈瘤と親動脈の関係、動脈瘤近傍の穿通枝などの小動脈の走行確認など、より詳細な血管描出能も向上しています。
また、冠動脈検査においてはSnapShot Freeze2.0 (以下SSF2.0)も導入しています。SSF2.0は冠動脈のモーションアーチファクトを抑制するソフトウェアであり、指定した心位相でブレのない画像を再構成することができます。冠動脈撮影後には自動でこの再構成が行われるように設定してあるため、特別な作業は必要なく、作成画像を確認し、最適な画像であればそのまま冠動脈解析を行う流れとなっています。
Fig.3 SSF2.0の概念図
このように当院では撮影セッティングから画像作成にわたり、様々な機能を活用しています。中でも本稿では高画質化に貢献しているディープラーニング再構成法・TrueFidelityについて取り上げます。
TFIとは
TrueFidelityイメージング(以下TFI) とはGEヘルスケアのDeep Learning画像再構成技術です。従来機種(Light Speed VCT)の画像再構成法であるフィルタ逆投影(FBP)法は長年CT画像再構成法の主流でしたが、高線量をかけなければ質の高い画像が得られないという課題がありました。TFIでは、高線量FBP画像を教師データとして学習されたモデルを用いることで、従来より低い線量でもアーチファクトの抑制や画像ノイズの大幅な低減を可能としています。
Fig.4 ディープラーニング再構の概念図
TFI再構成は、そのノイズ低減度合いを『Low』、『Medium』、『High』の3つのレベルから選択可能です。当院では頭部領域は淡いコントラストにおける境界の視認性を高めるために少しノイズを残した『Low』、その他体幹部などは『Medium』を使用しています。
Fig.5 再構成法によるノイズ低減度合いの違い
TFIのもたらす臨床的メリット ①高画質
Fig.6にRevolution Ascend導入前後の同一患者における比較画像を提示します。
Noise Indexはどちらも2.5に設定しており、AscendのTFI画像はVCTと比較して被ばく線量はおよそ2割減少していますが、ざらつきの無い、ノイズが低減された画像が得られました。前述の通りTFI画像は、高線量FBP画像の教師データから作成されています。このため、従来のFBP画像と遜色ない高画質な画像作成が可能となります。
特に脳幹レベルは骨に囲まれているためアーチファクトやノイズが多く、評価が難しい場合がありましたが、TFI画像では頭蓋骨からのアーチファクトも減少しています。またノイズが取り除かれたことによって実質レベルでもコントラストが向上しています。頭部などの密度分解能が重要とされる領域での読影負担軽減、診断能の向上に貢献しています。このように、高画質で高品質な印象を与えるTFI画像処理は、画質低下因子を解消し、臨床応用に大きなメリットを与えることができます。
Fig.6 従来機種とRevolution Ascendの比較
TFIのもたらす臨床的メリット ②被ばく低減
Deep Learning再構成を用いることによりノイズが大幅に低減できるため、従来よりも少ない線量でこれまでと同等の画質を得られることがわかりました。そこで頭部領域ではAuto mA(自動線量変調機能)の最大値を330mAから200mA、胸部領域ではAuto mAの最大値を750mAから330mAに撮影条件を変更して運用を開始しました。また、2022年7月からは3D DLカメラでの自動ポジショニング機能の使用を開始しています。
各期間での被ばくの変化を、検査数の多い頭部単純・胸部CT検査を対象にDose Length Product [mGy・cm](以下DLP)を用いて比較しました。
被ばく線量をDLPで比較した結果をFig.7,8に示します。
Revolution Ascend の導入後、頭部、胸部ともに平均DLPは明らかに低下し、頭部で約20%、胸部で約25%の被ばく低減が確認できました。前述の通り、線量低減させても画質は維持できており、これはTFI使用によるものと考えます。
Fig.7 各期間における被ばく線量の推移
Fig.8 各期間におけるDLP[mGy・cm]の平均値
また、3D DLカメラによる自動ポジショニングの導入後にはさらに被ばくを低減することができました。特に体幹部では平均DLPがさらに5%低下しており、これは自動ポジショニングによって技師の技量に依存せず、正確に患者の体厚中心にポジショニングできたことによるものと考えます。
現在の頭部の平均DLPは約1000、胸部の平均DLPは約320となっています。
まとめ
Revolution Ascendの導入により、ワークフローの改善、画質向上を達成することができました。
特にDeep Learning再構成法であるTFIを活用することで、診断能の向上に貢献しつつ頭部領域では20%、胸部領域では25%もの被ばくを低減させることができており、非常に有意義であると考えます。
導入に際しては従来使用していたLightSpeed VCTよりも管球容量が小さく、最大線量が低いこともあり画質への影響に不安もありましたが、TFIを活用することにより画質を保ちつつ被ばくを大きく低減させることができました。今後もさらなる被ばく低減や高画質化に期待できると考えます。
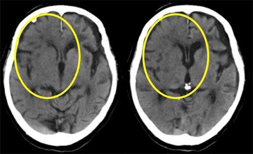
頭部単純画像
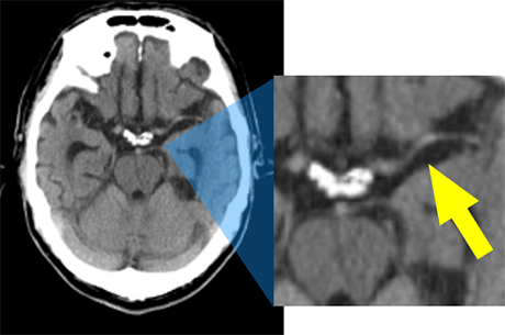
症例①右中大脳動脈領域にEarly CT signを認めたため、血栓溶解薬による治療が行われた。
症例②左中大脳動脈領域にHyperdense MCA signが認められる。
Revolution AscendのTFI画像では、従来機種(VCT)比べと比較してもノイズ成分除去されつつ違和感のない画像が得られました。医師からも上記のような症例の場合おいても迷わず読影でき、すぐに治療に移行することが出来たとの評価を受けています。
頭部CTA画像
金属アーチファクト低減機能 (Smart MAR)
従来では観察が難しかったコイルや義歯、クリップからのアーチファクトで描出できなかった部分もSmart MARを使用することで観察可能になりました。上記の例では歯科治療後義歯からのアートファクトを抑制し、頸動脈狭窄の診断能向上に貢献しています。
高精細画像 (1024Matrix)
上の症例は同一患者を従来機種(左)とRevolution Ascend(右)で撮影し、1024Matrix機能を使用した画像です。
1024Matrixを用いることで、数mm以下の穿通枝も描出することが出来ます。特に脳動脈瘤の術前CTA検査では、動脈瘤と親動脈の関係だけでなく動脈瘤近傍の微細血管も描出することで、手術プランニングに貢献します。
頭部Perfusion画像
頭部Perfusion撮影ではボリュームシャトル撮影を使用することにより観察域が従来の2倍である8cmまで広がりました。Perfusionと同時にWillis動脈輪全体のCTA情報が得られるため、ただちに責任血管の同定、治療戦略の組み立てに移行できます。本症例では左のMCAに血栓が認められたため、後に血栓回収術が行われました。
冠動脈CTA画像
76歳男性 PCI後の冠動脈CTA(HR:62-72bpm)
冠動脈検査においてもTFI再構成を使用してノイズを抑え、さらにSSF2.0を使用することで心臓のモーションによるブレも補正することができます。ボケのない画像は血管内腔も観察しやすく、従来よりも劇的に診断能が高くなりました。また画像作成や静止phaseを探すといった、作業時間も大幅に短縮されました。