関連製品

revolution-ascend-product-category.jpg

Revolution Ascend Platform

JB11409JA

※お客様のご使用経験に基づく記載です。仕様値として保証するものではありません。

販売名 マルチスライスCTスキャナ Revolution 医療機器認証番号: 226ACBZX00011000
販売名 AWサーバー 医療機器認証番号: 22200BZX00295000
販売名 アドバンテージワークステーション 医療機器認証番号: 20600BZY00483000

AI搭載CT装置による検査ワークフローの進化

特定医療法人明徳会 佐藤第一病院
放射線科 課長 岩本 靖弘 様
CT担当技師 橋本 亮 様



病院紹介
当院は大分県の北部圏域に位置し、主に宇佐市、中津市、豊後高田市から多くの患者様が来院されている。
外来では脳神経外科、整形外科、消化器外科、消化器内科の患者様を多く受け入れている。特に整形外科による大腿骨頚部骨折では受傷後48時間以内のオペを年間100件以上行っている。また、CT装置としては、頭部と胸腹部の検査が多く1台で運用しており、月間600件程度の検査を放射線科医師2名、診療放射線技師7名で対応しており、地域に密着した質の高い医療を目指して日々の診療を行っている。


Ascend_Satodaiichi01.jpg
佐藤第一病院様 外観



装置入替検討時のポイント
2023年9月にLightSpeed VCT(以下、VCT)からRevolution Ascend(以下、Ascend)への更新を行った。検討時のポイントとしては、検査ワークフローの向上、自動撮影条件調整機能(Auto Prescription)による最適なX線量での再現性の高い検査ができることなどが挙げられる。さらに、臨床科医師にも協力を得て、画像比較等を行い検討した。
従来のVCTではガントリチルトを用いて金属アーチファクトを低減した検査を行っていたため、以前のワークフローを変えないことを優先しチルト機能も必要と考えた。また、ガントリー両横のタブレット操作にてモニターを見ながら最適な高さ調整ができ、誰でも簡便にポジショニングを行えることもポイントとなった。


Ascend_Satodaiichi02.jpg
Fig1. 導入したRevolution Ascend



Revolution Ascendに更新して変わった点
2007年から約15年間運用していたVCTから、今回Ascendで大きく変わった点は下記の4点が挙げられる。
次項からは、下記の内容について詳細を報告する。

①オペレータコンソール画面によるワークフロー
②撮影プロトコル調整の簡略化
③3D DLカメラ、タッチパネルの搭載による検査ワークフロー
④SnapShot Freeze2.0による心臓検査


Ascend_Satodaiichi03.jpg
Fig2. LightSpeed VCTの操作画面

Ascend_Satodaiichi04.jpg
Fig3. Ascendの操作画面




オペレータコンソール画面の変化
Ascendではオペレータコンソール画面が大きく変化した。VCTでの操作に慣れていた為、ボタン位置が違うなど導入当初は戸惑うことはあったが殆どの機能がAscendにも受け継がれており、VCTには無い新たな機能が追加されている。検査ワークフローに恩恵のあった代表的な新機能、変更点を下記に記す。


・マウスや画面の操作性向上
従来ではシリーズやグループの追加、削除、画像転送、Reformatの展開は専用のボタンをクリックする必要があった。Ascendではマウス右クリックでメニュー呼び出しが可能となっておりマウスを大きく動かさずそれらが完結するようになった。
また、従来の操作画面では、撮影後の画像確認の際にはキーボードのページアップ、ページダウンのキーを押して画像ページングしており、右手をマウスから放しキーボード操作を行うか、右手はマウスを持ったまま左手でキーボード操作を行う必要があった。
Ascendではマウスのホイールでの操作や画像右にあるスクロールバーをドラッグし画像ページングが可能となった。


Ascend_Satodaiichi05.jpg
Fig4. マウス右クリックによる操作性向上

Ascend_Satodaiichi06.jpg
Fig5. 画像ページングスクロールバー




・リコン設定、レトロリコンの変化
Ascendでは左画面が撮影設定画面、右画面がリコン設定画面となっている。右画面では検査全体のリコン設定(スライス厚、関数、MARの有無など)が一目で確認できるようになっている。
従来のレトロリコンではシリーズ名、スライス厚、関数、IR強度、ww/wLの変更などをレトロリコンをする度に変更する必要があった。操作に慣れているスタッフでもいずれかの変更忘れの可能性があり、その場合はもう一度レトロリコンを行っていた。
Ascendのレトロリコンは、撮影時に使用したプロトコル画面をそのまま使用出来るようになっており、撮影プロトコルにあらかじめリコン設定を組んでおけば撮影終了後にそのリコン設定を使用することが可能である。さらにシリーズの複製機能からリコン設定を複製することや、 PACSへの自動転送機能も追加されており、従来のレトロリコンでストレスに感じていたことは解消されている。


Ascend_Satodaiichi07.jpg
Fig6. レトロリコン設定画面



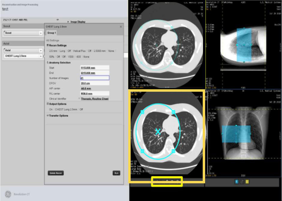
撮影プロトコルの自動調整
Ascendには従来のAEC (Auto Exposure Control)の発展機能であるAuto Prescriptionという機能が搭載されており、スカウト画像からそれぞれの患者様があらかじめ設定したどのサイズに該当するかを判断し、その該当サイズに対するkV、ローテーションタイム、ノイズインデックスなどを自動変更することが可能となっており患者様の体格に関わらず画質のノイズバランスの調整が可能である。この機能により、患者様の体格によってのローテーションタイムの変更が不要となり、撮影パラメーターを気にすることなく安定した画像出力が可能となっている。以前であれば線量不足を気にしてパラメータの確認等が必要だったが、その煩わしさが解消されている。


Ascend_Satodaiichi08.jpg
Fig.7 AIによる撮影プロトコル調整



3D DLカメラ、タッチパネルの搭載
VCTでは、操作室で患者情報、プロトコル選択等行っていたが、Ascendではガントリー両横でタブレット操作が出来るようになり、患者様情報、オーダー情報、プロトコル選択ができるようになった。そのため患者様の出し入れをしながら次の検査の準備を行うことで時間短縮が出来るようになり、スムーズに検査を行えるようになっている。
特に有用な点として、3D DLカメラによる患者テーブルの自動高さ調整機能で、寝台の高さを最適化することで、画質を担保しながら無駄な被ばくを減らす事ができるようになっている。また、プロトコル内容も検査室内で一目で確認でき、患者様のポジションを微調整してもリアルタイムでカメラの画像が確認できることもメリットと感じている。


Ascend_Satodaiichi09.jpg
Fig8. タッチパネル画面



実際に技師3名で3D DLカメラの使用有無を、ポジショニング完了までの時間、さらに検査開始までの時間を比較したところ、平均12秒、約40%の検査時間の短縮ができていることが確認できた。


Ascend_Satodaiichi10.jpg
Fig9. 3D DLカメラ有無による検査ワークフローの差分(秒)



SnapShot Freeze2.0による心臓検査
VCTでは、心臓検査開始時のプロトコル選択時に心拍数等を確認しながらプロトコルを選んでいたが、AscendではSnapShot Freeze 2.0(以下、SSF2.0)によって1つのプロトコルで運用できるようになった。単純撮影後のモニタリング撮影と造影撮影が別々に設定できるようになり簡便な検査を行うことができている。
以前は冠動脈と石灰化の判別が難しく狭窄率での計測に苦慮していたが、 SSF2.0の機能により、石灰化と冠動脈と区別が視覚的に確認でき狭窄率の計測もしやすくなった。
心臓検査を毎日行っていない当施設では、簡便に検査を行えることで特に迷うことなく心臓検査を行えることは非常に有用であると考える。


Ascend_Satodaiichi11.jpg
Fig10. SnapShot Freeze 2.0



さいごに
今回、装置更新を行ったAscendは、検査が簡易的に行えるようになったことで、新人の診療放射線技師が操作をしても他の技師と大差なく検査を行うことができるようになった。患者様の体格差によって撮影条件が自動で変更されるため、検査時間の短縮に繋がり、検査スループットの向上となった。検査時間の短縮、 AutoPrescription機能による撮影条件の最適化、 SSF2.0による冠動脈CT検査の簡便化など、装置更新によるメリットが多く、検査件数の増加や技師の業務量軽減にも繋がっている。今後、各機能の更なる精度向上、解析時間の短縮などメーカーの開発に期待したい。




Cookie Preferences | Privacy Policy | California Privacy Policy | Terms and Conditions | Security


Copyright and trademark statement: © 2026 GE HealthCare. GE is a trademark of General Electric Company. Used under trademark license.