関連製品

revolution-ascend-product-category.jpg

Revolution Ascend Platform

JB06280JA

※お客様のご使用経験に基づく記載です。仕様値として保証するものではありません。

製造販売:GE ヘルスケア・ジャパン株式会社
販売名称:Revolution Ascend (レボリューションアセンド) 医療機器認証番号: 302ACBZX00041000
販売名称:AWサーバー 医療機器認証番号: 22200BZX00295000
販売名称:アドバンテージワークステーション 医療機器認証番号: 20600BZY00483000

Revolution Ascend
SnapShot Freeze2.0臨床使用経験

横浜総合病院
放射線部 矢野 誉善 様



病院紹介
横浜総合病院は1976年の開院以来、横浜市青葉区の中核病院として地域医療を支えてきました。
300床を有し地域に根差す急性期総合病院として地域住民の皆様の期待に応える医療を展開しています。


Asend_YokohamaSougou_01.jpg
Fig1. 横浜総合病院 放射線部



はじめに
当院では2022年3月、Revolution Ascendを導入した際にSnapShot Freeze2.0(以下SSF2.0)も導入しました。現在ではRevolution AscendとDiscovery 750HDの2台体制で検査を行っております。

CT検査は1日平均60件。冠動脈検査は月25件。アブレーション術前検査は月10件程行っております。
SSF2導入後、以前と比較し明らかにモーションアーチファクトの低減を実感できました。そこで、本稿ではSSFなし、SSF、SSF2.0での比較を行うことで、SSF2.0の有用性について確認しましたのでご報告します。



SnapShot Freeze2.0について
従来のSnapShot Freezeに比べ、SSF2は冠動脈だけでなく心臓全体の動きの補正が可能になりました。

ターゲット位相とその前後約80msecの計3つのデータセットによるベクトル動態解析を⾏うことにより,各冠動脈の速度、移動⽅向などを検出・補正し、最終的にモーションアーチファクトが抑制された冠動脈静止画像を再構成することが可能です。回転速度が0.35秒の場合、SSF2を使用すると回転速度が0.058秒相当、有効時間分解能は0.029秒以下を達成します。


Asend_YokohamaSougou_02.jpg
Fig1. 横浜総合病院 放射線部



当院の冠動脈撮影の流れ
Fig.3に当院の冠動脈撮影の流れを示します。
当院では、検査の1時間前にβ遮断薬(セロケン 20mg 2錠)を服用いただき、検査時の安静時心拍が65以上ある患者さんに対してはコアベータを投与しています。また、アブレーション術前CTではβブロッカーを投与せず撮影を行っています。

本スキャン終了後、45%と75%の心位相の画像がAWへ自動送信され、SSF2による動き補正が行われます。SSF2.0はAWにて自動処理されるため、操作者は作成された画像を確認し、最適な画像であればそのまま冠動脈解析を行う流れとなっています。


Asend_YokohamaSougou_03.png
Fig3. 当院の冠動脈撮影の流れ



SnapShot Freeze2.0の有用性 検討内容
前述したとおり、SSF2.0導入によって明らかにモーションアーチファクトの低減を実感できました。そこで、SSF2.0の有用性をより具体的に知るために以下3つの項目を比較・検討しました。


① 位相探索なしで最適心位相を得られた症例数の比較
SSF2.0導入前、導入後それぞれ連続100症例において、位相探索せずに撮影後自動で再構成された画像が最適心位相であった症例数をカウントし、比較を行いました。


Asend_YokohamaSougou_04.png
Fig4. SSF2導入前(SSFなし)とSSF2導入後 比較
位相検索なしで至適心位相が得られた件数、非至適位相のため位相検索が必要だった件数、撮影不良であった検査の割合



SSF2.0導入前後で位相探索不要だった例は約4割から7割に上昇しました。(Fig.4)
導入前は78%や42%など少しでも動きの影響の少ない心位相を検索する必要がありましたが、SSF2.0導入後は位相探索不要な症例が大幅に増えました。そこで、SSF2.0の効果を知るためにSSFなし、SSF、SSF2.0の視覚評価比較を行いました。



② SSFなし、SSF、SSF2.0 視覚評価
直近20症例において、冠動脈の動きをSSFなし、SSF、SSF2.0でのアキシャル断面で視覚評価を行いました。視覚評価はCT冠動脈解析に携わる放射線技師6名で行い、以下5点満点で評価を行いました(Fig5)。また、20症例の心拍内訳はFig6のとおりです。


Asend_YokohamaSougou_05.png
Fig5.視覚評価 指標


Asend_YokohamaSougou_06.png
Fig6. 20症例 心拍数内訳


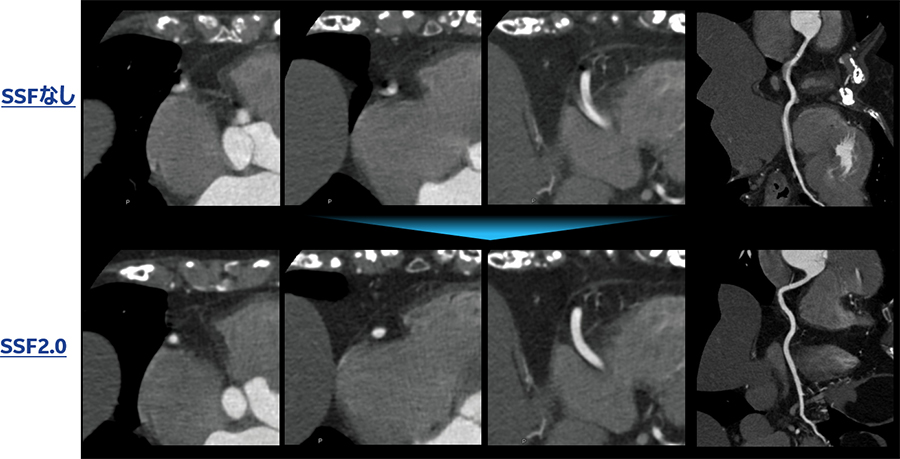
Asend_YokohamaSougou_07.jpg
Fig.7 SSFなし、SSF、SSF2.0比較例



評価可能である3点以上がSSFなしでは40%、SSFで70%、SSF2.0で85%となりました(Fig8)。


Asend_YokohamaSougou_08.png
Fig8. SSFなし、SSF、SSF2.0 視覚評価結果



また、心拍別で比較した場合、60BPM以下におけるSSFなし、SSF、SSF2.0の差はそれほどみられませんでしたが(Fig9 赤枠)、従来静止した冠動脈の描出が難しかった70BPM付近において、SSFやSSF2.0では改善がみられ、特にSSF2.0ではその効果が顕著にみられました(Fig9 黄枠)。
さらに、70BPM以上ではSSFでも大幅な改善が難しく、SSF2.0のみ大きな改善がみられました (Fig9 青枠)。


Asend_YokohamaSougou_09.png
Fig9. 心拍別 SSFなし、SSF、SSF2.0 視覚評価結果



③ 最適心位相探索にかかった再構成回数の比較
②で評価の低かった症例をSSFなしとSSF2.0で位相を探しなおしてそれぞれの再構成回数を比較しました。 Fig10に示すように、SSF2.0では明らかに再構成回数が減っていることがわかります。位相探索作業の時間が大幅に減ったことでコンソールを占拠する時間が減り、他の検査にCTを使える時間が増えました。


Asend_YokohamaSougou_10.png
Fig10. SSFなし、SSF2.0 最適心位相探索にかかった回数比較



まとめ
SSF2.0導入後、位相探索せずに最適心位相が得られる症例が大幅に増え、位相を探す手間や時間が少なくなり、検査効率が大幅に向上しました。特に今まで静止した冠動脈描出の難しかった高心拍の症例や不整脈症例においても効果があることが確認できました。SSF2.0により、より幅広い症例において技師の経験の差によらず良質な画像の提供ができるようになりました。
また、位相探索が最小限で済むことでコンソールを占拠する時間が減るため、他の検査にCTを使える時間が増えました。以前はピッチ0.16で必ず撮影していましたが、安定心拍においては心拍に応じたピッチで撮影するようになり、患者様への被ばくも低減できるようになりました。今まで敬遠していたSnapshot Pulseを今後前向きに使用を検討しており、さらなる被ばく低減が期待できると考えます。



症例1
74歳 女性 狭心症疑い βブロッカーあり ミオコール使用 撮影時心拍数70
rotation time 0.35s/rot pitch 0.24 心位相45%


Asend_YokohamaSougou_11.jpg



症例2
69歳 女性 心房細動アブレーション術前 βブロッカーなし 撮影時心拍数74~132
rotation time 0.35s/rot pitch 0.16 心位相45% ECG edit
ECG Editor後、(装置が示す心拍変動20%以上の部分のみを抜いた) SSFなし、SSF2.0の比較


Asend_YokohamaSougou_12.jpg
SSF2.0導入前はEdit後に位相探索が必要であったが、SSF2導入後は位相探索が不要であった。




Cookie Preferences | Privacy Policy | California Privacy Policy | Terms and Conditions | Security


Copyright and trademark statement: © 2026 GE HealthCare. GE is a trademark of General Electric Company. Used under trademark license.