関連製品

revolution-ascend-product-category.jpg

Revolution Ascend Platform

JB12441JA

※お客様のご使用経験に基づく記載です。仕様値として保証するものではありません。

製造販売:GE ヘルスケア・ジャパン株式会社
販売名称:Revolution Ascend (レボリューションアセンド) 医療機器認証番号: 302ACBZX00041000
販売名称:マルチスライスCTスキャナLightSpeed 医療機器認証番号: 21100BZY00104000
販売名称:AWサーバー 医療機器認証番号: 22200BZX00295000
販売名称:アドバンテージワークステーション 医療機器認証番号: 20600BZY00483000

ワイドカバレッジ装置から64列CT装置への入替で
検査がどう変化したか

医療法人社団栄悠会 綾瀬循環器病院
松崎 諭 様


病院紹介
当院は東京都足立区に位置しており、綾瀬循環器病院(76床)、あやせ循環器リハビリ病院(76床)、 あやせ循環器クリニックの3施設で構成されています。重症を含む急性期は綾瀬循環器病院、リハビリを含む慢性期はあやせ循環器リハビリ病院、外来はあやせ循環器クリニックというように、循環器疾患に対する検査から治療、術後のフォローを行い、救急医療を社会的使命として、地域医療に貢献しています。
当院では、CT装置を2台(他社製のワイドカバレッジCTおよび64列CT)を保有しておりましたが、経年劣化によりその2台を同時にGEヘルスケア社製Revolution Apex Power Core(256列、以下Apex)とRevolution Ascend Elite(64列、以下Ascend Elite)に更新いたしました。
導入時期の関係で、これまで他社製ワイドカバレッジ装置で行っていた検査を、Apexが稼働するまでの約1か月間は64列装置のAscend Eliteにて対応を行うことになりました。本稿では、その期間でのTAVI術前検査などについての感想をご紹介いたします。



Ascend_ayase01.jpg




GEヘルスケア製CTを選んだ理由
当院は循環器専門病院という事もあり冠動脈CTAの割合が高く、心臓検査において時間分解能が一番大事であると考えています。GEヘルスケア社製のCTには、時間分解能を飛躍的に向上させることができるSnapShot Freeze 2.0(以下、SSF2.0)というアプリケーションが搭載されている事が今回選定した大きな理由となります。また、当院では造影CTの割合も同様に高く、造影剤の低減を目的としたDual Energy撮影による50keV相当の画像を120kVpのデータからディープラーニングで再構成できるTrue Enhance DL(以下、TEDL)が搭載されていることで、造影剤を減らし、検査による患者負担を減らしつつも本来求められるCTコントラストが取得できることも循環器専門病院としてメリットに感じました。




Af症例でのSSF2.0の実力
下記の画像は、Ascend Eliteと以前のワイドカバレッジCTでアブレーション用の造影CTを行った症例の比較画像になります。当院のAfに対する術前CT検査において、従来の装置では3心拍以上撮影しておりました。その理由として、当院では冠動脈評価も同時に行うため心拍数が偶然伸びたところを撮影できれば良い画像が得られるだろうという理由で、3心拍以上撮影を行っておりました。
左側の従来のSSF2.0を使用していなかった際の画像は3心拍以上のvolumeデータを使用して再構成を行っているにも関わらず大動脈弁がぶれてしまっています。右側のAscend Eliteでは大動脈弁をしっかり描出できています。この画像はCT装置導入二日目にして得られたため、SSF2.0が冠動脈だけでなく弁にも有用であることが証明できた症例となりました。



Ascend_ayase02.png同一患者における画像の比較
(左:従来の検査データ)(右:Ascend Elite)



Ascend_ayase03.jpg




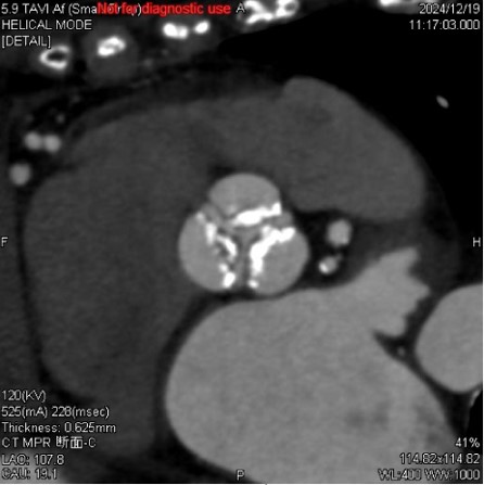
TAVI術前検査における活用例
下記の画像は、TAVI術前検査のAf症例ですが、このデータでも不整脈や石灰化があるにも関わらず弁に対して十分な画像が得られており、列数の影響を感じさせない画像が提供することができました。
循環器医師からも、「64列装置でも十分評価できているね!」と言っていただけるほど、評価が高かったことが印象的です。



Ascend_ayase04.jpgTAVI術前検査でのSSF2.0処理後の画像



Ascend_ayase05.jpg




64列でも位相探しが不要に
これまでワイドカバレッジCTで検査を行っていたことや、これから256列CTの稼働も既に決まっていたこともあり、正直なところ、Apexの稼働までの1か月間はAscend Eliteでこなせるか不安でした。特に、位相探しに関しては、64列で撮ったことのない若手技師などが対応できるのか不安を持っていました。
しかし、想定外だったのは、sinus症例においてあまり位相探しをせずとも、しっかりと静止画像が得られ、特に高心拍症例においての動態補正力に関しては大変満足しております。懸念していた若手技師の不安や技師間による画像のバラツキが抑えられていると感じています。


Ascend_ayase06.jpg
Volume Rendering像 IBRなし

Ascend_ayase07.jpg
Volume Rendering像 IBRあり



Ascend_ayase08.jpg
右冠動脈 Curved像 IBRなし

Ascend_ayase09.jpg
右冠動脈 Curved像 IBRあり



Ascend_ayase98.jpg
左冠動脈 対角枝 Curved像 IBRなし

Ascend_ayase99.jpg
左冠動脈 対角枝 Curved像 IBRあり


Intelligent Bounding Reconstruction(IBR)によるバンディング補正
非剛体法によるバンディング補正を冠動脈ごとに行う。




True Enhance DL 思いがけない効果
当院では冠動脈CTA撮影時にDelayで大血管のアクセスルート評価も行っております。大動脈に解離や瘤、もしくは壁在血栓等の確認を一度の検査で行っておりますが、冠動脈CTAの際に使った造影剤の造影コントラストでは、Delay撮影時にやや造影効果が不十分となっておりました。患者負担を考慮し、あえて大動脈の評価のための造影剤追加投与は行っていませんが、TEDLの機能によって120kVpで撮影するだけで、Dual Energyで得られるような低keV相当の造影コントラストが取得でき、まさにDual Energyと同等の効果を得られています。病院としても、過剰な造影剤使用量を抑えられることで、DPCによる算定できないコストの削減にもつながっていると思います。まさに、患者目線・医師目線・病院目線でTEDLのメリットを感じることができています。



Ascend_ayase10.png


Ascend_ayase11.jpg
120kVpによるVolume Rendering像

Ascend_ayase12.jpg
TEDLによるVolume Rendering像



True Enhance DLの臨床例
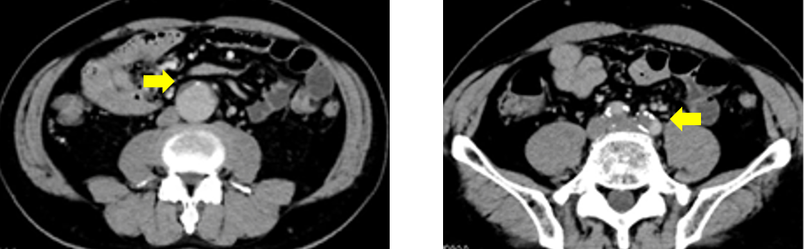
冠動脈CTA撮影後のDelayでのAorta撮影の画像を下記に提示します。通常の120kVpで撮影された画像と比較して、TEDLの画像の方が造影コントラストが得られますので、当院では、全例でTEDLを活用しています。
実際に、冠動脈CTA施行時にAAAとCIAに壁在血栓のある症例ですがdelay撮影でも十分な存在確認ができています。



Ascend_ayase13.png
TEDLを活用した血栓評価




さいごに
当院でのAscend Eliteの評価として、心臓に関してもTrue Enhance DLに関しても非常に評価は高く大変満足しております。64列で本当に大丈夫だろうか、これまでの検査と変わらない検査が出来るだろうか、と導入されるまでは不安でしたが、大きな画像の差はなくとても満足しております。
心臓検査において、SSF2.0を活用することでAscend Eliteでも簡便に心臓検査を行えています。特に、位相探しの手間を減らせることや、経験による技師間のばらつきを抑えられる効果もあり、列数による差を感じさせない画像が提供できています。
また、Ascend Eliteから搭載されたTrue Enhance DLは、専用の撮影モードは不要で120kVpで撮影した画像を後から低keV相当に変換できるという点は非常に使い勝手がよく、撮影プロトコルを組む段階で悩まずに済むため、造影剤漏出などの万が一の場合でもバックアップとして活用できるのではないかと考えております。



Ascend_ayase14.jpg




Cookie Preferences | Privacy Policy | California Privacy Policy | Terms and Conditions | Security


Copyright and trademark statement: © 2026 GE HealthCare. GE is a trademark of General Electric Company. Used under trademark license.