関連製品

revolution-frontie.jpg

Revolution Frontier

JB10003JA

※本カスタマーボイスはお客様の使用経験に基づく記載です。
製品の仕様値として保証するものではありません。


販売名マルチスライスCTスキャナLightSpeed 類型 Revolution Frontier 医療機器認証番号: 226ACBZX00011000
販売名 AWサーバー 医療機器認証番号: 22200BZX00295000
販売名 アドバンテージワークステーション 医療機器認証番号: 20600BZY00483000

Revolution FrontierとSnapShotFreeze2.0で
失敗しない冠動脈撮影

公益社団法人 山梨勤労者医療協会
甲府共立病院 放射線室
宮川 朋之 様



病院紹介
甲府共立病院は山梨県甲府市の中心地に位置しており、1955年の甲府診療所創設以来、『貧富の差によって命の尊さが差別されてはならない』を理念に山梨の地域医療に努めてまいりました。その実践として差額ベッド料をいただかないこと、無料低額診療事業を積極的におこなっています。
病床数283床の中規模の病院であり、臨床研修指定病院・二次救急指定病院として山梨の救急医療に貢献してきました。また山梨県内で初となる医療被ばく低減施設としても活動しております。
当院では2022年12月にGEヘルスケア社製64列CT Revolution Frontierを導入しました。CT撮影件数は月平均615件程度(Dual Energy検査含む)で、そのうち冠動脈CTは年間200件、月20件程度行っています。


Frontier_Kofukyoritsu01.jpg
宮川 朋之 技師


Frontier_Kofukyoritsu02.jpg
図1 甲府共立病院



心臓のモーション補正機能ーSnapShot Freeze2.0
CTと同時に導入したSnapshot Freeze2.0 (以下SSF2) は、ワークステーション上のソフトウェアであり、心臓のモーションを補正し静止画像を作成する後処理機構です。撮影したCTデータから、3つの心位相での画像再構成を行い、ボクセル動態追跡によって各構造物の移動量を推定することで静止画像を得ます。
当院のワークフローでは、撮影後に自動で元データを作成・転送するように設定しているため、検査完了から10分程度でモーション補正済みの画像が得られるようになっています。SSF2によって高心拍をはじめ、以降に紹介する不整脈などの困難症例でも静止画像を提出することができています。


Frontier_Kofukyoritsu03.jpg
図2 SnapShot Freeze 2.0


Frontier_Kofukyoritsu04.jpg




症例紹介
①PMI不整脈症例
徐脈性心房細動にてペースメーカー植え込み術を施行済の症例です。撮影中に不整脈が連続して出現し、すべての不整脈データを削除してしまうと画像を作成することができず、右図の矢印に示すように1心拍を残してSSF2を使用したところ静止画像を得られました。


Frontier_Kofukyoritsu05.jpg



PMIのリードのアーチファクトの影響も少なく、LADの評価が十分にできる画像を構築でき ました。


Frontier_Kofukyoritsu06.jpg



②息止め不良症例
心拍は62BPM程度で安定していましたが、造影中に息止めがうまくできなかった症例です。図5(A)のMPR像を見ると左図の矢印のような多数のバンディングアーチファクトが発生しています。
初見の印象では正直なところ良好な制止画像が得られないのではないかと思いました。冠動脈の動きはSSF2にまかせ、心臓自体の動きが一番少ない位相(心位相80%)を、なるべく少ないデータ量で再構成するなどの工夫をしました。
その結果、バンディングアーチファクトを解消し臨床で評価可能な画像を提出することができました。
また冠動脈解析時にもワークステーションのバンディング補正機能(Intelligent Boundary Registration: IBR)を使用し、図5(C)のように途切れのないCPR像を提出することができました。


Frontier_Kofukyoritsu07.jpg



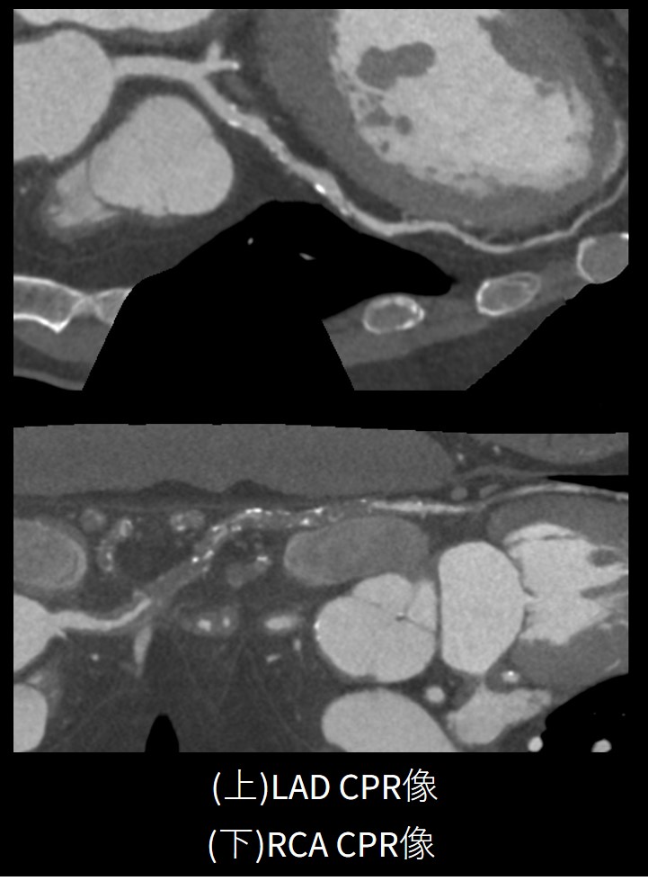
③不正脈・100kgの高体重症例
2段脈様に一定の間隔で不整脈がある上、体重100kgと高体重の患者様でした。レトロスペクティブに不整脈を削除してSSF2.0を掛けることで問題なく解析が出来ました。LADに50%程度の狭窄あり、RCAにはCTOが見られました。高体重者に対しても、最大853mAの線量をかけることができるため、コントラストの高い良質な画像が得られています。


Frontier_Kofukyoritsu08.jpg


Frontier_Kofukyoritsu091.jpg


Frontier_Kofukyoritsu092.jpg



④PVC多発・息止め不良症例
冠動脈CT前のホルター心電図検査をしたところ、多源性PVC、連続した不整脈も多く見られ、撮影時も心室性期外収縮が多発しておりました。

撮影データを確認するとブレが大きく(図7(上))、検査終了後の副作用確認・説明の際に、造影検査時のみ息止めがほとんどできなかったといわれた症例です。


Frontier_Kofukyoritsu10.jpg



不整脈を削除した上で動きの少ない位相でSSF2を掛けたところ、図7(下)にまでバンディング影響を抑えることが出来ました。どうしてもバンディングの出てしまったLADは、より動きの少なかった別位相のデータで補完するなどの工夫で評価可能な画像を提出ことができました。

更新前の装置で撮影した際には、息止めができた検査でも冠動脈のブレが多く評価困難だったためカテーテル検査が必要になっていました。今回は息止め不良という悪条件が重なったにもかかわらず、CTのみで冠動脈の評価を行うことができました。


Frontier_Kofukyoritsu11.jpg



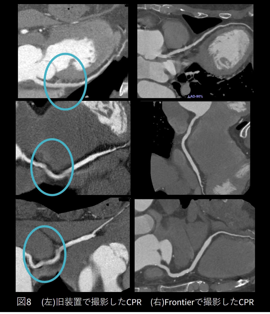
高解像度撮影 ーHDモード
Revolution Frontierに搭載された高解像度(High Definition)モードでは、通常撮影の約2.5倍のビュー数で撮影を行い、空間分解能を向上させることができます。末梢血管などの細い血管の描出を可能にするほか、特に石灰化やSTENTをシャープな画像で観察することができます。



⑤高度石灰化症例
従来の装置では石灰化病変が存在した場合、 図9(A)のような画像になり評価困難でしたが、HDモードに使用によりブルーミングアーチファクトを軽減した高分解能画像を出すことができます。石灰化病変やSTENT病変の評価が可能となる症例も多くなりました。図9(B)はHLにプラークによる狭窄を認め、CAGとなった症例です。


Frontier_Kofukyoritsu12.jpg



心臓ドック
開始にいたった経緯
救急での経験で自覚症状のないまたは受診歴がない患者の狭心症、心筋梗塞症例が多いことに当院の循環器医師が着目し、このような患者を減らすことはできないか模索していました。そこで自由診療であるドック・健診であれば冠動脈CTがとれるのではないかと考え心臓ドックの開設を計画しました。
運用していくにあたり一番検討すべき課題は、造影剤を使用するということで、造影剤を使用するためには腎機能をチェックし、医師の問診をどのように行うか、また他検査への影響や検査中・検査後の安全確保などを綿密に検討しました。



運用後
月1例で運用を検討していましたが、予想より希望する受診者が多くありました。また当日の医師・看護師の問診で自覚症状がある患者に対しては、当院の循環器内科の受診を促し、外来での保険診療を使った検査で精査していくよう案内を行い、患者の費用負担面についても配慮しました。
希望した患者の平均年齢は50~60代。理由としては定年後や早期退職によりしばらく健診を行っていなかった、また自覚症状はないが家族歴で心筋梗塞があり心配で受けたい、などが主なものです。 17例検査した結果が半数以上が要観察、2例が狭窄の疑いがありカテーテル検査を後日施行しました。


表1 心臓ドック件数

期間 2023年7月~2024年2月
件数 17件(男性13件、女性4件)
平均年齢 男性59歳、女性62歳
A判定件数 6件
初見あり 3件(心カテ2件)


 

Frontier_Kofukyoritsu14.jpg

Frontier_Kofukyoritsu15.jpg
図11 ドック前確認シートの一例


自覚症状なし症例
カテーテル検査を行った2例のうち1例はCCTAと同様に狭窄を認めPCIとなりました。もう1例は冠動脈の一部が心筋組織に圧排されることによって血流障害を起こす心筋架橋でした。拡張期の一部で冠動脈が狭窄してしまうように見えてしまう病変でしたが、その一瞬をとらえられたことにSnapShot Freeze2.0の性能の高さを改めて実感させられた症例となりました。



運用しての感想
心臓ドックを運用開始して1年が経過し、特に造影剤副作用発生のトラブルもなく、また受診者にとっても負担の少ない検査ができています。当院でのドック・健診において腎機能をチェックする安全体制を医師・看護師、また健診センターと放射線科が連携したことで確立し実現できたと感じています。
当初は、自覚症状のない患者に対してアプローチしていく検査のため、所見がない患者がほとんどであると予想していましたが、今回の当院の結果から半数以上が要精検または要観察となっています。
また当院では外来用に別枠で冠動脈CTの予約もある中で、さらに検査を拡大できた要因としてGEヘルスケア社製の心臓CT画像再構成技術であるSnapShot Freeze2.0の精度が高いことにあると感じています。位相探しに時間をかける手間が減り、解析時間の短縮につながったことで我々診療放射線技師のワークフローが向上し、安心して患者に検査を提供できる環境となりました。



おわりに
当院のような中規模病院では資金面で高額なワイドカバレッジCT装置を購入することができない現状でありましたが、 Revolution FrontierとSnapShot Freeze2.0を導入したことで、 64列(128列相当)の装置でも、どんな条件の患者様に対しても一定のクオリティの画像を提供し、診断に役立てることができています。
SnapShot Freeze2.0の性能は循環器医からの評価も高く、従来ではCTで冠動脈評価困難な症例はカテーテル検査を必ず施行していましたが、Revolution Frontierを導入してからはCTで評価困難でカテーテル検査でフォローした症例は1度もありません。
現在はRevolution Frontierに搭載されていたDual Energy技術を活用し、心筋遅延造影にも取り組み始めています。心臓領域での使用はもちろんのこと、他部位領域においても活躍が期待できる装置であるため、今後もこのような様々な機能を活用し、効率的で質の高い検査を提供していきたいと考えています。


Frontier_Kofukyoritsu16.jpg
甲府共立病院 放射線室スタッフの皆様




Cookie Preferences | Privacy Policy | California Privacy Policy | Terms and Conditions | Security


Copyright and trademark statement: © 2026 GE HealthCare. GE is a trademark of General Electric Company. Used under trademark license.