関連製品

gehc-revolution-maxima-product-web-page-during-scan-image-1.jpg

Revolution Maxima

JB12096JA

※本カスタマーボイスはお客様の使用経験に基づく記載です。
製品の仕様値として保証するものではありません。


製造販売:GE ヘルスケア・ジャパン株式会社
販売名称:全身用X線CT診断装置 BrightSpeed 医療機器認証番号: 217ACBZX00002000
販売名称:Revolution Maxima(レボリューションマキシマ 医療機器認証番号: 301ACBZX00013000

息止め困難な患者様に対する
CTハイピッチ撮影の有用性

医療法人社団 東光会
八王子山王病院 放射線科
本田 順二 様



はじめに
当院は市の基幹病院や大学病院と連携し相互補完を中心に急性期、地域包括ケア、障害者病床など157床を有する地域密着型病院である。また近隣に高齢者施設が多いことから高齢者の検査が多い傾向にある。従来当院ではGEヘルスケア社製BrightSpeed Elite(16列CT装置)を使用していたが、スキャン時間が長いため息止めや姿勢保持が困難な患者においてアーチファクトが多く高齢者における画像品質の低下の一因となっていた。今回、同GEヘルスケア社製 のRevolution Maxima (64列CT装置) を導入した。

現在、日本の人口の5人に1人が75歳以上の後期高齢者となる状況で、当院でも長い息止めの難しい高齢患者が増えている。このような患者に対しては64列CTの4cmカバレッジとハイピッチを使った高速撮影が有効ではないかと考え、撮影速度や画像におけるメリットとデメリットを検証・評価したので紹介させていただく。


Maxima_hachiojisanno01.jpg


Maxima_hachiojisanno02.jpg


ヘリカルピッチに関する基礎知識
ヘリカルピッチはヘリカル撮影において重要な パラメータであり、以下の式で表現される。
ヘリカルピッチ(ビームピッチ) = 寝台移動距離(管球1回転あたり) / X線ビーム幅厚
ビームピッチは撮影目的によるが、0.5〜1.5程度が主流でありRevolution Maxima(64列CT装置)での撮影では、図1に示す4種類のピッチ選択設定が可能となっている。 ピッチが1の場合、X線ビームの幅と寝台移動距離が同じでデータが重なりなく収集される。ピッチが1以上の場合、撮影速度が向上する一方で体軸方向にデータの隙間が生じるため、解像度の低下やアーチファクトが発生しやすくなることが懸念される。


Maxima_hachiojisanno03.jpg
図1 Revolution Maximaの撮影パラメータ選択画面


GEヘルスケア社製のCTでは、体軸方向・コーン角のそれぞれに対する重みづけをすることによるデータの最適化や、各スライスに応じた幾何学的矛盾を抑えたデータ利用によって、ハイピッチ撮影時の画質の劣化を最小限に抑えている。そのため画質を犠牲にすることなく高速撮影を選択できるメリットがある。

今回、ハイピッチヘリカル撮影の有効性を検証するために、当院で最も撮影件数が多い胸部〜骨盤部までの単純CTにおいて (0.984:1)、(1.375:1)、(1.531:1)の3種類のピッチ設定でデータ収集・検証を行った。対象は75歳以上の患者または救急搬送患者で、性別や体格による撮影枚数の違いは考慮していない。



4cmカバレッジ・ハイピッチ選択で撮影時間が大幅に短縮
当院での標準ピッチ(0.984:1)で胸腹部の撮影を行った場合、撮影時間の分布は図2の通りで、従来より約8秒〜13秒ほど撮影時間が短縮できた。16列CT装置の撮影時間と比較すると明確にスキャンが早くなった為、不穏な患者でも良好な画像を提供できることが多くなった。標準ピッチよりも1段階速い設定のピッチ(1.375:1)で撮影を行った場合ではさらに2.5~3秒程スキャン速度があがり、撮影効率も向上した。


Maxima_hachiojisanno04.jpg
図2 胸腹部スキャン時間の変化



4cmカバレッジ撮影スピード向上による息止め成功率の向上
診療放射線技師5人による息止め判定実験と画像評価を行った。撮影前の患者に対し、従来の16列CT装置で撮影した場合に予想される撮影時間分の息止め練習を行い、息止めの可不可を判断した。
A: 16列CT装置でも十分息止め可能
B: 64列CT装置では可能だが、16列CT装置では困難
C: 両装置で困難(又は最初から指示が入らない)

また得られた画像に対し、 〇:画質良好 △:画質の低下あり(小) ×:画質の低下あり(大)
で評価を行った。


Maxima_hachiojisanno05.jpg
〇の例
アーチファクトなく良コントラスト


Maxima_hachiojisanno06.jpg
△の例
読影に影響のない、動きや腕からの ストリークによるアーチファクト


Maxima_hachiojisanno07.jpg
×の例
読影に影響のある可能性がある アーチファクト


図3 画像判定例



図4に診療放射線技師5人による標準ピッチ(0.984:1)での息止め・画質判定の結果を示す。

従来装置での撮影の場合、対象患者の半数以上の56%もが息止めが続かないと予想されたが、64列では74%にまで息止め可能人数が回復した。実際の画像を見ても、88%の患者で読影に影響のない画質の画像が得られた。


Maxima_hachiojisanno08.jpg
図4 標準ピッチにおける16列・64列CT装置での息止め・画質評価



息止め困難患者群に対してはハイピッチ使用でリカバリー
さらに息止め困難な患者群に対してはハイピッチ(1.375:1)または(1.531:1)を選択して検証した。結果を図5に示す。
息止め判定の円グラフを見ると、ピッチを上げることで約半数程の患者が息止めできるようになった。画像判定においても、息止め出来た患者が増加したため良好な画像、もしくは今まで読影不良になりかねない画像が読影には影響の少ない基準の画質まで引き上げることができ読影が厳しい画像は減少した。

両方のグラフから、ピッチを1段階あげることで標準ピッチでは厳しかった患者でも呼吸や体動不良による画像品質の低下をある程度防ぐことができ、高齢者の検査が多い当院においては一定の効果を有することが明らかとなった。 しかし意識障害を伴う患者や認知機能が低下した高齢者など意思疎通が困難な患者に対しては改善できないケースもあったため、息止めが完全にできない患者に対しては2段階上げたピッチ(1.531:1)の使用も現在検討中である。


Maxima_hachiojisanno09.jpg
図5 ハイピッチにおける16列・64列CT装置での息止め・画質評価



ハイピッチ使用時も 画質劣化が起きにくい
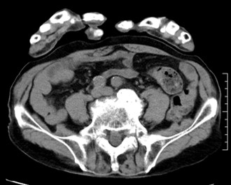
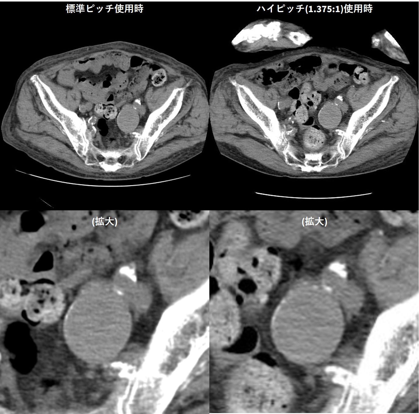
ハイピッチ使用時でも、画像を比較すると読影可能な画質を維持できている。図6の写真は左内腸骨動脈瘤の病変である。左側は患者が3か月に1回行っている定期フォロー時に撮影した通常ピッチ(0.984:1)の画像、右側は救急搬送時に撮影したハイピッチ(1.357:1)の画像であるが読影に影響が出る程の画質の差は感じられない。


Maxima_hachiojisanno10.jpg
図6 ピッチの違いによる左内腸骨動脈瘤の見え方の違い



ハイピッチ使用時に気を付けること
これまでの結果からハイピッチヘリカル撮影が息止め困難な患者において撮影効率と画像品質の両立に寄与することを示した。スキャン時間が短縮され、息止め不良や体動によるアーチファクトの要因を一定程度軽減することが可能となった。

ハイピッチ使用時の注意点として以下の2点があげられる。
①解像度がやや低下し微細病変の検出が困難になる可能性があるため、高い空間分解能が必要な検査では注意が必要になる。
②mAs値が不足すると画質に悪影響を及ぼすことがある為、mAテーブル(図7)を確認し検査に適切な線量を確保できているか評価することが求められる。


Maxima_hachiojisanno11.jpg
図7 mA Table :スキャンごとに変調出力予定のmAが表示されている



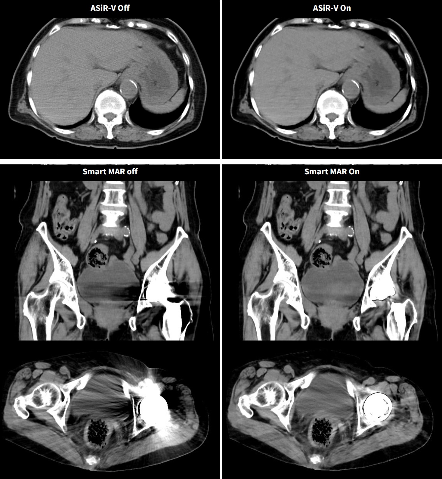
②のmAs不足に対しては、再構成方法のパラメータ調整で調整することも可能である。GEヘルスケア社独自の逐次近似画像構成技術・ASiR-Vは空間分解能を保ちつつ従来比最大91%のノイズ低減が可能である。この技術はmAs不足の場合のノイズリカバリーや低コントラスト分解能向上、被ばく低減などに応用可能である。ASiR-Vではノイズ低減度合いを10-100%で選択可能なので当院ではルーチンでASiR-V30%を使用し、これは1.36倍の線量相当のノイズ低減効果がある。

また、人工骨頭などの高吸収体によるアーチファクトに対しては、Smart MARという金属アーチファクト低減アルゴリズムを適用させることにより補正が可能である。金属インプラントの入っていることの多い高齢患者に対して有効な機能である。



まとめ
16列CT装置から64列CT装置Revolution Maximaへの更新によって、息止め時間を短縮し高品質な画像の担保と、患者負担を軽減した検査が行えるようになった。さらにハイピッチ機能を活用することにより、これまで体動あり・息止め困難などの難しい患者に対しても読影可能な画像を大幅に増加させることが出来た。
これからの高齢化社会を見据え、診断精度と患者の安全性を両立を目指し、適切な撮影条件の設定や画像再構成技術の活用を推進していきたい。


Maxima_hachiojisanno12.jpg
図8 GEヘルスケア社の各種画質向上アルゴリズム使用画像




Cookie Preferences | Privacy Policy | California Privacy Policy | Terms and Conditions | Security


Copyright and trademark statement: © 2026 GE HealthCare. GE is a trademark of General Electric Company. Used under trademark license.