関連製品

gehc-revolution-maxima-product-web-page-during-scan-image-1.jpg

Revolution Maxima

JB00217JA

※本カスタマーボイスはお客様の使用経験に基づく記載です。
製品の仕様値として保証するものではありません。


製造販売:GE ヘルスケア・ジャパン株式会社
販売名称:全身用X線CT診断装置 BrightSpeed 医療機器認証番号: 217ACBZX00002000
販売名称:Revolution Maxima(レボリューションマキシマ 医療機器認証番号: 301ACBZX00013000

Revolution Maxima 臨床使用経験  ー循環器領域を中心にー

一般財団法人博慈会 博慈会記念総合病院
放射線技術部:坪子 敏和 様、鹿又 美咲 様、三原田 翔 様、上岡 梨紗 様、高橋 護 様



はじめに
当院では内科・外科あわせて20の診療科を有している、306床の病院です。東京都指定の2次救急病院であり、救急患者については24時間対応しております。
当院では、他社製の80列と16列のCTを使用しておりましたが、16列CTの老朽化に伴い、2020年3月よりRevolution Maximaを導入することとなりました。検査数は多い日で60件ほどあり、以前の運用では80列CTと16列CTの検査の振り分けに苦慮する部分もありましたが、Maximaの導入により、2台のCTで同等のパフォーマンスを発揮することができ、以前と比較して円滑に検査を進めることができております。Maximaでは頭部や胸腹部などのルーチン撮影や、肝臓Dynamic・CTAなどの造影検査に加え、これまで80列CTで実施していた心臓撮影も行っています。
Revolution Maximaには様々な特徴がありますが、今回は当院でよく使われている機能について紹介します。


hakujikai01.jpghakujikai02.jpg



ODM
ODM(Organ Dose Modulation)とは、撮影範囲中の特定の領域の線量を30-40%低減する、という機能です。当院では、頭部においては水晶体、胸部においては甲状腺の被ばく低減を目的として、ODMの機能を使用しております。画質への影響も大きくないため、頭部撮影の際は必ず使用しています。今後は小児患者において、水晶体だけでなく、体幹部での放射線感受性の高い、甲状腺や生殖腺に対しても応用していきたいと考えています。


hakujikai03.jpg



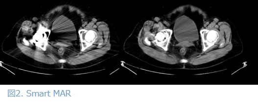
Smart MAR
Revolution Maximaでは、金属アーチファクトの低減を行うSmart MARという機能が搭載されています。当院の80列CTは金属アーチファクト低減機能がないため、金属デバイスの入った患者はできるだけRevolution Maximaで撮影をするようにしています。


hakujikai04.jpg



心臓検査
Revolution Maximaでは、Snap Shot Assist(以下SSA)・Snap Shot Freeze(以下SSF)により、大幅にワークフローが改善しました。
SSAでは、患者が息止め練習をしている間の心拍数や心拍数の変動を記録し、その心拍状態に適した撮影条件を提案する機能です。低心拍の患者に対しては、拡張中期に最大管電流を照射、それ以外の心位相に対しては少ない管電流を照射し、被ばくを最小限にすることができます。反対に高心拍や不整脈の見られる患者は、すべての心位相に対して管電流を照射し、失敗の少ない撮影条件をオートで設定してくれます。また患者のBMIに対して照射する管電圧と管電流を設定することができるため、被ばくも抑えた心臓検査を行うことができるようになりました。
また3次元動態解析アルゴリズム SSFを使用し、冠動脈のモーションアーチファクトを抑えることが可能になりました。今まで使用していた80列CTでは、高心拍の場合にはモーションアーチファクトが見られ、セクタリコンを使用しなければならないため、撮影前にローテーションタイムやヘリカルピッチなどのパラメータをしっかりと吟味する必要がありました。Revolution Maximaでは、SSFによりモーションアーチファクトの低減が可能となり、従来のCTでは観察が難しい症例に対しても、診断良好な画像が提供できるようになりました。また、最適心位相の検索や画像処理の手間を大幅に省略することができ、以前心臓検査で使用していた80列CTでは撮影後の処理が1時間程度かかってしまいましたが、Maximaでは半分の約30分に短縮することができました。
このように、SSA・SSFにより、従来使用していた80列CTと比較し、撮影時・撮影後、また画像処理についても作業時間の短縮が可能となりました。


hakujikai05.jpg



Advantage Workstation
Revolution Maximaの導入に伴い、Advantage Workstation(以下AW)も導入し、3Dの作成や心臓解析を行っています。導入前は他社のワークステーションを使用し、血管解析処理をしていましたが、AWの血管構築機能や自動での骨除去の精度がよく、Maximaで撮影した症例はAWで処理を行っています。



・心臓解析
AWでは、[自動冠動脈解析]というアプリケーションを用いて心臓解析を行っています。アプリケーションの名前の通り、データを選択しアプリケーションを開くと、自動でTree VRの作成・血管の認識と名前付け・LumenとCurved画像の作成までを行ってくれます。もしTree VRが作成されない場合には、マニュアルで血管を追加するのですが、その際も非常に簡単に血管構築が可能です。Auto Selectという機能を用いると、CT値だけでなく解剖学的情報も含めて血管を構築するため、イレギュラーな症例に対しても柔軟に対応することができます。



・骨除去
AWでは、ワンクリックで骨除去を行うソフトウェアが搭載されており、骨除去の精度が非常によく、従来使用していたワークステーションと比較し、3D作成の手間をかなり短縮することができました。もし血管が消えてしまった場合には、前述のAuto Selectの機能を使用することで、簡単に血管の3D構築が可能になりました。



さいごに
Maximaを導入して約5か月経過しており、検査の幅も増えてきました。また従来使用していたCTよりも被ばくの低減が実現できています。今後も装置の機能を活かし、患者様に対してより負担の少なく、有益な情報を提供できるよう、撮影条件を検討していきたいと思います。




Cookie Preferences | Privacy Policy | California Privacy Policy | Terms and Conditions | Security


Copyright and trademark statement: © 2026 GE HealthCare. GE is a trademark of General Electric Company. Used under trademark license.