関連製品

apexplatformbrightscenelookdevcompv01-m.jpg

Revolution Apex Elite



「Dual Energy CT撮像技術の臨床的価値」

「Dual Energy CT撮像技術の臨床的価値」では、岐阜大学医学部附属病院 放射線科 野田 佳史先生より、弊社共催セミナーでご講演頂いた内容を含め資料化したものとなります。是非PDFファイルをダウンロードしてご覧ください。


※ダウンロードにはお客様の情報登録が必要です。


【 見   本 】

DualEnergyPDF-1.jpg

DualEnergyPDF-2.jpg

JB12922JA

※お客様のご使用経験に基づく記載です。仕様値として保証するものではありません。

製造販売:GE ヘルスケア・ジャパン株式会社
マルチスライスCTスキャナ Revolution 認証番号:226ACBZX00011000
マルチスライスCTスキャナLightSpeed 認証番号:21100BZY00104000
AWサーバー 認証番号:22200BZX00295000
アドバンテージワークステーション 認証:20600BZY00483000

Dual Energy CT撮像技術の臨床使用経験

岐阜大学医学部附属病院
放射線科 野田 佳史 様



はじめに
当院のCT装置に関しては2023年7月に本邦初号機となるRevolution APEX Elite(256列)を導入し、既設Revolution CT APEX Edition(256列)、Discovery CT750 HD(64列)の3台が診断用、またRevolution CT(256列)が治療用として、合わせて4台全てGEヘルスケア社が提供する高速kVスイッチング方式のDual Energy撮影であるGSI(Gemstone Spectral Imaging)が可能な装置が揃っており、幅広い分野に対するCT検査を行っている。今回、実臨床でDual Energy撮像を使用して得られた有用性について報告する。


RevolutionApexElite_Gifu02_01.jpg


コントラスト向上とアーチファクト低減
一般的に日常臨床で読影に用いるのが仮想単色X線画像である。その名の通り、X線エネルギーがキロボルトピーク(kVp)ではなく、キロエレクトロンボルト(keV)で計算される、単色X線で撮像されたかのような仮想的な画像である。40~140 keVのエネルギーから任意のエネルギーを選択して画像再構成をすることが可能だが、65~70 keVがSingle Energy CT撮像における120 kVpに近いエネルギー帯と言われている。したがって、我々は基本的に70 keV画像を日常の読影業務で使用している。
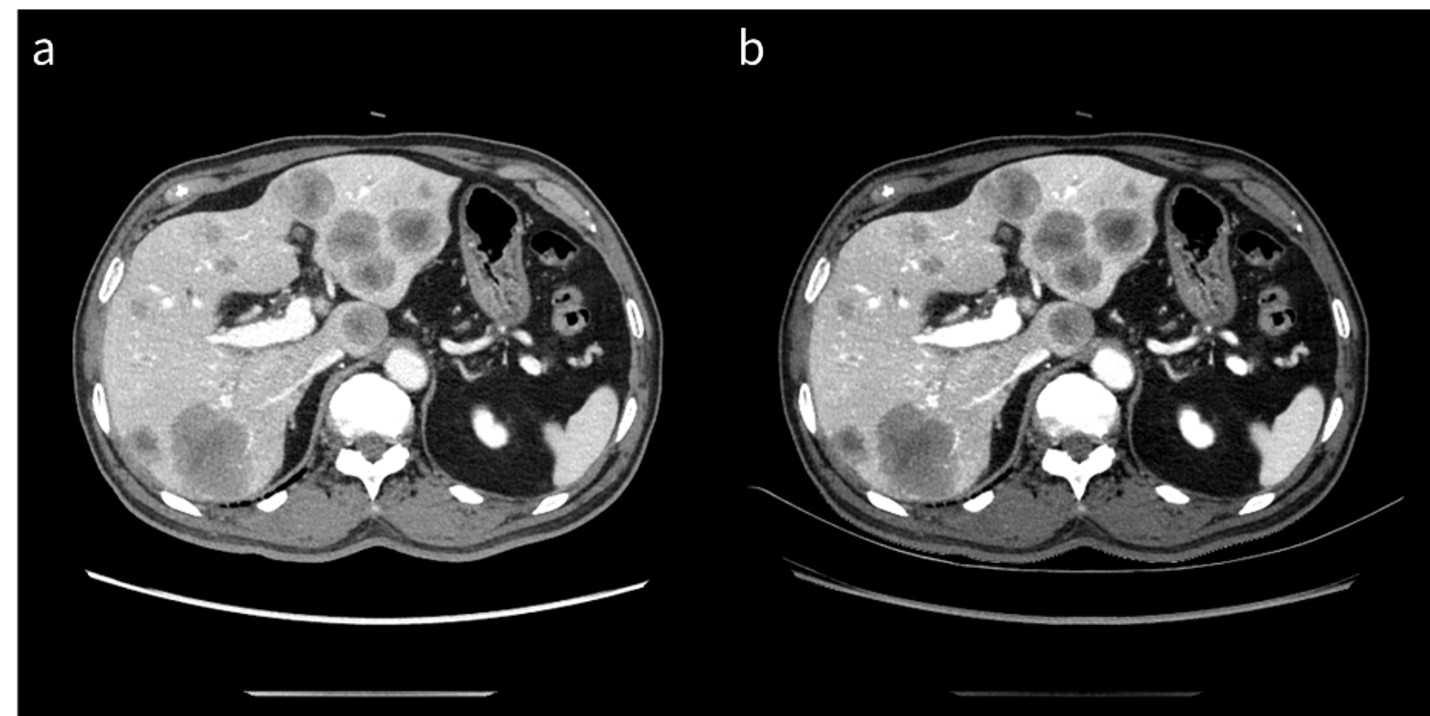
この仮想単色X線画像は、Dual Energyモードで撮像してさえいれば、必要な時にエネルギーを変更することができる。ただ、エネルギーの変更を希望する際はほとんどの場合が低エネルギー側へのシフトである。造影CTの場合、ヨードのk吸収端(33.2 keV)により近づく低keVを選択することで、Single Energy CT撮像では成し得なかった造影コントラスト、Contrast-to-noise ratio (CNR)の大幅な向上が得られる(図1)。


RevolutionApexElite_Gifu02_02.jpg
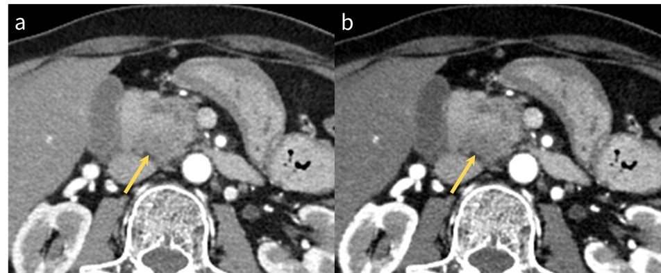
図1 膵癌の肝転移症例
a: 70 keV仮想単色X線画像
b: 40 keV仮想単色X線画像
40 keV仮想単色X線画像では、より肝転移巣と背景肝のコントラストが明瞭になっている。


これにより、低コントラスト病変の診断能向上にも一役買うことができ、日常診療では、診断能向上とまではいかなくとも、診断確信度を上げることのできる症例はそれなりの頻度で遭遇する(図2)。では、低keVの選択と言っても具体的に何keVを選択すればよいのだろうか。結論から言えば、何も考えずに最も低いエネルギーである40 keVの選択で構わない。40 keVを選択した場合、ノイズの上昇が気になるという声も聞こえてきそうだが、これもハードウェア・ソフトウェアの進歩によりノイズの気にならない、日常臨床で十分に使用できる画質感になっていると断言できる。
対して高keV(80~140 keV)を使用することで、金属アーチファクト軽減に代表されるような、StreakingやShading artifactを軽減することか可能だ(図3)。


RevolutionApexElite_Gifu02_03.jpg
図2 診断確信度向上例
a: 70 keV仮想単色X線画像
b: 40 keV仮想単色X線画像
膵頭部癌のコントラストは40 keV仮想単色X線画像で優れ(→)、
keVを変えることで診断確信度が向上する場合がある。


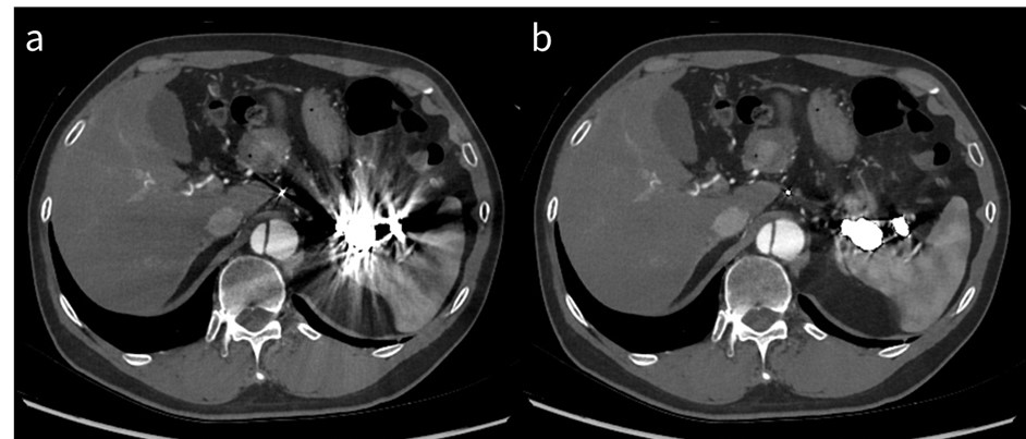
RevolutionApexElite_Gifu02_04.jpg
図3 高keV画像によるアーチファクト低減
a: 70 keV仮想単色X線画像
b: 140 keV仮想単色X線画像
腰椎術後状態であり金属アーチファクトが著明であるが、
140 keV仮想単色X線画像は70 keVと比較してアーチファクトが低減されている。


単純CT置換による検査時間短縮と被ばく低減
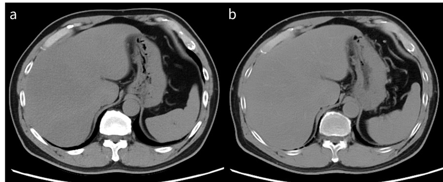
GSIではMulti-material Decompositionアルゴリズムに基づき、造影画像からヨードを差し引いた、仮想単純画像を取得することができる(図4)。岐阜大学病院では積極的に臨床で使用していないが、留学先のMass General Brigham (MGB)では他社での撮像も含め、Dual Energy CT撮像を行った症例ではルーチンでこれを取得している。すなわち、撮像は造影画像のみであり、単純CTはこの仮想単純画像に置き換えているのだ。これにより検査時間の短縮や被ばく低減に寄与する。これまで泌尿器領域での報告が多いが、肝臓領域でも真の単純CTに置き換えられると報告されている。この仮想単純画像は形態画像として読影に用いることはもちろんのこと、CT値を直接計測することができ、真の単純CTとCT値に大きな差はないと報告されている。しかし、Vendor間で仮想単純画像におけるCT値にはばらつきがあり、臓器によってもその差が異なるため、異なるCT装置で経過観察をした場合、単純にCT値比較ができないことは留意する必要がある。


RevolutionApexElite_Gifu02_05.jpg
図4 仮想単純画像
a: 真の単純画像
b: 仮想単純画像
肝内脈管にわずかな造影剤濃度が残存しているが 、
全体としてはヨードがきれいに差し引かれた単純CT画像が作成でき、真の単純CT画像に置き換えが可能だ。


定性的かつ定量的な情報の取得
物質弁別画像に用いられるMaterial DataにはIodine, Water, Calcium, Hydroxyapatite (HAP), Uric Acid, Fat等が存在する。これらの物質のペアにより物質弁別画像が再構成され、組織の構成要素や造影剤分布等、定性的かつ定量的な情報をもたらしてくれる。このうち一般的に臨床で用いられる画像はIodine/Water画像であり、いわゆるヨード密度画像と呼ばれるものである。この画像を構成する物質はヨードと水のみであると仮定し、水を基準としてどれくらいのヨードが存在するかを表した画像とも言えよう。これによりヨード密度画像では一目で組織の造影効果を視認することができ、肺動脈血栓塞栓症評価に使用されるイメージが強いのではないだろうか(図5)。
このように定性画像としてももちろん有用であるが、mg/mLで表示されるヨード密度値を計測できる点も、病変の悪性度評価や治療効果予測、予後予測に応用が可能と報告されている通り、Single Energy CT撮像では得られない付加価値をもたらす。



RevolutionApexElite_Gifu02_06.jpg
図5 肺動脈血栓塞栓症症例
a: 胸部造影CT
b: ヨード密度画像
胸部造影CTで右肺動脈に血栓を認める(→)。ヨード密度画像では塞栓領域の血流低下が一目瞭然である。


金属周辺の画像評価
金属アーチファクトにより詳細な解剖学的情報を得られない場合、GSI Metal Artifact Reduction (GSI MAR)が役に立つ。GSI MARでは金属近傍の空間分解能やデータの整合性を保持したまま金属アーチファクトの補正を行っている。
このMAR画像再構成処理では、3つのポイントが重要となる。1つ目は、金属領域の検出である。ここを精度よく特定できなければ、アーチファクトが多分に残ってしまう。2つ目は、金属を取り除いたデータ領域における、金属領域のデータ復元である。ここが不完全であると、アーチファクトの原因となる。そして3つ目は、金属領域と金属を取り除いた領域の組み合わせ処理であり、これは金属の周辺部分の画質に関わってくるところである。これらの過程を経ることで低コントラスト分解能の向上へも寄与し、金属アーチファクトにより視認性の落ちる病変・病態評価に役立つ(図6)。


RevolutionApexElite_Gifu02_07.jpg
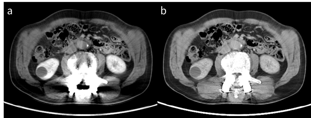
図6 金属アーチファクト低減処理前後画像
a: 金属アーチファクト低減処理前
b: 金属アーチファクト低減処理後
脾動脈コイル塞栓術後の画像。金属アーチファクトの低減が一目瞭然であり、
主に頭頸部領域や整形領域で効果を実感できるアプリケーションであろう。


今後の展望
このようにDual Energy CTは日常臨床になくてはならない診断ツールとなった。とは言え、Dual Energy CTの進化は未だ続いている。TrueFidelity DLがそうであったように、新たな技術がSingle Energy CTを経てDual Energy CTに導入されることもしばしばである。例えば今後1024マトリックスがDual Energy CTに導入されることになれば、さらなる高分解能化が期待でき、Lungカーネルを組み合わせることで肺のイメージングに新たな活路を見出せるかもしれない。また、今後は放射線科医以外にもDual Energy CTが浸透していく可能性が十分にある。Dual Energy CTの原理や本質までは把握していなくとも、彼らはこんなことができる、こんな画像が出せる、といった知識を持つことになるのではないか。そんな時、低keVだと~とか、物質弁別画像が~などと、難しいことを説明しても理解してもらえないだろう。難しいことは抜きにして、様々な臓器、様々な疾患を診断する際に最適な画像表示を可能とし、これまで以上に簡便かつ効果的に診療をサポートするアプリケーション等が登場してくると、いよいよDual Energy CTの臨床的価値が成熟期を迎えるのではないだろうか。




Cookie Preferences | Privacy Policy | California Privacy Policy | Terms and Conditions | Security


Copyright and trademark statement: © 2026 GE HealthCare. GE is a trademark of General Electric Company. Used under trademark license.