関連製品

apexplatformbrightscenelookdevcompv01-m.jpg

Revolution Apex Elite

JB09181JA

※お客様のご使用経験に基づく記載です。仕様値として保証するものではありません。

製造販売:GE ヘルスケア・ジャパン株式会社
販売名 マルチスライスCTスキャナ Revolution 医療機器認証番号: 226ACBZX00011000
販売名 AWサーバー 医療機器認証番号: 22200BZX00295000
販売名 アドバンテージワークステーション 医療機器認証番号: 20600BZY00483000

Revolution Apex Eliteがもたらした計り知れないインパクト
ー 装置導入から約6か月の使用経験 ー Dual Energy編

新潟大学地域医療教育センター
魚沼基幹病院 放射線技術科 松本一則 様



はじめに
当院は越後山脈を望む魚沼盆地に新潟県の魚沼地域の医療再編に伴い2015年6月に南魚沼市に新規開院した、まだ歴史の浅い病院である。
新潟県は7つの医療圏に分割されており当院が位置する魚沼医療圏(3市2町で構成)は面積が約2600km2と最も広いが、人口は約15万人と2番目に少ない医療圏となっており、この広大な医療圏に初の三次救急医療機関として開院した。開院以前は隣の中越医療圏まで重症救急患者を搬送していたが、現在では年間ドクターヘリ55機、救急車3024台(2023年度実績)を受け入れ、地域の救急医療はもちろん高度専門医療、急性期医療の拠点を担っている。


RevolutionApexElite_Uonuma201.jpg
放射線技術科 CTメンバー



CT装置は開院以来、他社製の64列CT(同機種)2台にて運用していたが、2023年12月にそのうち1台をRevolution Apex Eliteに計画更新した。更新前は、64列CTでの運用であったため、使用し改めてハイエンド装置の性能がもたらすインパクトの強さを日々感じている。以下に、GE HealthCare社製のCT使用を含めすべてが初体験という稚拙な使用経験ではあるが、これを踏まえRevolution Apex Elite(以下、Elite)の性能の一端を紹介する。



性能① Dual Energy撮影(VMI画像)
Dual Energy(以下、DE)撮影は従来装置で未搭載であり、大袈裟な表現かもしれないが長年使用したいと思っていた機能である。
EliteのDE撮影は、Single Energy撮影と同じスキャンFOVにて撮影が可能なため、必要な場面で症例に躊躇なく使用できる。

当院で現在DE撮影を日常的に使用している領域はそれほど多くはないが、腎機能低下症例、腹部臓器を対象としたダイナミック撮影、 X線単純撮影にて不顕性骨折を疑う症例、そして外傷により胸腰椎の圧迫骨折を疑う症例に対してはルーティンで撮影を行っている。
腎機能低下症例に対しては、従来装置使用時より造影剤量を低減し低管電圧撮影を積極的に行っていたが、高体重患者さんでは線量不足の影響を顕著に受けていた。
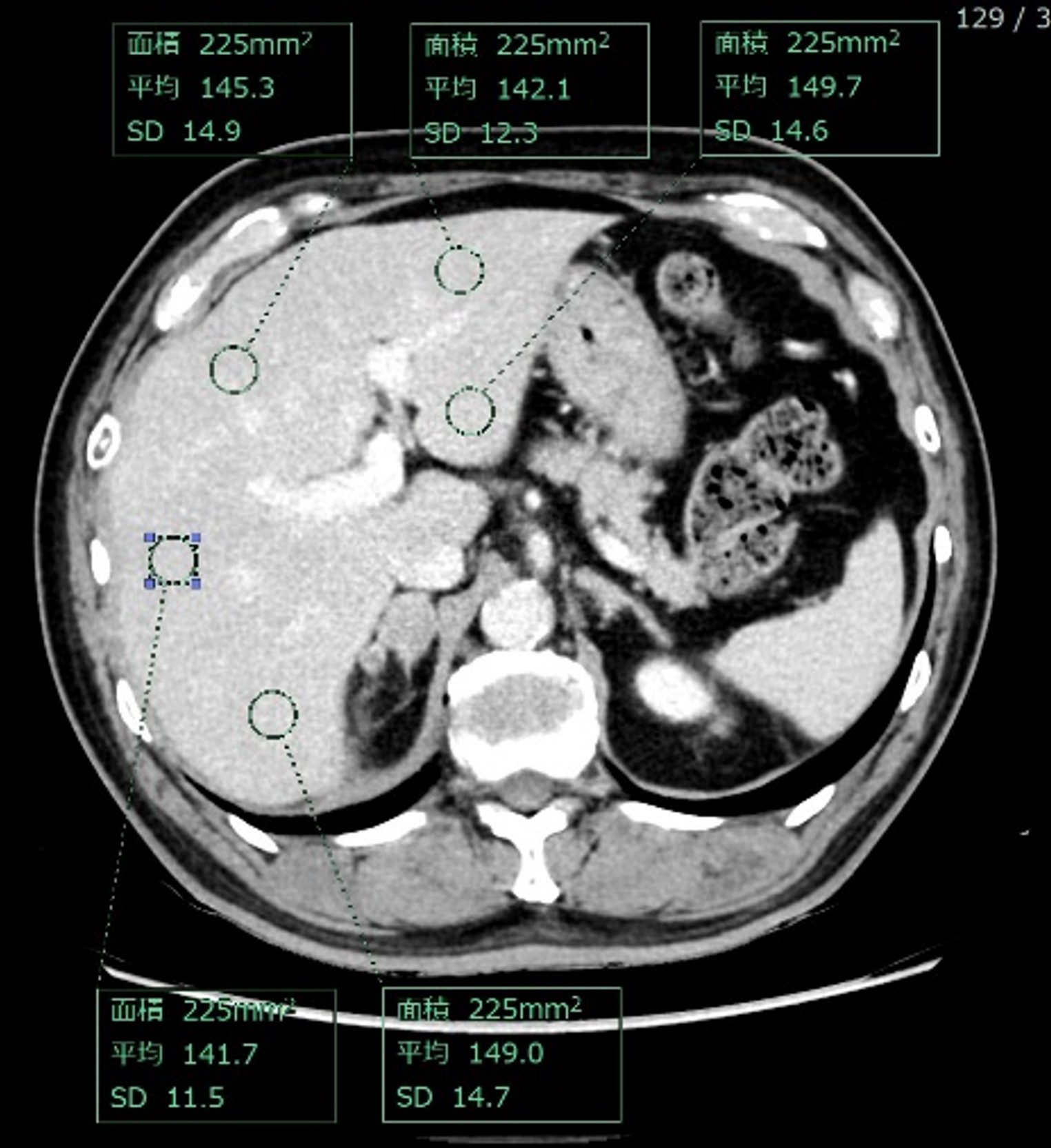
しかしEliteでは高出力のX線管球に加えディープラーニング再構成であるTrueFidelity DLにて画像再構成が可能であるため、低エネルギーのモノクロマティック画像であってもノイズを低減した画像を提供できている。図2の通り300 mgI/mL製剤 59 mL(0.9 mL/sec)で造影したにもかかわらず、肝臓のCT値は約145 HU、また画像SDは約13.6と診断能を損なわない画像を提供できた。なおこの画像は図1に示す通り、体重85kg、体重当たり ヨード使用量210mgI/kgであることを強調したい。


RevolutionApexElite_Uonuma202.jpg
図1 造影剤注入条件


RevolutionApexElite_Uonuma203.jpg
図2 45 keV 2.5 mm Axial計測



性能② Dual Energy撮影(VNCa画像)
一方、物質弁別画像はDE撮影において最も多くの情報をもたらす画像である。その中でVirtual Non-Calcium Image(以下、VNCa画像)による 骨髄浮腫の描出は、脊椎圧迫骨折の新旧判別や大腿骨近位部などの 骨挫傷検索に優れた画像であることを改めて実感している。
その有用性は既知であるが、当院で経験した大腿骨頚部骨折の症例を示す。
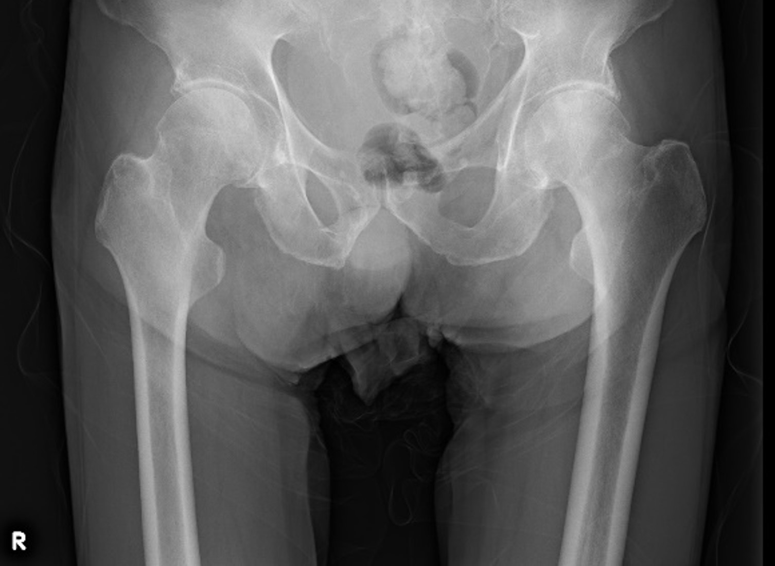
70歳代男性、検査前日に転倒しその後から右股関節痛があり歩行不能となった。図3、4にX線単純撮影を示すが、骨折を認めなかったためDE撮影を行った。

図5~7にコロナル2mmの各再構成画像を示す。
通常の骨条件でも骨折を指摘できなかったが、VNCa画像であるWater(HAP)で明瞭に骨髄浮腫を描出できた。CTに続き同日MRIも実施されたが、STIR(図8)でも同様な所見が描出されており整形外科医師にVNCa画像の有用性を理解していただけた。
Eliteを使用開始した当初、整形外科医師に対してVNCa画像の見方を十分説明できていなかった。
これでは装置の機能が宝の持ち腐れとなりかねないと危惧し、有用性を理解していただくため、DE撮影とMRIを両方実施している症例を対比し説明を行ったことで、現在では積極的にVNCa画像を提出できるようになった。時間と費用を余分に使うことになるMRIを行わずに骨挫傷を描出できることは、患者さんはもちろん検査に携わる我々にとっても利益が大きいと感じている。


RevolutionApexElite_Uonuma204.jpg図3 両股関節 正面像


RevolutionApexElite_Uonuma205.jpg
図4 右股関節 軸位像


RevolutionApexElite_Uonuma206.jpg
図5 骨条件


RevolutionApexElite_Uonuma207.jpg
図6 Water(Calcium)


RevolutionApexElite_Uonuma208.jpg
図7 Water(HAP)


RevolutionApexElite_Uonuma209.jpg
図8 STIR





総括
Eliteを使用して約6か月間ではあるが、使用経験を踏まえて性能の一端を紹介した。まだ紹介できていない機能や性能はたくさんあるが、それだけ多機能かつ高性能な装置である。これらを使いこなすことは容易ではないが、Eliteを使い始めて感じたことはGEヘルスケアCTのユーザー会が充実しており、ヘビーユーザーの方をはじめ多くの方々から有益な情報を得ることができる。また困ったことも丁寧に教えていただけるため、使用開始当初に抱いていた不安は払拭できている。
今後はより一層知識の習得に努め、同じ志を持つ方々と共に患者さんのために最高の画像を届けられるよう尽力していきたい。




Cookie Preferences | Privacy Policy | California Privacy Policy | Terms and Conditions | Security


Copyright and trademark statement: © 2026 GE HealthCare. GE is a trademark of General Electric Company. Used under trademark license.