関連製品

RevolutionCT_gifuheart202_.jpg

Revolution CT

※本カスタマーボイスはお客様の使用経験に基づく記載です。
製品の仕様値として保証するものではありません。


製造販売:GE ヘルスケア・ジャパン株式会社
販売名 マルチスライスCTスキャナ Revolution 医療機器認証番号:226ACBZX00011000
販売名 アドバンテージワークステーション 医療機器認証番号: 20600BZY00483000

デュアルエナジーCT GSI Xtreamに関して ~躯幹部を中心に~

岐阜大学医学部附属病院 放射線部 准教授
五島 聡 先生



Key words
・Single Energyと同等画質以上のデュアルエナジー画像
・低被ばく・スループットを損なわないワークフローを実現
・デュアルエナジーがより「身近」に


201710_voice_img_ct_01_01.jpg



GSI (Gemstone Spectral Imaging )の特長
近年注目されている通り、デュアルエナジーCTは、画期的な、定量法につながるCT撮影手法である。
岐阜大学医学部附属病院では、2012年2月よりDiscovery CT750 HDが稼働、そして2017年3月よりRevolution CTが稼働しているが、先に導入されたDiscovery CT750 HDは、デュアルエナジー撮影が可能な製品であり、これまでも様々な基礎検討・臨床応用を行ってきた。
GE社CTのデュアルエナジーはGems tone Spectral Imaging (以下、GSI)と呼ばれ、その特長は、ガーネット検出器を使った「Fast kV Switching」による撮影法である。140kVpと80kVpを0.5ミリ秒という高速スイッチングで照射し撮影を行っており、時間的・空間的位相差はほぼゼロである。これは、他には類を見ないGarnetシンチレーターの応答速度の速さ(従来の100倍)と、アフターグローの少なさ(従来の1/4)がなせるものである。また、画像は撮像生データから再構成され、様々な画像表示/解析が可能である。代表的なものは「モノクロマチック画像」、「物質密度画像」である(図1)。


201710_voice_img_ct_01_02.jpg
図1-a: モノクロマチック画像(70keV)

201710_voice_img_ct_01_03.jpg
図1-b: 物質密度画像



GSIの利点としては、以下の2点が上げられると考えている。

1) Single Energy CTでも得られる画像を一層効果的に応用すること
・ 仮想単純CT画像
・ 造影剤強調
・ 造影剤減量

2) Single Energy CTでも得られない情報を応用すること
・ 物質密度画像
・ 実効原子番号解析 (eective-Z)



GSI Xtreamによる、デュアルエナジーのルーチン化
2017年8月、ワイドカバレージCTであるRevolution CTに、新しいデュアルエナジーである「GSI Xtream」が導入された。従来のGSIも様々な利点があったが、GSI Xtream導入後はその画像が非常にきれいであることが印象的であった。
技術的に最も大きな特長は、非常に優れた“日本品質の”3Dコリメーターを使用しているということである。これにより特に低管電圧時の散乱線は効率よく除去され、高画質に寄与している(図2)。


201710_voice_img_ct_01_04.jpg
図2: 3Dコリメーターによる散乱線除去効果



またデュアルエナジーの使用においては撮影の高速化も重要なポイントであり、GSI Xtreamでは80mmカバレージの撮影が可能になっている。通常、ワイドカバレージになるほどヒール効果等の影響でZ軸方向のCT値の均一性が悪くなることが考えられるが、GSI Xtreamでは、80mm内の均一性はCT値、ヨード密度値ともに極めて高く、スライス間のCT値のばらつきを抑えることができるため臨床使用には問題がないと 言える(図3)。


201710_voice_img_ct_01_05.jpg
図3: モノクロマチック・物質密度画像の均一性



また、被ばくについての検討は図4に示す。GSI Xtreamにより得られる画像は、通常CT検査と同じ線量において、同等画質を示しており、従来プロトコル(Single Energy)と同じ被ばく線量でデュアルエナジー撮影が可能になった。当院では、従来プロトコルが既に低被ばく撮影設定されているので、「低被ばくデュアルエナジー撮像が可能になった」と言える。


201710_voice_img_ct_01_06.jpg
図4: 従来線量下における画像SD被ばく



画像再構成時間に関しては大きなイノベーションが見られた。一般的にデュアルエナジーの画像再構成は時間がかかり、臨床ルーチン化の1つ障壁になっているが、GSI Xtreamでは、2500画像を58秒という驚異的なスピードで画像再構成を行うことが可能なため、ルーチンでGSIを撮像しても臨床現場に全く支障をきたさないことが確認できた。



GSI Xtream 臨床使用
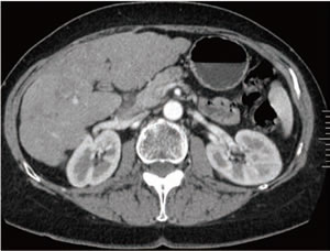
実際のGSI Xtream臨床画像を2例紹介する。
図5は、肝転移画像の比較で、以前使用していた16列CTとDiscovery CT750 HDでのシングルエナジー撮像画像、そしてRevolution CTのGSI Xtream 撮像画像を示したものである。GSI Xtream は低濃度コントラストの描出が優れている印象であり、前述したアーチファクト、ノイズ対策の恩恵が得られる部分である。



201710_voice_img_ct_01_07.jpg
図5: GSI Xtreamで撮影された臨床画像 1



図6は肝ダイナミック撮影を行ったシングルエナジー画像とGSIXtream画像の比較である。
肝実質に注目するとGSI Xtreamでは特に均質な印象を受ける。また、デュアルエナジーとシングルエナジーで被ばくはほとんど変わらないということも注目すべき点である。



201710_voice_img_ct_01_08.jpg
図6: GSI Xtreamで撮影された臨床画像 2



このように、モノクロマティック画像によりヨードコントラストが増強され、かつS/N、アーチファクトには問題ない画質を、低被ばくで得ることができており、前述した「Single Energy CTでも得られる画像を一層効果的に応用すること」を、現実として享受できている。



最後に
GSI Xtreamの登場により、デュアルエナジーがより身近な存在となった。被ばくが問題にならず、撮影から画像再構成までスループットが全く落ちないためすべての臨床検査に応用可能である。また、出力される画像の均一性が高く正確な定量が期待できる。

今後は新たな画像表示・新たな定量化も検討していきたい。




Cookie Preferences | Privacy Policy | California Privacy Policy | Terms and Conditions | Security


Copyright and trademark statement: © 2026 GE HealthCare. GE is a trademark of General Electric Company. Used under trademark license.