関連製品

RevolutionCT_gifuheart202_.jpg

Revolution CT

JB11616JA

※本カスタマーボイスはお客様の使用経験に基づく記載です。
製品の仕様値として保証するものではありません。


製造販売:GE ヘルスケア・ジャパン株式会社
販売名 マルチスライスCTスキャナ Revolution 医療機器認証番号:226ACBZX00011000
販売名 アドバンテージワークステーション 医療機器認証番号: 20600BZY00483000

当院におけるGSIの臨床活用方法

総合南東北病院
診療放射線科 白井 陽太 様



病院紹介
総合南東北病院は福島県郡山市に位置し、病床数461床の急性期地域中核病院として福島県内の医療において重要な役割を担っている。また、陽子線治療やBNCTなどの先進医療機器も導入されており、国内外からの患者も来院されている。
診療放射線科では診断部門・治療部門合わせて約100名の診療放射線技師が日々業務を行っている。診断部門では計4台のCT装置があり、2021年に1台がRevolution CTに更新された。



RevolutionCT_Minamitohoku01.jpg



はじめに
当院のCTはOptima660(64列)が3台, Revolution CT(256列)が1台の計4台で日々業務を行っているが、Revolution CTの導入とともに撮影可能となったDual energy CT(DECT)では異なるエネルギーでの撮影により、様々な情報を得ることできる。

本稿では、当院でのGSIの臨床活用方法について紹介する。


RevolutionCT_Minamitohoku02.jpg
Fig1, 当院のRevolutionCT



Dual Energy CTの活用について
基本的な運用としては、DECT撮影が必要な症例のみ撮影を行い、撮影オーダーの目的に主治医からの指示がある場合の撮影としている。また、一部(血栓回収術後の撮影)はルーチン化している。



■ 金属アーチファクトの低減
整形領域における術後の体内インプラントはSingle energy CT(以下、SECT)の撮影では、アーチファクトが多く発生し、診断の妨げになることが多々あった。金属アーチファクトの低減はMAR(Metal Artifact Reduction)の再構成で行うことができるが、金属辺縁の形状が変形するというデメリットもある。このデメリットを脊椎外科の医師よりDECTでの撮影で改善できないか依頼があり、撮影する運用に至った。
Fig2のように仮想単色X線画像にて70keVに比べ140keVの画像では、Axial画像・VR画像ともに金属の形状を保ちつつアーチファクトを大きく低減することができ、現在も撮影を適用している。


RevolutionCT_Minamitohoku03.jpg
Fig 2, 金属の形状保持を目的とした
高keVにおける金属アーチファクトの低減



■ 肺血栓/深部静脈血栓
肺動脈塞栓症例では、血栓の有無の評価を行うだけでなく肺野内の造影剤分布、つまりヨードマップを可視化できることがメリットである。Fig3のように造影CT画像とヨードマップ画像をFusionすることで肺動脈の形態や肺血流の評価を同時に評価することができる。また、ヨード画像では血栓が視覚的に診断しやすいとのことで臨床画像として提出している。また、深部静脈血栓では低エネルギー画像を作成することでコントラストの上昇が得られ、診断において有用な画像となっている。


RevolutionCT_Minamitohoku04.jpg
Fig3, 肺塞栓におけるMD画像、
下肢深部静脈血栓での低keV画像の有用性



■ 血栓回収後の出血と造影剤の鑑別
脳梗塞の血栓回収療法後は合併症として一部で脳出血をきたす場合があり、術後のSECTでは出血と造影剤の鑑別が難しくなる場合がある。Fig4は血栓回収療法後の術後CTをDECTで撮影した症例である。CT画像上所見があったが、水密度画像とヨード密度画像を再構成することでヨードであるということが診断でき、フォローのCTにおいて造影剤部分は消失していた。このように密度画像を用いることで、出血と造影剤の鑑別に非常に有用である。


RevolutionCT_Minamitohoku05.jpg
Fig4, 血栓回収療法後の出血の否定



■ Bone Marrow
脊椎圧迫骨折での症例では、骨髄内浮腫の検出を目的に撮影することがあり、水密度画像(Fig5)を作成することで急性期の圧迫骨折の評価を行っている。当院では、MRIが24時間撮影できる環境にあるが、DECTで評価できればMRIの代替検査となり得るため、MRIに比べ簡易的にCTで診断が可能となるため有用である。


RevolutionCT_Minamitohoku06.jpg
Fig5, 早期圧迫骨折の鑑別



■ 低keVの使用その① ~通常造影CTからのVR作成~
本来ダイナミックCTを行う目的であったが、患者の造影ラインの影響で造影剤の注入が予定より伸びてしまい、十分にCT値が得られなかったことがある。主治医の指示でこの症例(Fig6)はDECTで撮影しており低エネルギー画像を作成することで動脈相のようにVR画像を作成できた症例であった。50keVでは70keVと比べ約2倍、40keVでは70keVと比べ約3倍のCT値を得ることができ、不測の事態でフォローを行うことができた症例である。


RevolutionCT_Minamitohoku07.jpg
Fig6, 造影不良時の低keVにおけるCT値のリカバリー



■ 低keVの使用その② ~四肢系AVMの描出~
動静脈奇形や動静脈瘻の撮影では、ナイダスと呼ばれる異常血管網や動静脈シャントが原因で通常のCT-Angioの撮影では十分に撮影タイミングが得られないことがある。特に、四肢末梢血管に存在する血管は栄養血管が細く、側副血行路までの描出は困難な場合がある。Fig7は下肢AVMをDECTで撮影した症例である。50keVの仮想単色X線画像で再構成した場合、70keVと比較して末梢血管の描出を向上させることができた。


RevolutionCT_Minamitohoku08.jpg
Fig7, 低keVを用いてタイミングが難しいAVMの描出



Dual Energy CT その他の運用(応用編)
前述したルーチン撮影の他に以下のDECTを用いた撮影を行っている。

・頸動脈プラークの成分分析を行うための撮影
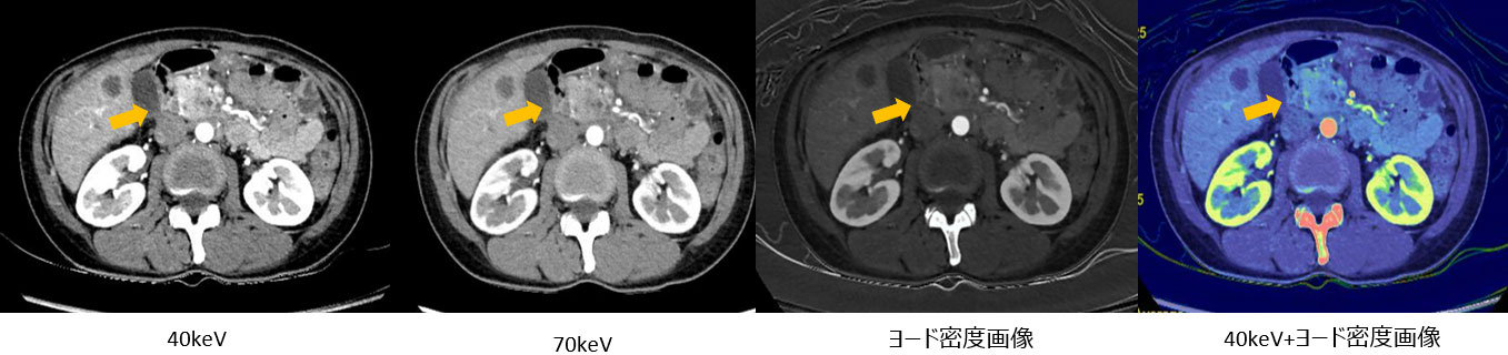
・早期膵臓腫瘍(Fig8) の描出を目的に低keV画像を用いた撮影
・頭部血管のコイル術後のエネルギーサブトラクション法での撮影等

症例数は少ないが放射線科医師と相談し他施設の撮影方法を参考にしながら臨床に有用な画像の提供を行っている。


RevolutionCT_Minamitohoku09.jpg
Fig8, 低keVを用いた早期膵腫瘍の描出



さいごに
Dual energy CTの撮影であるGSIで撮影された画像は、仮想単色X線画像、密度画像など様々な画像を用いることでSECTでは得られない臨床に有用な情報を提供することができる。ただ、提供する画像の持つ意味合いを主治医が解釈することが必要であり、運用前には主治医や放射線科医等とのディスカッションを十分にすべきである。
GSIで撮影された画像の持つポテンシャルを十分に発揮できるよう今後も研鑽していきたいと考えている。また、様々な施設でのGSI症例を集約していくことで今後の標準的な画像診断手法の一つとなることを期待している。




Cookie Preferences | Privacy Policy | California Privacy Policy | Terms and Conditions | Security


Copyright and trademark statement: © 2026 GE HealthCare. GE is a trademark of General Electric Company. Used under trademark license.