関連製品

RevolutionCT_gifuheart202_.jpg

Revolution CT

JB09270JA

※本カスタマーボイスはお客様の使用経験に基づく記載です。
製品の仕様値として保証するものではありません。


製造販売:GE ヘルスケア・ジャパン株式会社
販売名 マルチスライスCTスキャナ Revolution 医療機器認証番号:226ACBZX00011000
販売名 アドバンテージワークステーション 医療機器認証番号: 20600BZY00483000

Revolution CTのフル活用
ー複数装置を有する中でー

地方独立行政法人 佐世保市総合医療センター
放射線室 佐々木 淳一 様



病院紹介
佐世保市総合医療センターは、佐世保市の中心に位置し、診療科31科、病床数594床を有する長崎県北部における中核病院である。救命救急センター、地域周産期母子医療センター、高次脳卒中センター、地域災害拠点病院、がんゲノム医療連携病院など、高度専門医療機能を有している。
「地域の基幹病院として、高度な総合医療を提供するとともに、明日を担う医療人を育成する」を基本理念として日々の業務に努めている。


RevolutionCT_Sasebo01.jpg
図1. 病院外観



機種選定理由
本CT装置の選定にあたり、放射線科医と慎重に選定を行った。一番の選定条件は当院既存のCTに有しない機能であるDual Energy撮影と、大幅な被ばく低減機能を有することであった。Revolution CTでは臨床現場においてフルでDual Energy撮影を行うことができ、 True Fidelity Imaging(TFI)により大幅な被ばく低減が可能となる。さらに、ワイドカバレッジを有しており、頭部や心臓を被ばく低減をしながら1回転で撮影できることも、最終的に選定に至った理由である。


RevolutionCT_Sasebo02.jpg
図2. CT室の皆様



冠動脈CT
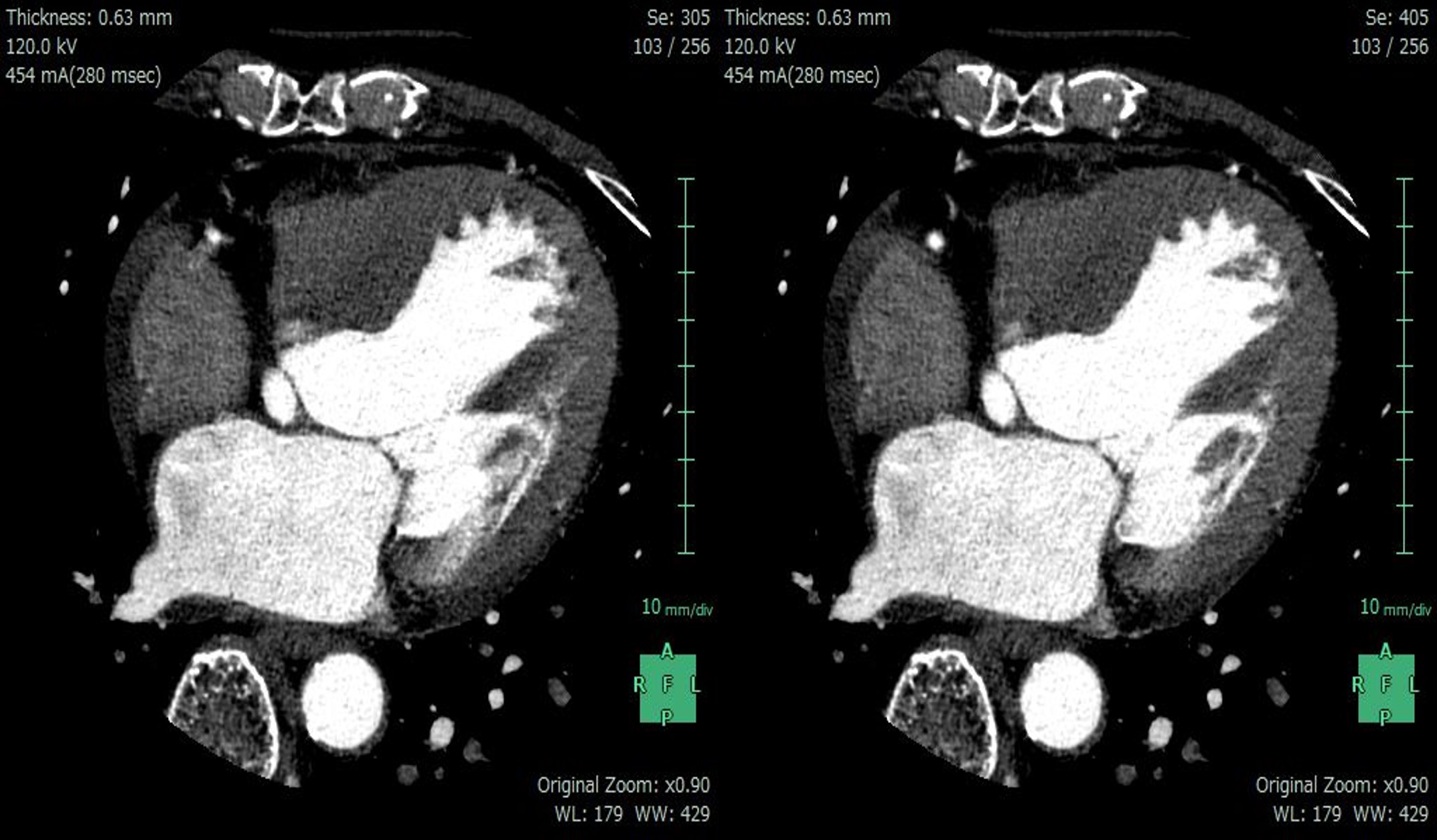
当院ではRevolution CTの他に他社ワイドカバレッジCTを導入しているが、CABG後を除きその殆どをRevolution CTで検査実施している。Revolution CTではSmart Phase(最適心位相探し)とSSF2.0(冠動脈および心臓全体静止アルゴリズム)を併用することで,80%以上の症例で最適心位相の検索が不要となり,撮影後のスループットが大幅に向上している。解析不能例は殆どないが、解析不能の原因としては造影コントラスト不良例のみである(図3) 。 実際の画像もほとんどの症例において冠動脈を静止できており、高HR症例や既存装置で苦慮していたHR70付近の症例でも、1心拍のみの撮影でしっかりと冠動脈を静止できている(図4) 。また、多少の息止め不良患者においても、冠動脈の動きは大幅に改善され安定した画像を提供できており、SSF2.0には大きな信頼を置いている。
 このように、SSF2.0のおかげでよほどのことがない限り複数心拍での撮影は不要であり、同時にTFIを併用することで大きな被ばく低減を可能としている。


RevolutionCT_Sasebo03.jpg
図3. 当院の冠動脈CT再構成の実際


RevolutionCT_Sasebo04.jpg
図4. SSF2.0(左:OFF,右:ON)HR:90



Dual Energy
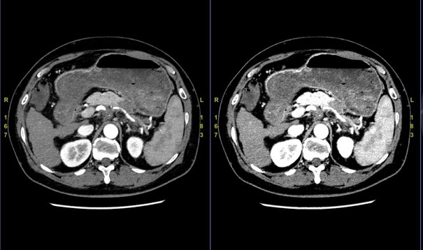
当院では肝胆膵におけるダイナミック検査は全例GSIによるDual Energy撮影を行っている。特に胆膵の腫瘍はコントラストに乏しいことがあるため、Monochromatic imageにおける低keV画像による読影は有用である。(図5)のように乏血性膵がんは低keV画像を用いることにより、腫瘍領域や脈管への浸潤が明瞭となる。
実際のGSI画像読影については読影医がAW Serverにて実施しており、当院ではGSIで撮影した際には全例1.25mmのGSIデータファイルをAW serverへ自動転送している。当院でのGSI画像読影では50keV画像とIodine mapを診る頻度が高く、AW ServerでのGSI画像専用の画像表示レイアウトを作成することで読影医がワンクリックでストレスなく読影できる環境を整えている。(図6)
その他にも、副腎腺腫や脂肪肝の脂肪検出、肺塞栓におけるIodine color map、腎機能不良による造影剤量低減やルート確保が困難な患者に低注入レートで撮影を行う際にも、GSIは非常に有用である。


RevolutionCT_Sasebo05.jpg
図5. GSIによる膵がんの臨床画像
(左:70keV,右:50keV)


RevolutionCT_Sasebo06.jpg
図6. 読影医のAWレイアウト(例)



TFIでの被ばく低減
先に述べた様に、本装置を導入した理由の一つは被ばく低減が可能なことである。TFIは逐次近似再構成でよくある画像の違和感が殆どなく、導入初期から殆どの部位で臨床使用できており、読影医よりクレームもなく現在の運用に至っている。それはNPSを見ても形状の変化やピークシフトがなく、一目瞭然である(図7)。特に中から高コントラスト領域では画質の劣化が殆どないため、造影検査では特に有用であると考えている。
実際に更新前の装置と比べると、CTDIは大幅に減少しておりDRLs2020においてほとんどの部位で約半分の線量で撮影できている(図8)。これはRevolution CTに実装されている3Dコリメータによる散乱線低減により、既存CTと比べ低線量での検査実施が可能となっている事、さらにTFIをルーチンで使用できていることが大きな要因であると考えられる。
特に冠動脈CTでは、SSF2.0により安定して冠動脈の静止画像が得られていることから、よほどのことない限り複数心拍での撮影が不要となっている。したがって、DRLs2020より大幅に低い線量で撮影が可能となっており、本装置を導入したメリットは大きいと感じている。


RevolutionCT_Sasebo07.jpg
図7. NPS(radial frequency法 )


RevolutionCT_Sasebo08.jpg
図8. DRLs2020と当院の線量比較



最後に
当院では、 Dual Energy撮影と大幅な被ばく低減機能を有することよりRevolution CTを導入した。Revolution CTでは低被ばく・高速撮影・ワイドカバレッジ・ GSI・AI技術等を網羅し、これまで臨床現場で有していた様々な課題の解決に貢献している。導入時の期待通りTFIによる低被ばく検査の実現、GSIによる造影剤低減や造影剤コントラストの向上はもちろんだが、冠動脈CTでのsmart PhaseやSSF2.0によるワークフローの向上は、タスクシフトを進めている当院での貢献度は大きい。今後もRevolution CTの技術の更なる進化に期待し、それらを使いこなせるように我々も進化していきたい。




Cookie Preferences | Privacy Policy | California Privacy Policy | Terms and Conditions | Security


Copyright and trademark statement: © 2026 GE HealthCare. GE is a trademark of General Electric Company. Used under trademark license.