関連製品

RevolutionCT_gifuheart202_.jpg

Revolution CT

JB12113JA

※本カスタマーボイスはお客様の使用経験に基づく記載です。
製品の仕様値として保証するものではありません。


製造販売:GE ヘルスケア・ジャパン株式会社
販売名 マルチスライスCTスキャナ Revolution 医療機器認証番号:226ACBZX00011000
販売名 アドバンテージワークステーション 医療機器認証番号: 20600BZY00483000

循環器専門病院における
モーションアーチファクト
抑制アルゴリズムの恩恵

医療法人 澄心会 岐阜ハートセンター
放射線科 主任放射線技師 坂倉 徳哉 様



施設紹介
岐阜ハートセンターは2009年に循環器専門病院として開院し、24時間体制で循環器における救急医療を提供しています。また当院はヘリポートを完備しており、ドクターヘリでの救急搬入は岐阜県全域という広い範囲をカバーしています。
当院は、循環器疾患全般の治療を最高水準の医療をもって提供できるように専門のスタッフが日々奮闘しています。その中でも特に CT は循環器医療では必要不可欠なモダリティであり、当院では CT 1台で1日平均15~20件の心臓 CT を、また20~30件の単純 CT を施行しています。
そのような環境を受け、2024年5月に既存 CT 装置を Revolution CT へと更新することになりました。機種選定のポイントの1つとして、年々増加する CT 件数とそれに伴う業務量の増加を、Revolution CT の導入により改善することを期待したことが挙げられます。
この記事では新しく導入された当院での Revolution CT の活用方法をご紹介していきます。


RevolutionCT_gifuheart01.jpg



冠動脈評価の変化
Revolution CT 導入以前は、長きにわたり128列 MDCT を使用してきました。安定した心拍では問題なくスムーズに検査できていましたが、高心拍や不整脈症例の場合には静止画像を得るために最適心位相の検索に時間を費やしたり、Segment 分割再構成や ECG Editor などを活用してモーションアーチファクト対策をしたりと技師の負担が大きくなっていました。
しかし Revolution CT を導入してからは、0.28秒というローテーションスピードで以前よりも時間分解能が向上したことと、自動で最適心位相を検索する SmartPhase とモーションアーチファクトを強力に低減させる SnapShot Freeze2.0 (以下 SSF2.0) の併用により高精度な静止画像を取得することが可能となりました。
それにより技師はどんな心拍状況に対しても臆することなく撮影に挑むことができ、撮影後も最適心位相の検索作業の負担が大きく軽減しました。
また、以前と比べ厳重な心拍コントロールがほとんど不要となり、βブロッカーの使用頻度が半減したことで、薬効を待つ時間も短縮されました。これにより導入前までは心臓 CT 1検査当たりの入室から退室までの時間が15分程度かかっていたのが、導入後は6~10分程度となり CT 室の回転率の向上と患者様の待ち時間の軽減にも大いに役立っています。(Fig.1)


RevolutionCT_gifuheart02.jpg
Fig.1 午後半日の検査実績 (赤:造影 / 青:単純)



現場でのSSF2.0の使用感について
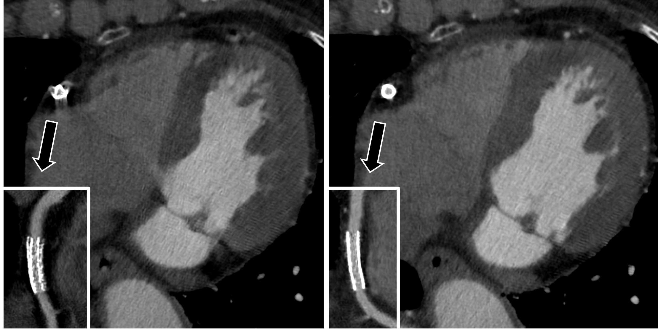
長い間マニュアルでの最適心位相検索を経験してきた我々にとって、SmartPhase と SSF2.0 の性能については正直なところ半信半疑でしたが、実際に使用してみるとその効果は想像以上のものであり、90%以上の症例で完全静止画像が得られていることが実感できました。(Fig.2)
2つの機能が安心して使用できると分かった今では、撮影後に SmartPhase と SSF2.0 の処理を自動化しておくことですぐに画像解析を始められるようになり CT 室のスループットが大幅に改善したと実感しています。
また、当院の特徴としては SSF2.0 を2台導入して SSF2.0 の解析時間短縮を図っていることが挙げられます。
SSF2.0 は1つの解析につき約6分を必要としますが、4D弁解析のように5%毎に画像を用意するときには 6分 x 20Phase で約2時間もかかってしまいます。
しかし当院では2台導入したことにより解析待ち時間を半減させることができ、また緊急用に1台空けておくなどといった工夫もできるため2台導入の意義は大きかったと実感しています。


RevolutionCT_gifuheart03.jpgFig.2 冠動脈における SSF2.0 の活用 (左 SSF2.0 オフ / 右 SSF2.0 オン)



SHD(Structural Heart Disease)治療における弁評価の変化

◆TAVI (Transcatheter Aortic Valve Implantation) 前
既存装置では R-R 10~30% の駆出期の静止画像を得ることが困難なケースが散見されました。従って、大動脈弁が最も開放している画像よりもモーションアーチファクトが少ない画像を選択しなければならないことが多く、R-R 25~40% 辺りの心位相で大動脈弁複合体の計測を行っていました。
しかし、SSF2.0 が導入されてからは0%から100%を5%刻みで再構成した上で最も大動脈弁が開いている心位相で弁計測 (真の最大弁輪径) することが可能になりました。
また、SSF2.0 の恩恵で弁の 4D 描写が可能となり、大動脈弁尖の石灰化癒合による二尖弁なのか高度石灰化による三尖弁かどうかが鑑別できるようになりました。TAVI を施行するにあたり二尖弁か三尖弁で計測方法や計測箇所も変わってくるため、弁観察における SSF2.0 の恩恵は実臨床においても大きいと実感しており、当院の医師からも安心して手技に挑めると評価をいただいています。


RevolutionCT_gifuheart04.jpg
Fig.3 二尖弁と鑑別できた大動脈弁4D画像



◆TAVI 後
TAVI 後の CT は拡張期で人工弁が閉じている心位相を検索しますが、メタルアーチファクトやモーションアーチファクトの影響により血栓弁 (HALT) との鑑別が難しいことがあります。
しかし SSF2.0 を使用してからはほとんどアーチファクトのない画像を作成することが出来るようになり、とても診断がしやすくなりました。(Fig.4)


RevolutionCT_gifuheart05.jpg
Fig.4 HALT 症例における SSF2.0 の活用 (上段 SSF2.0 オフ / 下段 SSF2.0 オン)



◆TEER (Transcatheter Edge-to-Edge Repair) 術前
今までは僧帽弁の 4D 画像は経食エコーでしか確認することが出来ませんでしたが、SSF2.0 を導入してからは、従来施行していた術前評価に加えて僧帽弁の 4D 画像もルーチンで作成することになりました。
SSF2.0 の恩恵でモーションアーチファクトがなくなり、僧帽弁逸脱のケースにおいても術前に逸脱した僧帽弁のイメージを分かりやすく術者へ伝えることが可能になりました。(Fig.5)


RevolutionCT_gifuheart06.jpg
Fig.5 僧帽弁逸脱に伴う僧帽弁閉鎖不全症の4D画像 (右は同一症例エコー画像)



最後に
Revolution CT 導入以前は業務量の多さから時間外勤務が多くなり問題になっていましたが、Revolution CT を導入してからは、ほとんどの解析処理が業務時間内に完了できるようになり働き方改革の一助になったと我々は実感しています。
今後はこの装置のメリットをより多くの患者さまに提供できるよう努めて参りたいと思っています。


RevolutionCT_gifuheart07.jpg




Cookie Preferences | Privacy Policy | California Privacy Policy | Terms and Conditions | Security


Copyright and trademark statement: © 2026 GE HealthCare. GE is a trademark of General Electric Company. Used under trademark license.