関連製品

RevolutionCT_gifuheart202_.jpg

Revolution CT

JB08667JA

※本カスタマーボイスはお客様の使用経験に基づく記載です。
製品の仕様値として保証するものではありません。


製造販売:GE ヘルスケア・ジャパン株式会社
販売名 マルチスライスCTスキャナ Revolution 医療機器認証番号:226ACBZX00011000
販売名 アドバンテージワークステーション 医療機器認証番号: 20600BZY00483000

Revolution CTがもたらした冠動脈CT運用の変化
~βブロッカー不使用と専用予約枠の撤廃~

医療法人社団善仁会 小山記念病院
画像検査科 門井 智博 先生



病院紹介
小山記念病院は、昭和44年に小山病院として開院し、現在は茨城県鹿嶋市にある地域の中核病院となり、227床の総合病院として地域医療の充実と高度医療の提供を目指している。救急2次指定病院に指定されており、急性期患者さんの受け入れから慢性疾患のフォローアップまで幅広い医療を提供している。
当院は、健康管理センターを併設しており 、人間ドックや各種健診も行っている。また、介護老人保健施設や特別養護老人ホームなどの関連施設も運営しており、地域の方々の健康と福祉に貢献している。


RevolutionCT_koyamakinen01.jpg
Fig1. 病院外観



Revolution CT導入による冠動脈CT検査の変化
当院では、2021年4月にGE HealthCare製のRevolution CTを導入した。256列の検出器とSnapShot Freeze2.0(以下、SSF2.0と記載する)により、冠動脈CT検査において撮影ワークフローと画像の質が大幅に向上した。
SSF2.0の技術紹介およびこの装置の導入によって得られた下記メリットについて紹介する。

①撮影時間の短縮と被ばく低減
②SSF2.0によるアーチファクト低減と画像処理の容易化
③最適心位相検索の自動化による検査ワークフロー向上
④冠動脈CTの検査数増加


RevolutionCT_koyamakinen02.jpg
Fig2. GE HealthCare製256列CT Revolution CT



SnapShot Freeze2.0について
従来のSnapShot Freezeに比べ、SnapShot Freeze2.0は冠動脈だけでなく心臓全体の動きの補正が可能となった。
ターゲット位相とその前後の計3つのデータセットによるベクトル動態解析を⾏うことにより,各冠動脈の速度、移動⽅向などを検出・補正し、最終的にモーションアーチファクトが抑制された冠動脈静止画像を再構成することが可能である。回転速度が0.28秒の場合、SSF2.0を使用すると回転速度が0.058秒相当、有効時間分解能は0.029秒以下を達成する。(Fig3 )
Revolution CTとSSF2.0を組み合わせることで1回転で心臓全体を撮影することが可能であり、モーションアーチファクトが抑制された画像を取得可能である。


RevolutionCT_koyamakinen03.jpg
Fig3. SnapShot Freeze2.0



① 撮影時間の短縮と被ばく低減
当院で以前使用していた64列検出器のCT装置と比べ、Revolution CTでは撮影時間が短縮され、被ばく量も低減された。冠動脈CT撮影において、64列検出器のCT装置では1回の撮影に10秒以上かかるのに対し、Revolution CTでは数秒で終えることができる。これにより、患者さんの負担を軽減することができ、被ばく線量も低減する(Fig4)。


RevolutionCT_koyamakinen04.jpg
Fig4. 当院の冠動脈CTにおける被ばく線量



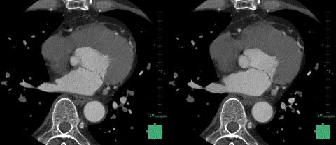
② SSF2.0によるアーチファクト低減と画像処理の容易化
SSF2.0はGE HealthCare社の最新の心臓CT画像動態補正技術である。前述した通り心臓全体の動き補正が可能な技術で、画像の動きをトラッキングし、モーションアーチファクトが抑制された静止画像を構築する。これにより、高心拍や不整脈の患者でも、高品質な心臓CT画像が得られる。SSF2.0は、冠動脈や大動脈弁、僧帽弁などの心構造疾患の診断や治療において、有用な情報を提供することができる。
当院では、SSF2.0を導入したことで補正後の画像では冠動脈を含むブレが低減され、VR等の画像処理が容易となり画像処理にかける時間を大幅に短縮することができた(Fig5,6)。


RevolutionCT_koyamakinen05.jpg
Fig5. SSF2.0 On/Offの比較


RevolutionCT_koyamakinen06.jpg
Fig6. VR画像およびMPR画像



③ 最適心位相検索の自動化による検査ワークフロー向上
当院では、アブレーション治療の手術支援画像として肺静脈造影CTを行っている。
その際に、しばしば冠動脈も同時に撮影を依頼されることがある。この場合、必然的に不整脈患者が対象となるため、安定した心拍で撮影することができず、画像再構成のための心位相検索が技師の大きな負担となる。今回導入したRevolution CTにはSmartPhaseという自動的に最適な心位相を自動的に検索を行う機能が搭載されている 。SmartPhaseは、指定した心位相範囲を2%間隔で画像再構成し、各冠動脈の動きを分析する。その中でモーションアーチファクトが小さい心位相を自動的に選択し、画像を作成する。この機能により、従来技師が行っていた心位相検索が、自動かつ高精度で行われることで、技師の負担と冠動脈CT検査のハードルが大幅に低くなった。
さらに、前述したSSF2.0と組み合わせて使用することができるため、技師の負担軽減と良好な画像の作成の両立が可能となった(Fig7)。


RevolutionCT_koyamakinen07.jpg
Fig7. 不整脈患者に用いたSmart Phaseの再構成画像



④ 冠動脈CTの検査数増加
以上のように、不整脈や高心拍患者においてもブレの少ない良好な画像が得られることから、当院では前処置として行っていたβブロッカーを全例で不使用とした。さらに撮影から画像再構成までが簡略化されたため、1検査当たりの検査時間が大幅に短縮し、冠動脈専用として設けていた検査枠を撤廃し運用することが可能となった。従来は、火・水曜日に1週間当たりの専用枠として5枠を設けていた。2023年より専用枠を撤廃し、さらに当日飛び込み検査の受け入れも行うようになった。その結果、2023年の冠動脈CTの検査数は2020年の検査数の約1.9倍ほどに増加した(Fig8)。新装置導入に伴い検査数は増加したが、撮影・画像再構成・画像処理が簡略化されたため、技師の負担が増えることなく、むしろ以前より冠動脈の検査が容易になっている。


RevolutionCT_koyamakinen08.jpg
Fig8. 心臓CT検査数の変化 (検査総数/1カ月当たりの検査数)


総括
このようにRevolution CTの導入により当院の冠動脈CTの質と効率性を向上させることができた。今後もこの装置を活用して、より高度な画像診断サービスを提供していきたいと考えている。




Cookie Preferences | Privacy Policy | California Privacy Policy | Terms and Conditions | Security


Copyright and trademark statement: © 2026 GE HealthCare. GE is a trademark of General Electric Company. Used under trademark license.