関連製品

RevolutionCT_gifuheart202_.jpg

Revolution CT

JB55134JA

※本カスタマーボイスはお客様の使用経験に基づく記載です。
製品の仕様値として保証するものではありません。


製造販売:GE ヘルスケア・ジャパン株式会社
販売名 マルチスライスCTスキャナ Revolution 医療機器認証番号:226ACBZX00011000
販売名 アドバンテージワークステーション 医療機器認証番号: 20600BZY00483000

Revolution CTを使用した心臓CT検査の恩恵 ~従来と比較して~

日本海総合病院 副院長 放射線科
内村 文昭 先生



はじめに


201708_voice_img_ct_01_01.jpg
日本海総合病院



山形県酒田市に位置する当院は、計27診療科、646床を有しており、山形県庄内地域並びに秋田県南部の25万人の三次救急・専門医療を担う急性期病院である。高度先進医療の取組みとして、救命救急センター、PETセンター、ハイブリッド手術室等を有しており、放射線科では放射線診断専門医4名と放射線治療専門医1名の計5名と、診療放射線技師29名が画像診断・IVR・核医学検査・放射線治療を受け持っている。
CTは、以前は64列CTと山形県で初めての320列CTの2台体制で年間約25,000例の検査を行っていたが、2017年にGE Healthcare社製Revolution CTを64列のCTに変更して導入した。
本稿ではRevolution CTの初期使用経験を報告する。



Key words
・従来比で心臓CTの画質の向上
・Smart Cardiac により、満足な画質と高いスループットを実現
・技師の経験によらず安定した画質取得
・心臓CTを救急時間帯へも拡大検討


201708_voice_img_ct_01_07.jpg


Revolution CTの特長
Revolution CTは従来のADCTと同じカバレージではあるが、画質が大きく改善されている。
一般的にワイドカバレージにより問題になるのは散乱線の影響、Z軸方向CT値均一性、ビームハードニングそしてコーンビームアーチファクト等であるが、Revolution CTでは、3DコリメーターによるXYZ軸方向の散乱線除去、新しいアルゴリズムであるVolume High Definition(VHD)リコン、Multi Material Artifact Reduction(MMAR)によって非常に高精度な画像を提供することができる。
また逐次近似再構成の代表であるASiRをさらに強化したASiR-Vを搭載しており、これにより従来よりもノイズを低減し画質を向上している。 (図1)


201708_voice_img_ct_01_02.jpg
図1:Revolution CTの特長



Smart Cardiac機能の恩恵
当院では、週に20件程度心臓CT検査の撮影があり、PCI、TAVI等の治療に使用する画像情報を提供している。320列ADCT導入当初より心臓CT検査を行っていたが、Revolution CTの導入によりさらに簡便に行えるようになった。
Revolution CTにはSmart Cardiacテクノロジーが搭載されている。(図2)これは、撮影から最適位相検索まで、心拍数に依存せず 1心拍の情報からアウトプットまで可能にする技術である。
従来も同じような機能を有していたが、それだけでは満足のいく画像を得ることができなかった。Revolution CTのSmart Cardiac機能により、心臓CTの経験が少ない技師でも安定して高い画質を得ることができるようになったのは非常に大きい恩恵である。また、心臓CT撮影が終わり患者が部屋を退出している間に心臓CTの解析までがほぼ終了しているため、スループットが大きく向上した。


201708_voice_img_ct_01_03.jpg
図2:Smart Cardiac 機能



Smart Cardiacによる症例
下記の3症例を、図に示す。


201708_voice_img_ct_01_04.jpg
症例1) 60歳台 男性
腹部大動脈瘤に対するEVAR術前の検査
大動脈瘤術前検討の3D-CTAに加えて、冠動脈のスクリーニングを目的にCT検査を施行した。
冠動脈狭窄が認められないことが容易に判定できる。


201708_voice_img_ct_01_05.jpg
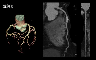
症例2) 70歳台 男性
他院でのLAD STENT治療後の状況でASOがあり冠動脈評価のためにCTを施行した。
STENT狭窄が無いことがわかりやすい。


201708_voice_img_ct_01_06.jpg
症例3) 70歳台 男性
大動脈弁狭窄症 及び 狭心症
術前の検査でTAVIやPCIの検討のためCTを施行した。
従来冠動脈の石灰化が著しい例では冠動脈CTの意義は低いとされていたが、石灰化が強い例でも明瞭な冠動脈の描出がなされれば、意義のある検査となることが視覚的にもわかりやすい例である。



最後に
Revolution CTの導入は当院における心臓CTの対応を大きく変えるきっかけとなった。Revolution CTはほぼ自動で心臓CT撮影から最適心位相アウトプットまでを行う事が可能なCTである。通常心臓CT検査は放射線技師の経験に依存する事が多いが、このSmart Cardiacのポテンシャルの高さから、高い画質を維持したままアウトプットを可能にしている。 現場のスタッフの負担が少なくなっただけでなく、患者には従来よりも早く結果を提供出来て治療への対策を行う事は大きな意味があり、やはり最大のメリットは患者に素早く心臓CTの結果を提供出来る事である。
更なる高齢化社会の中で 冠動脈の石灰化を有する患者に対しても検査を遂行できる面もあり、今後は救急患者を含めて対象の拡大に役立つ可能性が大いにあるものと思われる。




Cookie Preferences | Privacy Policy | California Privacy Policy | Terms and Conditions | Security


Copyright and trademark statement: © 2026 GE HealthCare. GE is a trademark of General Electric Company. Used under trademark license.