関連製品

act_herodt.jpg

Revolution ACT

JB11617JA

※本カスタマーボイスはお客様の使用経験に基づく記載です。
製品の仕様値として保証するものではありません。


販売名称:全身用X線CT診断装置 Revolution ACT
医療機器認証番号: 228ACBZX00005000
販売名称:汎用超音波画像診断装置 Vivid T8 類型:Vivid T9
医療機器認証番号: 226ABBZX00081000

開業に伴う16列CTの導入について

とみおかハートクリニック
院長 數藤 久美子 先生



はじめに
当クリニックは、「ホームドクター」として身近な医療を提供できるクリニックを開設したいという想いと緊密な病診連携を実現すべく、徳島県阿南市富岡商店街にありました 「うどん屋福助」を改装し、2024年8月に開院しました。
私たちは、生活習慣病をメインに皆様の病気、体の悩み、健康維持や増進の為に出来るだけのサポートを提供したいと考えております。また母としての視点から子育て世代に寄り添う医院として、お子さまにも配慮した医療を心がけていきます。ひとり一人の患者さんと真摯に向き合い、より幅広く患者さんの要望にお応えし、かかりつけ医として信頼されるように努めています。


RevolusionACT_Tomiokahc01.jpg
とみおかハートクリニック 外観


RevolusionACT_Tomiokahc02.jpg
とみおかハートクリニック 受付 待合室



小型と省エネがCT導入のきっかけに
もともとはCTを入れるという話はありませんでした。うどん屋さんであったこの建物を流用したときにやはりスペース的に厳しかったのです。
ただ近隣のクリニックにCTが少なかったこともあり検討は進めておりました。
検査機器の中で超音波診断装置はGEヘルスケア社製の Vivid T9とVersana Activeにすることを決めていたので、そのつながりでCTについてお話しを聞いたときに小型でなお且つ低電力で高画質であるRevolution ACTに魅力を感じました。CTを導入すれば、自分の理想とするクリニックのコンセプトに大きく役立つと思え、今回導入に踏み切りました。またCT・レントゲン室は私のこだわりで徳島県の太平洋をイメージしてブルーにしました。どうしても CT検査は患者さんにとって緊張するものですが、それを和らげる意味でも海に浮いている感じをイメージし、リラックスして検査に臨んでいただけるよう配慮を行っております。


RevolusionACT_Tomiokahc03.jpg
CT室の外観 GEヘルスケア社製 Revolution ACT
(小さくて患者様に圧迫感の無い丸みの優しい デザインになっていると思います)


RevolusionACT_Tomiokahc04.jpg
心臓専門 超音波画像診断機器 GEヘルスケア社製 Vivid T9



Revolution ACTを導入して
GEヘルスケア製のRevolution ACTはとても小型で低電力にもかかわらず、ショートジオメトリ設計のおかげで小さな2.0MHUX線管球でも十分なパフォーマンスを発揮してくれます、また逐次近似再構成法(ASiR)を搭載した16列のマルチスライスCTであるため高速かつ高画質な画像を得ることのできる CT 装置です。
操作性もとても簡単で頭部検査においてはOMLに合わせてガントリーチルトとさせる事なく装置が自動でOMLに合わせた画像を作ってくれるSmart Plan+digital Tilt機能がありとても簡単です。もちろん患者さんによっては角度、スライス位置がズレる場合がありますのでその時はボリュームで撮影しているので本体標準のワークステーション機能で簡単に修正可能です。Smart Planは頭部だけでなく胸部、腹部の撮影においても位置決め画像から自動で撮影範囲を決めてくれる機能です。
また事前にプロトコル設定を行うことで後は、数クリックで検査を実施でき診察の合間の限られた時間でも簡単に撮影することができます。画像処理能力も高いので、放射線科がいない当院でも前述のワークステーション機能で任意断面の画像構築や3D画像なども含む質の高いCT検査を実施することが可能となりました。
まだ開業して4カ月弱ですが、約100人の患者さんを撮像しました。CTがあることを知って来院してくださる患者さんもおり、呼吸器疾患や検診の二次検査で来院された患者さんなどにCT検査を実施しています。その結果、循環器領域における血管の石灰化や動脈硬化、レントゲンだけでは診断の難しかった悪性疾患やさまざまな感染症などの診断が可能になるなど、診断精度が大いに向上しました。


RevolusionACT_Tomiokahc05.jpg
Revolution ACTの操作コンソール画面 -ダイレクトMPR-
撮影と同時にダイレクトMPRが起動し、横断像だけでなく自動で矢状断、冠状断の画像を得ることができます。



最後に
「病気を診るのではなく患者さんを診る。ベターではなく『ベスト』を」という考え方を診療の理念・指針にしています。従って診療では、病気の診断はもちろん発症原因やその方の生活背景の理解にも努めていて、患者様とのコミュニケーションを大切にしています。
医療機関へ行くと緊張し、話したいことを十分に話せない患者様も少なくありませんので、病気と関係のない話も気兼ねなくできるよう、なるべくフレンドリーな雰囲気づくりを心がけています。加えて、病気の状態を見極めてこそ適切な選択ができ、患者さんの命を救うことにつながるかもしれない。そこがベターとベストの違いと捉え、一人ひとりにとって最良の医療の実現をめざしています。最新の医療機器による診断が必要な人を見極めて必要な人に必要な医療を行えるように努力を続けていきます。


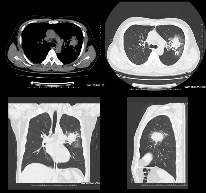
RevolusionACT_Tomiokahc06.jpg
症例名:肺がんを見つけた症例
症例コメント:数カ月間痰が続き、体重も減少してきたため精査目的で受診された40歳代男性症例。
左上葉に腫瘤を認め、縦隔リンパ節も腫大しており、専門機関に紹介。肺癌疑いで精査加療を行ってもらっている。
CT検査により迅速な治療に移行できた症例。

撮影条件 1sec/rot HP1.75 200mA ASiR30%
撮影時間 10.43秒




Cookie Preferences | Privacy Policy | California Privacy Policy | Terms and Conditions | Security


Copyright and trademark statement: © 2026 GE HealthCare. GE is a trademark of General Electric Company. Used under trademark license.