関連製品

act_herodt.jpg

Revolution ACT

JB54066JA

※本カスタマーボイスはお客様の使用経験に基づく記載です。
製品の仕様値として保証するものではありません。


販売名称:全身用X線CT診断装置 Revolution ACT
医療機器認証番号: 228ACBZX00005000

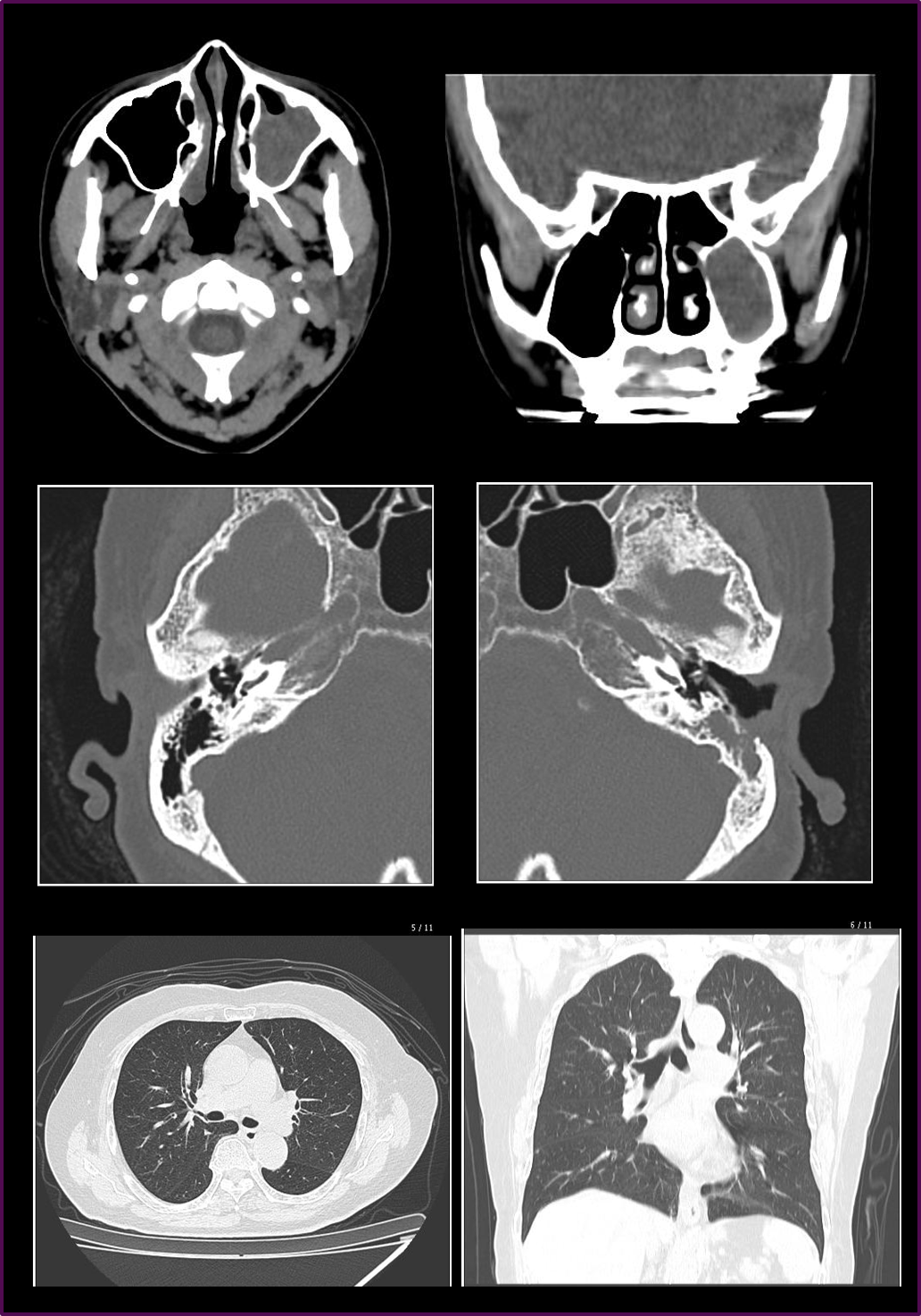
高画質で、作成が容易なMPR画像

おたるイアクリニック
院長 鈴木 敏夫 先生



医療法人社団潮乃音 耳鼻咽喉科おたるイアクリニックの鈴木敏夫院長にオンサイト・インタビューを実施し、ご導入いただいたRevolution ACTの購入経緯や臨床経験を伺いました。


CT装置更新の経緯を教えてください。
当院は開業して25年になり、開院時から使用していたGE社製LuminexというシングルスライスCTは約10年使用しました。

2代目のCTは、GE社製ProSpeed FIIというデュアルスライスCTでこちらは約15年間使用しました。このProSpeed FIIは、 装置の老朽化、そしてサービスパーツなどの入手が困難になりつつある、と聞いたので、装置更新を検討を始めました。

スペックに関しては、コストパフォーマンスを考えると 16チャンネルCTが妥当かと思い、主要CTメーカーに声をかけました。


cv_otaru_01.png
おたるイアクリニック
Revolution ACTと鈴木院長



CT装置選定から導入までの背景を教えてください。
国産CTメーカー2社とGE社の三つ巴の形になりましたが、最終的には、CTの根幹である「画質」を重視して、その他主要機能と価格のバランスを考慮してGE社のRevolution ACT を選定しました。また開業してから長年GE社製のCTを使用していましたので、装置への「慣れ」というのも考慮しました。

画質や「装置への慣れ」に繋がる話ですが、私は開業する前からGE社製CTとの付き合いがあり、大学病院勤務時代にGE社製CT9800というCT装置に 出会ったのが何よりも大きいです。ご存知の方もいるかと思いますが、当時、CT9800というCT装置は知る人ぞ知る名機であり、他社の追従を許さなかった本当に圧倒的な画質とパフォーマンスを誇るCTでした。そして、当時の臨床医では珍しい部類と思うのですが、私はこのCT9800を使用しての学術論文を作成したことがあります。

高画質なCT画像が臨床的診断・治療に直結する ことを経験し、その経験がGE社のCTを選定した理由かもしれません。

話がそれましたが、その当時からGE=画質というイメージを持っていますし、今のRevolution ACTの画質もGEの技術をしっかりと受け継いでいると思います。

   
臨床での使用経験を教えてください。
現在は月に多くて80件ほどのCT検査を施行していますが、感じることとしては、やはり画質の良さです。

また、2スライスから16スライスになったことで、 アキシャル画像だけでなく、いわゆるMPR画像と言われるサジタル画像やコロナル画像などの画質も飛躍的に向上して、作成の頻度も増えました。

特に耳鼻科領域は内耳、副鼻腔、耳下腺など、アキシャル画像以外の断面も必要とすることが多いので、MPR画像の画質向上は有効で、かつこのMPR画像はとても簡便に作成できるので助かっています。

撮影時間も早くなったので、患者様の拘束時間がかなり短くなり、ご高齢の患者様が多い当院では、このポイントも非常に役立っています。

また、耳鼻科のため、頭部領域のCT撮影がほとんどですが、咽頭部・気管支などの病変確認のために胸部CT撮影も行います。

胸部全体でしたら10秒前後の息止めで検査を終了できますし、さらにMPR画像も容易にかつ 高画質に作成可能なので、診断する医師にとっても、検査を受ける患者様にとっても、非常に有用なCTと言えると思います。


cv_otaru_02_big.png
CT Revolution ACT 臨床画像




Cookie Preferences | Privacy Policy | California Privacy Policy | Terms and Conditions | Security


Copyright and trademark statement: © 2026 GE HealthCare. GE is a trademark of General Electric Company. Used under trademark license.