関連製品

act_herodt.jpg

Revolution ACT

JB54067JA

※本カスタマーボイスはお客様の使用経験に基づく記載です。
製品の仕様値として保証するものではありません。


販売名称:全身用X線CT診断装置 Revolution ACT
医療機器認証番号: 228ACBZX00005000

自動撮像範囲設定 & 検査数は2倍

おたる泌尿器科クリニック
院長 岡山 悟 先生



おたる泌尿器クリニックの岡山 悟院長にオンサイト・インタビューを実施し、ご導入いただいたRevolution ACTの購入経緯や臨床経験を伺いました。


CT装置更新の経緯を教えてください。
当院では、横河メディカル社製EμというシングルスライスCTを使用していました。もともと、10年ほど前に中古品として購入したものなので、CT本体としては15年以上の年代物だったと思います。装置の老朽化の影響か、故障する頻度も多くなり、その都度、修理などが必要になってきました。そして仕方ないことではありますが、サービスパーツなど生産停止になりつつ あったようなので、新規製品への買い替えを検討しました。


cv_otaru_hinyouki_01.png
おたる泌尿器クリニックに設置されている
Revolution ACT



CT装置選定から導入までの背景を教えてください。
CTメーカーと機種の選定時には、CTシステムが当院に搬入可能かどうかが重要でした。 当院はビル内クリニックであり、搬入にはエレベータを使用、かつ搬入経路も十分な広さではありません。 予算的なこともありましたが、GEのみがCTをできる限り解体・軽量化することで搬入可能との回答を 頂けたことが決め手でした。



臨床での使用経験を教えてください。
まず、Revolution ACTを導入してから、検査数が約2倍になりました。

今までは年間で400件くらいでしたが、今のペースで行くと年間で900件は達成できそうです。 シングルスライスCTから16列CTになったので、診療報酬が1.5倍となり、収益への影響は大きいと思って います。

CT検査に関していえば、まず撮像時間が圧倒的に早いです。
今まではシングルスライスCTのアキシャル撮影でしたので、複数の息止め時間などにより患者さんの拘束 時間が長かったのですが、それが数秒の息止め1回で終わります。時間の短縮と言うのは大きなメリットの 1つだと思います。

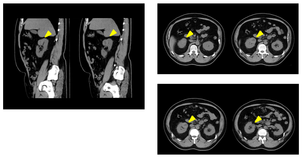
画質に関しても満足しています。1.25㎜断面で撮像されているので、腹部の標準プロトコルには、 アキシャル画像だけでなくサジタル断面も同時に再構成するプロトコルを用いています。これらの画質は ノイズも少なく、とてもシャープです。これにより臓器や病変の連続性がよく描出されており、先日もCT検査で 腎腫瘍疑いの事例があり、病変はクリアに描出されていました。

以前使っていたCTは古いかったこともありますが操作系はとてもシンプルでした。
今回導入したRevolution ACTは操作性はもちろん異なるものの、とてもシンプルな操作性で満足しています。特に、「スマートプラン」という、自動的に撮像する範囲を設定してくれる機能には助かっています。 スマートプランはスカウトビューのデータから自動的にローカライザを設定してくれます。選択したプロトコルの 部位(頭部・胸部・腹部など)にあった設定をするので、非常に便利です。 当院のように医師がCT検査をする施設では有効な機能と思われます。このコンパクトなボディで、ここまでの パフォーマンスを発揮してくれていますので、臨床での使い勝手はとてもいいですね。


cv_otaru_hinyouki_02_big.png
CT Revolution ACT 右腎臓癌の臨床画像




Cookie Preferences | Privacy Policy | California Privacy Policy | Terms and Conditions | Security


Copyright and trademark statement: © 2026 GE HealthCare. GE is a trademark of General Electric Company. Used under trademark license.