関連製品

act_herodt.jpg

Revolution ACT

JB54644JA

※本カスタマーボイスはお客様の使用経験に基づく記載です。
製品の仕様値として保証するものではありません。


販売名称:全身用X線CT診断装置 Revolution ACT
医療機器認証番号: 228ACBZX00005000

地域医療へ貢献、患者のQOLに寄り添う医療の提供 ~坂本内科様~

坂本内科医院
院長 坂本 慶博 先生



福岡県 大牟田市にあります坂本内科医院様にご導入いただいた Revolution ACTの臨床使用経験のレポートを頂きましたのでご紹介いたします。


病院紹介
坂本内科医院は現在の建物になり30年が経ちます。

消化器内科を専門とし日頃の診療はもちろん地域内医療機関との連携をしっかり行ない、地域住民の皆様の健康に日々尽力しています。


actcv_sakamoto_naika_01.png



CT装置選定から導入までの背景
Revolution ACT購入前はGE社製Prospeed AIを使用していました。 約10年使用しましたが、装置の老朽化とそれに伴うサービスパーツの供給終了ということで、Revolution ACTへ 更新しました。

また大学病院時代、最初に使ったCT装置もGE社製でしたが、今も昔も直感的に操作がわかるというそのデザイン性には、作成を手掛けるエンジニアの一貫性を感じます。他社は考慮に入れず最初からGE1本に決めていました。



導入前
Prospeed AIはシングルCTでしたので、ただでさえ撮影時間が長く、また体軸方向の画像を取得するためにはそれ専用の撮影モードで撮る必要がありました。故に、Axial 10mm画像のみの出力で運用していました。当院は高齢な患者様が多く撮影時の息止めはまず不可能です。当然画像にはモーションアーチファクトが多く、また当時の固体検出器と画像再構成方法ではノイズが多くてコントラストも良いとは言えませんでした。

つまり、「見えない、診れない」という状況で、当院は地域医療の役割を十分に担うことが出来ていませんでした。



導入後
Revolution ACT導入後、当院は生まれ変わりました。現在はルーチン検査として全症例Axial 1.25mmと5mm, Coronal 5mm, (必要に応じてSagittal 5mm)を出力し運用しています。



膵臓病変
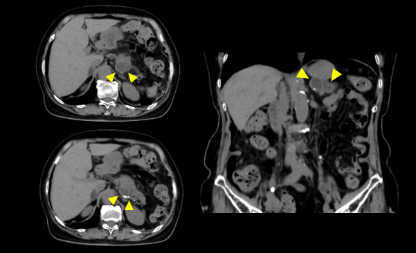
消化器領域において膵臓病変は見つけにくいと言われていますが、ある患者様でエコーでは映らなかった膵臓がんをRevolution ACTで見つけることができました。 [画像①] デジタル検出器による感度向上とノイズ抑制の画像再構成方法(ASiR)により高画質な画像と感じます。


actcv_sakamoto_naika_02_big.png
[画像①] 膵臓がん



造影検査
当院では造影検査も行なっており平衡相造影によるメタ検査はもちろん、HCC疑いでは栄養血管特定の動脈相(CT Angio撮影含む)、門脈相、静脈相画像も収集しています。 [画像②]


actcv_sakamoto_naika_03_big.png
[画像②] HCC



その他
大腸がん(リンパ節転移を伴う) [画像③]、胆嚢がん [画像④]、横行結腸がん狭窄によるイレウス[画像⑤]、カンピロバクター腸炎によるリンパ節肥大 [画像⑥]などの消化器領域病変を検査できています。消化器領域以外では目眩を訴える患者様の頭部を撮影したところ小脳部分に出血を認めました。 [画像⑦]


actcv_sakamoto_naika_0405_big.png


actcv_sakamoto_naika_060708_big.png



地域医療を担う医者の役割
私は地域医療を担う医者の役割とは主に下記の2つであると考えています。

・地域内病院との連携、《患者様へ地域内で完結する医療を提供する》

地域内では医療の機能分担があり、日頃の診療は地域の身近な「診療所・クリニック」といった“かかりつけ医”が行い、より専門的な検査や治療が必要な場合は、かかりつけ医から「病院」へ紹介します。地域内で完結した医療を提供できるようにするためには、診療所や病院などの医療機関が相互に協力し、それぞれの役割を果たすことが必要です。消化器領域において膵臓病変は見つけにくいと言われています。今までは検査しても画像不明瞭のためよく分からず、ほとんど全て市立病院へ回していました。Revolution ACTで検査をするようになってからは、小さな病変や淡い病変が見つけやすくなり、また膵臓病変に限らず全症例においてAxial画像の他に必ずCoronal,Sagittal画像も出力できるようになり当院は変わりました。前述したように、現在は全症例Axial 1.25mmと5mm, Coronal 5mm、(必要に応じてSagittal 5mm)をルーチン出力しています。

こうして当院で対応可能な患者様か、オペが必要で市立病院へ移送必要な患者様かをすぐに判断できるようになり、そして市立病院で治療を終え帰って来た患者様や入院患者様のフォロー検査も行なっています。現在は市立病院との連携がうまく機能していると感じています。

・患者様のQOLに寄り添う医療の提供、《その人がその人らしく生きていくために支援する 》

超高齢化社会へ向かっている日本の地域医療では診療所やクリニックが今後ますます重要になってきます。 私たちのような診療所で行う医療とは、病院のように病気に対して積極的アプローチを行う問題解決型医療ではなく、患者様のQOLに寄り添った問題支援型医療だと考えます。そのため、検査後には患者様と患者様のご家族へ検査結果を十分に説明し理解を得られるよう努めています。また地域医療に携わる医者は「その人がその人らしく生きていくための支援」を提供する役割を担っており、その実現のためには医療機器の存在は非常に重要であり、Revolution ACTは私にその役割を果たさせてくれる装置だと思っています。



最後に
今後は今まで以上に地域医療へ貢献し、ますます地域住民の皆様の健康に尽力して行きたいと思います。




Cookie Preferences | Privacy Policy | California Privacy Policy | Terms and Conditions | Security


Copyright and trademark statement: © 2026 GE HealthCare. GE is a trademark of General Electric Company. Used under trademark license.