関連製品

act_herodt.jpg

Revolution ACT

JB54680JA

※本カスタマーボイスはお客様の使用経験に基づく記載です。
製品の仕様値として保証するものではありません。


販売名称:全身用X線CT診断装置 Revolution ACT
医療機器認証番号: 228ACBZX00005000
販売名称:汎用超音波画像診断装置 Vivid T8 類型:Vivid T9
医療機器認証番号: 226ABBZX00081000

入れ替え後、まず反応があったのは患者様からでした ~内田クリニック様~

医療法人悠々会内田クリニック
院長 内田 治 様
総務課長 内田 英佑 様
診療放射線技師 田渕 厚子 様



医療法人悠々会 内田クリニック様にご導入いただいた Revolution ACTの臨床使用経験のレポートを頂きましたのでご紹介いたします。



病院紹介
当院は、埼玉県さいたま市の少し北に位置する伊奈町で1993年より開業し、「患者様の気持ちを大切にする医療」をモットーにかかりつけ総合診療施設として地域医療に従事している診療所です。

このたびGE製ProSpeed(シングルスライスCT)を更新して、同社のRevolution ACT( 16列マルチスライスCT)を導入したので、その使用経験について以下に報告します。


cv_uchida_01.png



機種選定ポイント
「患者様の気持ちを大切にする」当院にとって、旧CTは、検査における拘束時間、息止め時間の点で、患者様に多くの負担をかけていました。 さらに保険点数の改定、昨今の16列CTの普及も考慮し、更新に踏切ることにしました。 これまでCTを提供するメーカーには、特に拘りはなかったので、GEを含め数社のCTを検討することにしました。

各社の説明を聞いた結果、院長・放射線技師・総務課長とも三者一致でRevolution ACTを選定することにしました。 決め手となったのは「価格」もさることながら、患者様に負担をかけない検査時間の短縮(スピード)とオート化された操作性による患者様に分かり易い画像表現力(簡単3D)でした。

これらの性能により、診断の質的向上も期待でき、且つ収支バランスにも好影響が期待できたからでした。


cv_uchida_02.png



稼動開始時の印象
11月末に、入れ替え作業が完了し、臨床使用が開始されて、まず反応があったのは、患者様からでした。 それは「もう終わり?」という声が頻繁に聞かれるようになったことです。 これまでの検査時間(患者様の拘束時間)に比べると格段にスピードアップした分、患者様は「思っていた検査時間よりも早い」という印象を受けたものと考えられ、まさに期待通りの効果が発揮された結果でした。さらにCTの操作経験が豊富ではない放射線技師でも、想像を超える簡単さによって、検査データから容易に3D構築でき、難なく作業することができました。

とにかく患者様に分かり易い表現を心がけて画像提供した結果、患者様からは以前に比べ、格段に分かり易い診断結果を受けることができたと大変喜ばれています。 これにより概ね期待通りの性能を発揮してると評価しています。



経営者目線の経済効果
既に導入から約1年が経ちましたが、これといった大きなトラブルもなく順調に稼動しています。検査の割合は胸部40%、頭部30%、腹部30%の割合で、造影は殆どおこないません。検査数としてはこれまで月40検査程度であった検査が、Revolution ACT稼動後は月60検査と1.5倍に増加し、且つ点数の増加もあいまって収益面では2.4倍となりました。このような大きな経済効果を発揮できている点で総務課長も高い期待を寄せています。



放射線技師から見た操作性評価
頭部検査においては、先ずはチルトレスガントリによるデジタルチルトとスマートプラン(スキャン範囲自動認識機能)により、殆どオートスキャナーと言っても良いほどに、セッティングの手間が大幅に短縮されました。 これにより患者様が検査台に乗ってから降りるまでの時間を短くすることが可能になりました。 もちろん胸部や体幹部の検査においても、容易なセッテッィングとハイピッチヘリカル高速検査によって、短い息止めと、拘束時間の短縮化が可能になりました。

また検査終了後は、速やかにホームポジションにテーブル位置が戻るせるため、患者様はスキャン後、すぐにガントリ内から開放され緊張を解くことができ、その表情からも有用な動作であることが伺えます。 このように一連の検査の流れが最後まで滞ることなくスムーズに終了できる機構は特に嬉しいです。



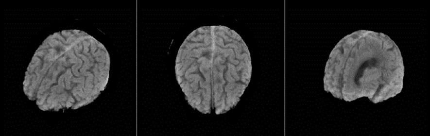
ワンクリック3Dの操作性
選定時に大きなポイントとなった、患者様に分かり易い診断結果を提供したいと言う院長の思いを形にするため、3次元画像解析機能は最も注目した性能の一つでした。 実際に使用してみて、その速さと快適さを実感することができ、従来、複数の手順を踏まなければならなかった脳の 3D画像を、本当にワンクリックで作成でき、患者様への説明に一役買っています。

しかも実際に患者様から「これは分かり易いですね!」との感想も伺うことができ、患者様のニーズにヒットしていると実感しています。


cv_uchida_03_big.png



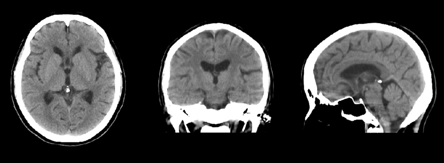
臨床有用性の拡大
従来のチルトコンベンショナルスキャンによる頭部検査では、脳底部、特に脳幹、小脳付近の画質はあまり良いとは言えませんでした。それがRevolution ACTでは、1.25mmスライスでのヘリカルスキャンができるので、薄いスライスでの収集による効果でアーチファクトが軽減され、また連続したデータであることからMPR(サジタル面、コロナル面)での画質が格段に向上しました。その結果、小脳、脳幹部の診断への信頼度が上がり、また、海馬領もコロナル面での観察が容易にでき、臨床有用性を高めています。


cv_uchida_04_big.png



また、横向きでしかスキャン体位を取れない患者様の場合でも、Revolution ACTでは、そのままスキャンを行い、検査終了後に画像をOMスライスに変換できるため、患者様の負担を大幅に軽減できることができました。


cv_uchida_05_big.png



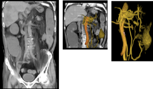
体幹部の検査においても、単純CTのアキシャル面から3D構築ができるため、幅広い視野で観察可能になり、転移の様な多臓器の観察にも有用であると考えています。


cv_uchida_06_big.png
非造影3D     造影後の3D



また、別の症例では、さすがにワンクリックではありませんが、非造影による単純スキャンデータから3D解析ツールを駆使して、このような尿路系の3D画像を構築することもできました。これも患者様に症例の解説を行う際にたいへん有用でした。


cv_uchida_07_big.png



臨床における今後の進展
数ヶ月の使用でこのCTの能力が大変高いことが実感できました。

今、トライアルしている臨床は、大腸内視鏡後のCTで、CFのバックアップに活用しようとする試みです。 前処置を終え、エアー注入された大腸をそのままCT検査で再構築する方法で、CFからのスムーズな移行方法、 エアーの補充方法など、患者様の負担を極力少なくし、且つ診断能を高める方法を模索しているところです。



今後の課題
このCTのパフォーマンスは十分に理解できましたが、まだまだその潜在能力を引き出すほど使いこなすまでは、 正直に言って至ってはいないと思っています。一方で細かな点では一部操作性の改善を望む部分も見られるので今後の改良を期待する所でもあります。

今回は、新型の16列CTの導入に際し、数ヶ月の使用経験をもとにレポートしました。 これから選定を検討されるご施設に参考になれば幸いです。




Cookie Preferences | Privacy Policy | California Privacy Policy | Terms and Conditions | Security


Copyright and trademark statement: © 2026 GE HealthCare. GE is a trademark of General Electric Company. Used under trademark license.