関連製品

signa-artist--air-iq-edition.jpg

SIGNA™ Artist AIR™ IQ Edition

JB11444JA

※お客様のご使用経験に基づく記載です。仕様値として保証するものではありません。

販売名称:AIR コイル 1.5T  医療機器認証番号:301ACBZX00001000
販売名称:AIR MP コイル 1.5T  医療機器認証番号:302ACBZX00023000

次世代の扉を開く, SIGNA™ Artist Evo MR30.1の革新性

国家公務員共済組合連合会 横浜南共済病院
放射線科 南 広哲 先生

 

横浜南共済病院様では、既存の1.5T MRシステムからSIGNA™ Artist Evo 1.5Tへとアップグレードされました。Artist Evoは、60㎝ボア径のMR装置から、70㎝のワイドボア且つ高性能なスペックを有するArtistへ生まれ変わる画期的なプログラムで、GEヘルスケアのMRシステムをご使用いただいているお客様に向けた特別な提案となります。
本稿では、SIGNA™ Artist Evo 1.5Tによる検査のワークフローの変化や画質向上の効果について概説いただきました。



Artist_Yokohamaminamikyousai15.jpg




はじめに
当院は神奈川県の横浜南部及び横須賀・三浦の医療圏における急性期医療を担う病院である. 当院のMRI装置は3.0T 1台と1.5T 2台の計3台が稼働している。 2024年6月・8月に1.5T装置2台が更新され、GE HealthCare(以下GE)社製SIGNA™ Artist Evo 1.5T MR30.1が導入された。本装置では、ブランケット型コイルであるAIR™ コイルやAIR™ MP コイルに加え、AIR™ Recon DL, Hyper CUBE, Hyper SENSE, oZTEoなどをはじめとした最新技術を使用でき、臨床の現場に大きな恩恵をもたらしている.
本稿では, 本装置の使用経験をもとに従来装置との比較や自験例を中心に解説する.


1. AIR™ Recon DLによる変革
AIR™ Recon DL(以下 DL)は深層学習により, 画像のノイズ・リンギングアーチファクト低減と尖鋭度を向上することができる技術であるが, 実際のところ, そのSNR向上効果は凄まじく, 画質(高分解能・高SNR)と撮像時間短縮の両立を可能にした. Fig.1に腰椎検査における一例を示す. 従来装置であるSigna HDxt 1.5T(以下HDxt) と比較し, SIGNA™ Artist Evo1.5T(以下Artist Evo)ではスライス厚を平均70%薄く, マトリクス数を平均122%増やすことで, 大幅な高分解能化を図りながらも, SNRが十分に担保され, さらに全てのシーケンスにおいて撮像時間の短縮もできていることが判る. これまでMRIの画質と撮像時間はトレードオフの関係にあるとされてきた. 腰椎で400を超えるマトリクス数が用いられることは一般的でなかったと思われるが, 当院でのT2強調画像 矢状断像のマトリクス数は” 700 * 420 ”である. 撮像時間も1分台であり, これがルーチンとして成立していることが驚きである.



Artist_Yokohamaminamikyousai01.jpgFig.1-1 1.5T MRI新旧装置におけるDLを加味した腰椎MRIのパラメータ調整例
(a) HDxt, Axial T2WI  (b) Artist Evo, Axial T2WI (c) HDxt, Sagittal T2WI (d) Artist Evo, Sagittal T2WI




Fig.1-2に腰椎MRIを想定したDLの有無によるNoise mapとSNR mapを示す. 腰椎の矢状断を想定し, 各画像の右側に寝台埋込型のTDI Posterior Array コイルが配置されている. DLを使用することで, 実際にノイズが大幅に低減され(Fig.1-2ab), SNRが大幅に向上している(Fig.1-2cd)ことが一目瞭然である.


Artist_Yokohamaminamikyousai02.jpgFig. 1-2 腰椎MRIを想定した DLの有無による Noise map と SNR map の比較
(a) Noise map, without DL (b) Noise map, with DL(H) (c) SNR map, without DL (d) SNR map, with DL(H)
※ 差分マップ法を使用. コイルは, 各画像の右側のみ, TDI Posterior Array コイル が配置されている.




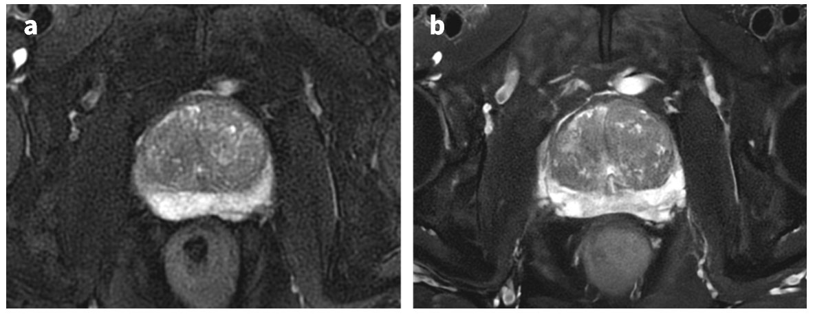
2. 前立腺における3.0T w/o DLと1.5T w/DLの比較
Fig.2aはDiscovery MR 750w 3.0Tで撮像されたDL使用していないT2強調画像, Fig.2bはArtist Evoで撮像されたDLを使用したT2強調画像である. どちらもPROPELLERで撮像された画像であるが, DLを用いた画像(Fig.2b)においては, PROPELLER特有の画像ノイズやストリーク様アーチファクトが一切なく, Cartesian Imageさながらの画質であることがお分かりいただけるだろう. 撮像時間も4:48 (3.0T) →3:12 (1.5T) と, 2/3の時間短縮を図った上で, SNR・分解能・移行域と辺縁域のCNR向上に加えて, 移行域を取り巻く被膜の視認性も大幅に向上している.


Artist_Yokohamaminamikyousai03.jpg
Fig.2 前立腺 T2 PROPRLLER における 3.0T w/o DL と 1.5T w/DLの比較
(a) 3.0T Discovery 750w, without DL, slice厚 3mm, Pixel Size 0.68*0.68
(b) 1.5T, Artist Evo, w/DL, slice厚 3mm, Pixel Size 0.57*0.57




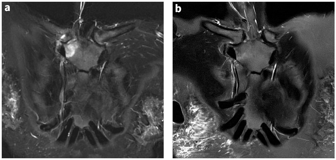
3. Hyper CUBE(FOCUS)を活用した3D MRCPの威力
Fig.3-1ab,3-2abがArtist Evo, Fig.3-1c,3-2cが旧装置HDxtで撮像された3D MRCPである. 旧装置ではDWI以外へのFOCUSは対応していなかったため, 折り返りアーチファクトを防止するには, 位相方向はRL一択となり, FOVは横に長く横たわる胆嚢・膵臓を収めるために正方形35cmと大きな値を使用していた. マトリクス数を増やせば, 呼吸同期も相まって撮像時間の大幅な延長を来たすため, pixel sizeを小さくすることは容易でなかった (Fig.3-1c,3-2c). FOCUSはFOV外に強力なサチュレーションパルスを施すことで, 折り返りアーチファクトのないsmall FOVを実現する技術である. これを使用することで,折り返りアーチファクトに臆せず, 位相方向をSIに設定できる. DLによるSNR向上を前提にFOVを小さくでき, phase FOVを絞り横に長い長方形FOVとすることで, 胆嚢・膵臓をImagingするマトリクス数が相乗的に増加する. 結果, pixel sizeが大幅に小さくなり, Fig.3-1ab,3-2abの様な画質改善が可能となった. (a)は呼吸同期法, (b)は息止め法による画像である. 息止め法の場合はデータ収集時間に制約があるため, マトリクス数をあまり増やせず, 膵管描出不良を避けるため, HyperSENSE(Compressed Sensing;CS)は使用していない. そのため, FOCUSにて位相FOVを絞ることで, データ量を少なくし, 分解能を向上しながらも, 息止め時間の短縮に寄与している. 呼吸同期法においては, データ収集時間の制約は息止め法ほど厳しくなく, マトリクス数を増やすことが可能となるため, HyperSENSEを使用することで撮像時間短縮を図っている. また, 旧装置では, 肝内胆管や他臓器に起因するノイズが多かったが, Artist Evo ではDLによって各種ノイズが軽減され, MIP作成における胆管・膵管の切り出し作業も大幅に簡素化・時間短縮化を図ることができている.



Artist_Yokohamaminamikyousai04.jpg
Fig.3 同一被験者における3D MRCPのArtist Evo(呼吸同期法・息止め法)と、HDxt(呼吸同期法)の比較
(a) Artist Evo, 呼吸同期, w/DL + CS + Focus (Coronal View)
(b) Artist Evo, 呼吸同期 w/DL + CS + Focus (Top-Down View) Pixel size : 0.86*0.65*1.5 (0.75), pFOV0.7
(c) Artist Evo, 息止め, w/DL + Focus (Coronal View)
(d) Artist Evo, 息止め, w/DL + Focus (Top-Down View) Pixel size : 0.97*0.73*2.8 (1.4) , pFOV0.5
(e) HDxt, 呼吸同期, w/o DL (Coronal View)
(f) HDxt, 呼吸同期, w/o DL(Top-Down View) Pixel size : 1.09*1.56*2.2 (1.1)




4. AIR™ コイルによる信号取得効率の向上
AIR™ コイルの利点は, ①g-factorが小さいこと, ➁様々な撮影部位に柔軟に密着できること, ③コイルの重なっても干渉せず信号ムラが生じないこと,が挙げられる.
g-factorはコイルの幾何学的形状により決まるB1 分布特性と画像再構成アルゴリズムにより決まり, Parallel Imagingの精度向上に寄与するものである. Fig.4-1は従来より腹部領域で使用されてきたBody Anterior Array コイルとAIR™ コイル (30ch)のg-factor mapを示したものであり, AIR™ コイル (30ch)の方が, g-factorが小さいことが確認できる.



Artist_Yokohamaminamikyousai05.jpg
Fig.4-1 Anterior Array Coil と Air 30ch Coil におけるg-factor mapの比較
a) TDI Anterior Arrayコイル, (b) AIR™ コイル (30ch)




Fig.4-2は伏臥位にて胸骨を撮像した画像である. (a)は3.0Tであるが, 寝台埋込型コイルを使用しているため, 胸部とコイルの密着度は低い. (b)は1.5Tでありながら, AIR™ コイルで胸部に密着した状態で撮像しているため信号取得効率が良く, 低いg-factorやDLも相まって, 分解能・SNR・CNRともに3.0Tよりも良好な画質を得られていることが確認できる.



Artist_Yokohamaminamikyousai06.jpg
Fig.4-2 胸骨MRIにおける 3.0T without DL と 1.5T with DL(H) の画質比較
(a)3.0T, without DL, TDI Posterior Array コイル slice厚 4mm, Pixel Size 0.97*0.97
(b) 1.5T, with DL, AIR™ コイル (30ch) slice厚 3mm, Pixel Size 0.67*0.67




5. Synthetic DWIによる病変検出能の向上
Synthetic DWIによるHigh-b valueはconventionalなDWIに比べて, ノイズが低減し, 細胞密度の高いものを特異的に高信号で描出しやすいことが知られている. Fig.5aはconventional DWI (b値1500) であり, 高信号が複数(矢頭・矢印) 見られるが, Fig.5bのSynthetic DWI (b値1500) を参照すると, 矢印の箇所のみが特異的に高信号で描出されている. Synthetic DWIによって, 偽陽性を排除でき, 真陽性のみを描出できた一例である.



Artist_Yokohamaminamikyousai07.jpg
Fig.5 前立腺における conventional DWI と Synthetic DWI の比較 (1.5T, w/DL)
(a) Conventional DWI, b1500, Scan time 3:49
(b) Synthetic DWI, synthetic-b1500, Scan time 1:59




6. PROPELLERとAIR™ Recon DLのシナジー
第52回 日本磁気共鳴医学会大会にて, 肩関節撮像を想定した動態ファントムによるPROPELLER w/DLの体動補正効果について報告した. Fig.6aが動態ファントムである. Fig.6b左の画像は, 動態ファントムをCartesianで撮像したものであるが, 普段目にするモーションアーチファクトが再現されている. Fig.6b右の画像は動態ファントムをPROPELELR w/DLで撮像したものであるが, モーションアーチファクトの無い画像を取得できていることがわかる. Fig.6cにてプロファイルカーブを参照すると, 動態ファントムをPROPELELR w/DLで撮像した画像は, 静止ファントムを撮像した場合と同等のプロファイルカーブを示し, 良好な体動補正効果をもたらすことが示唆される.


Artist_Yokohamaminamikyousai08.jpgFig.6 肩関節想定動態ファントムを用いた PROPELLER w/DL の体動補正効果
(a) 肩関節想定動態ファントム
(b) 動態における Cartesianと Propeller w/DL 画像
(c) 静態/動態, DLの有無,Cartesian/Propellerの違いによるファントム(左側)のプロファイルカーブ




7. AIR™ コイル (30ch), AIR™ MP コイル (21ch, 20ch)による検査適応範囲の拡張
Fig.7-1 (a)(b)(c)は, 腰部の疼痛が非常に強く仰臥位での姿勢保持が困難であった方を, 側臥位にてAIR™ コイルにて撮像した一例である. 従来のTDI Anterior Array コイル(以下TDI AAコイル)は形状が緩やかなお椀型であり腰部へのコイルの密着が不十分になるため, 仰臥位と同水準の画質を担保することは困難であった. しかし, AIR™ コイルはブランケット型であるため, 腰部正面・側面からしっかり密着を確保できる(Fig.7-1(b)). これにより, 高い信号取得効率を確保でき, 仰臥位と遜色ない画質が実現できる(Fig.7-1(a)(c)).
Fig.7-1 (d)(e)(f)は, 吐気が強く側臥位でしか撮影できなかった妊娠後期の妊婦におけるPROPELELR画像である. 自由呼吸下での撮像であり息止めは行っていないが, 胎児・子宮・腹壁ともにモーションアーチファクトの低減した分解能の高い画像を取得できている. Fig.7-1(f)はDWIであるが, FSEと歪みが同程度となるような小さめなFOVながらも, 低g-factorのAIR™ コイルだからこそParallel Imagingによる展開不良のアーチファクトなく, DLの併用により明瞭な信号強度で画像取得できている.



Artist_Yokohamaminamikyousai09.jpg
Fig.7-1 側臥位でのみ検査可能であった腰椎および妊婦の骨盤 PROPELLER 画像
(a) 側臥位 T2 Sagittal w/Air coil & DL (b) 側臥位にてAIR™ コイル(30ch) を用いたポジショニング例 (c) 側臥位 T2 Axialw/Air coil & DL
(d) T2 Sag PROPELLER, (e) STIR Axi PROPELLER, (f) DWI Axi



Fig.7-2は関節リウマチとACLの同時評価のために, 両膝MRIを施行した一例である. 従来であれば, クレードルの中央部に埋め込まれたTDI Posterior Array コイル(以下PAコイル)とTDI AAコイルによって撮像を試みるケースであるが, この手法だと, ACLを伸ばして描出するために膝を曲げると埋め込みPAコイルから距離が離れてしまい背面のSNRが低下してしまう. また, 埋め込みPAコイルがクレードル中央部にあることで, 患者の体はクレードルの上方に頭が飛び出した状態で寝ることになってしまう状況である.
AIR™ コイルはコイル同士の干渉が無いため, Fig.7-3cの様にAIR™ コイルを全周性に巻きながら, 一部が重なっても信号低下は生じない(Fig.7-2b). また, ブランケット型だからこそ, 膝にコイルを巻いた上で, 下にクッションを仕込むことができ, 膝背面のSNRを担保しつつ, ACLの伸展を確保できる. 寝台埋込コイルを使用しないため, 患者の寝る位置も気にする必要がなくなる. DLによるSNR向上効果により, 広い撮像範囲であっても, 通常の膝ルーチンに近いpixel sizeを保ちながら(Fig.7-2(a)(c)), 許容範囲内の撮像時間で検査を完結可能である.



Artist_Yokohamaminamikyousai10.jpgFig.7-2 AIR™ MP コイルCoil 2枚 (20ch + 21ch) を用いたRAとACL評価のための両膝MRI画像
(a) T1 Coronal (slice 3.5mm, pixel 0.54*0.54, 2:15)
(b) T2* Sagittal (slice 3.5mm, 47枚(両膝), pixel 0.64*0.64, 3:24)
(c) STIR Axial (slice 3mm, pixel 0.64*0.64, 2:37)
(d) コイルセッティング例 ( Air MP Coil (20ch + 21ch) )




8. oZTEoによる骨イメージングの有用性
Fig.8はCTで確定診断に至らなかった疲労骨折をoZTEoにて明瞭に描出した一例である. (e)はCT骨条件であるが骨折線がはっきりしない上, 骨肥厚が左右対称であるため骨折とは診断されなかった. (f)(g)のCT VR像でも骨折線は確認されない. (a)(b)(c)はoZTEoであるが, 骨皮質のみが高信号となるため, 左右非対称な骨折線が一目瞭然である. (d) STIRにおいても, 骨折線周囲の炎症が確認され, 疲労骨折との確定診断に至った.



Artist_Yokohamaminamikyousai11.jpgFig.8 CTで確定診断に至らなかった疲労骨折をoZTEoで明瞭に描出した一例
(a) oZTEo Coronal (原画像), (b) L-Leg Sag (Reformat), (c) R-Leg Sag (reformat),
(d) STIR Coronal, (e) CT 骨条件 (Reformat), (f) CT VR画像 L-Leg, (g) CT VR画像 R-Leg




9. Artist Evo 導入による検査時間短縮と副次効果
DLによるSNR担保により, 高分解能・高SNR・各シーケンスの短時間化の両立が可能となった. 1.5Tであっても基本的に加算回数は1あればDLによってSNRは十分に担保され, 加算回数の減少による時間短縮効果が多いに発揮されている. 当院では, 全部位・全シーケンスにおいて, 従来条件よりも高分解能化・短時間化の撮像条件を整備している. Fig.9-1に1.5T MRI新旧装置における主要部位の検査時間短縮例を示す. 下腹部検査を息止め法から自由呼吸下 DL併用Propellerに変更したことや, AIR™ Xによる自動スライス設定によって, 撮像者の負担も大幅に軽減した.
Fig.9-2は1.5T 装置更新前後での日勤時間帯 (8:30〜17:15) における検査件数の推移 (前年同月比) である. 当院はMRI装置3台体制であるが, Artist Evo 1台が更新となった2024年7月と前年同月を比較すると日勤帯内で完結できた検査件数は105%に増加, 2台目が更新となった2024年10月と前年同月を比較すると110%まで増加した. 日勤帯内で4件多く検査可能となったことは, 時間外業務の削減にも大きく寄与している.


Artist_Yokohamaminamikyousai12.jpgFig.9-1 MRI新旧装置における主要部位の検査時間短縮例


Artist_Yokohamaminamikyousai13.jpgFig.9-2 装置更新前後での日勤時間帯 (8:30~17:15)
における検査件数の推移 (前年同月比)




最後に
1.5T MRIはアーチファクトや歪みが少なく画質が安定しているものの, 高SNR・高分解能は3.0Tの優位性であった. しかし, AIR™ Recon DLの登場により, 1.5Tの安定した画質で高SNR・高分解能, さらに短時間化も達成できるようになった. DLの障害となるアーチファクトもCartesian画質に近づいたPROPELELRによって対応できるようになり, MR30.1から各種アプリケーションの適応範囲も広がったことで, 臨床における様々な場面に柔軟に対応できる.

このようにArtist Evo MR30.1は革新的な臨床的有用性を有しており, 広く普及するとともに日本の医療の質の向上に寄与することを期待する.




Cookie Preferences | Privacy Policy | California Privacy Policy | Terms and Conditions | Security


Copyright and trademark statement: © 2026 GE HealthCare. GE is a trademark of General Electric Company. Used under trademark license.