関連製品

gehc-air-umbrella-webpage-air-categories-image-4.jpg

AIR™ Image Quality

JB08360JA

※お客様のご使用経験に基づく記載です。仕様値として保証するものではありません。

製造販売 GEヘルスケア・ジャパン株式会社
48ch Headコイル3.0T(認証番号:228ABBZX00152000)
GEMコイル(3.0T) ( 認証番号:223ABBZX00135000)
AIRコイル3.0T( 認証番号:229ABBZX00123000)
AIR MP コイル 3.0T (認証番号:302ACBZX00022000)

MR30によって実感したMRI検査の「新時代」の到来

医療法人豊田会 刈谷豊田総合病院
放射線技術科 大久保 裕矢 様

 

始めに
当院では、2023年3月にGEヘルスケア社製1.5T装置の SIGNA™ Explorer MR29.1をバージョンアップし、最新ソフトウェアバージョンであるMR30の稼働が開始している。MR30では、AIR Recon DLの適応シーケンスが拡がり、CubeやLAVA、FSPGRといった3Dシーケンスや体動補正シーケンスのPROPELLERへAIR Recon DLを用いることが可能となった。

本稿では、MR30の使用経験を紹介するとともに、MR30によってもたらされる新たなMRI検査の可能性について紹介する。


MR30_Kariyatoyota_01.jpg
大久保 裕矢 様

MR30_Kariyatoyota_02.jpg
刈谷豊田総合病院 外観



MR30の魅力
MR30の目玉は、何と言ってもAIR Recon DLが3DシーケンスとPROPELLERシーケンスに適応が拡張されたことである。当院では、MR30にバージョンアップされる4ヶ月程前にMR29.1を導入、2Dシーケンスに対してAIR Recon DLがもたらす新しい技術革新を体験した。これまでのMRIの常識であった「撮像時間と画質のトレードオフの関係」が覆され、いとも簡単に「短時間で高画質」を実現できてしまうことに衝撃を受けていた。実際に当院では、MR29.1の導入によって1検査あたり20〜25%程度の検査時間の短縮を実現することができた。

その中で、3DシーケンスやPROPELLERシーケンスは、プロトコル設計上、どうしても撮像時間が長くなるため、シーケンスの有用性は十分感じつつも、ストレスなく日常的に検査で利用するためには、「短時間かつ高画質」化への期待が強かった。だからこそ、当院では、MR30の導入を待ち望んでいた。

実際に、MR30を約半年間使用し、導入前より期待していた「短時間かつ高画質」化によって、日常的に検査で3DシーケンスやPROPELLERシーケンスを多用しており、臨床に有用な検査画像の提供が実現できている。




MR30 臨床画像
MR30で新たにAIR Recon DLの適応が拡がったシーケンスを全身あらゆる部位で活用している。ここでは各部位から合計10症例を紹介する。




Case1 3D FSPGR/脳転移に対する定位放射線治療後の経過観察
60代、男性。脳転移に対して放射線治療後のフォローアップで造影MRI検査を施行した。
右前頭葉に14㎜大、左後頭葉内側に5㎜大、小脳虫部に7㎜大のGd増強効果を呈する結節を認めるが、前回との比較により増強効果は減弱しており、定位照射の治療効果が認められる。
AIR Recon DLを併用した3D FSPGRを2分程で撮像し、任意断面での観察が可能となる。



MR30_Kariyatoyota_03.jpg
図1 3D FSPGR を用いた脳転移に対する定位放射線治療後の経過観察




Case2 PROPELLER & Cube/中枢性思春期早発症による下垂体造影
10代、男性。中枢性思春期早発症にて結節疑いのため造影下垂体MRI検査を施行した。
血管からのフローアーチファクトを抑えるために2DはAIR Recon DLを併用したPROPELERを撮像した。
また、造影後においてThin sliceやReformatでの観察のため、AIR Recon DLを併用した3D Cubeも撮像している。



MR30_Kariyatoyota_04.jpg
図2 PROPELLER とCubeを用いた下垂体造影検査





Case3 Cube & PROPELLER DWI/真珠腫
40代、男性。左耳閉感にて左中耳真珠腫疑いのため聴神経MRI検査を施行した。
Thin sliceやReformatでの観察のため、AIR Recon DLを併用した3D Cubeを撮像し、磁化率アーチファクトを抑えるため、DWIはAIR Recon DLを併用したPROPELER DWIを撮像。
空気による歪みを抑え、左鼓室から乳突洞に真珠腫、さらには右乳突蜂巣内の真珠腫が明瞭に高信号として確認された。



MR30_Kariyatoyota_05.jpg図3 CubeとPROPELLER DWIを用いた真珠腫の描出





Case4 PROPELLER DWI/右中大脳動脈クリッピング後 陳旧性脳梗塞フォロー
70代、男性。右中大脳動脈のクリッピング術後フォロー。陳旧性の脳梗塞あり。
クリップ周囲の病変はシングルショットEPI DWIでは磁化率アーチファクトのため評価が難しいが、ROPELLER DWIによって磁化率アーチファクトの影響を最小限に抑えつつ梗塞部位(→)の可視化が可能となった一例。



MR30_Kariyatoyota_06.jpg図4 PROPELLER DWIによる 右中大脳動脈クリッピング後 陳旧性脳梗塞フォロー




Case5  Cube/胸椎圧迫骨折
70代、男性。第12胸椎の圧迫骨折で、椎体はやや魚椎状でT1強調像で低信号T2強調像で不均一な高信号を呈する。
AIR Recon DLを併用した3D T2 Cubeを追加撮像し、多断面からの観察が可能となる。



MR30_Kariyatoyota_07.jpg図5 Cube を追加撮像し多段面からの観察を行う脊椎検査




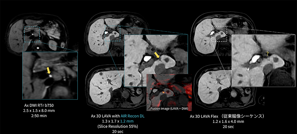
Case6 LAVA/上行結腸癌の多発肝転移
80代、女性。上行結腸癌の多発肝転移でEOB検査を施行。肝臓内に大小多数の結節が認められるが、S1に10㎜大と4㎜大の肝細胞造影相でのEOB取り込み低下あり。
4㎜大の病変(→)については従来撮像条件のLAVA-Flexでは描出が不明瞭であるが、AIR Recon DLを併用したThin sliceのLAVAではDWI高信号に合致した位置に病変が明瞭に描出されている。



MR30_Kariyatoyota_08.jpg図6 Thin slice LAVAを用いた上行結腸癌の多発肝転移における微小病変の描出能向上




Case7 PROPELLER/膀胱癌
50代、男性。膀胱癌の前立腺浸潤疑い。膀胱右後壁の肥厚。
AIR Recon DL併用のPROPELLERにより膀胱の動きの抑制が可能となり、各シーケンス1分台の短時間撮像を実現している。



MR30_Kariyatoyota_09.jpg図7 PROPELLER を用いた膀胱検査




Case8 PROPELLER/変形性肩関節症
80代、男性。変形性肩関節症にてMRI検査を施行した。
関節液の貯留が見られ、棘上筋腱周囲にSTIR像にて高信号域が見られる。上腕骨骨頭外側では、貯留関節液内に10㎜大の低信号域を認め遊離体を疑う。AIR Recon DL併用のPROPELLERにより痛みや呼吸による肩関節周囲の動きの抑制が可能となり、各シーケンス1分台の短時間撮像を実現している。各シーケンスの短時間化のため発生した余剰時間にて、拡散強調像を追加し情報量を高めている。



MR30_Kariyatoyota_10.jpg図8 PROPELLER を用いた肩関節検査




Case9 Cube/変形性膝関節症+内側半月板損傷
80代、男性。変形性膝関節症にてMRI検査を施行した。
膝関節内側の軟骨は著明に菲薄化。内側半月板は大きく関節外方向へ偏位しており、中節に断裂を認める。
AIR Recon DLを併用した3D PD Cubeは短時間撮像でもMPRで観察可能である。



MR30_Kariyatoyota_11.jpg図9 Cubeを用いた膝関節検査




Case10 Inhance Inflow IR / 腎血管性高血圧の非造影腎動脈精査
50代、女性。腎血管性高血圧の患者で、腎機能が悪く造影CTではなく非造影MRAにて腎動脈精査の依頼があった。
Inhance Inflow IRにAIR Recon DLを併用することで、背景組織のノイズを低減し、血管と背景組織の高いコントラストを得ることが可能となった。3D画像において右腎動脈が二本に分岐していることが明瞭に観察できる。



MR30_Kariyatoyota_12.jpg図10 Inhance Inflow IRを用いた非造影腎動脈検査



最後に
MR30によって、日常のほぼ全ての撮像シーケンスにおいてAIR Recon DLを適用できるようになり、私たちユーザーはMRI検査プランを構築する上で、多くの選択肢を手に入れることが可能になった。だからこそ、私たちはその選択肢を最大限に活かした「検査プラン構築の明確なコンセプト」が重要であると感じている。

当院では、病院方針である「あたたかい思いを込めた質の高い医療サービス」の提供を達成するために、「患者さんに寄り添うやさしいMRI検査」をコンセプトに検査プランを構築している。具体的には、診断に寄与しない不要な高画質化による撮像時間の延長を避け、適切に診断できる画質で、患者さんの心身の負担の少ない短時間での検査プランを構築している。これにより、痛みが強い方や検査に対する恐怖や不安の強い方が安心して検査を受けることができ、検査後には「今までより、時間が短くてすごく楽だったわ。ありがとう。」と満足度の高い言葉をいただくことも経験している。

さらに、検査時間の短縮は、患者さんの苦痛を和らげるだけでなく、検査を行う技師にとっても大きなメリットがある。検査時間が大幅に短縮されたことで、検査スループットが向上し、迅速な緊急検査への対応が可能になっている。また、患者さんの心に寄り添った接遇の時間を確保することも可能になっている。読影医からは、短時間でも従来よりも高画質な画像を提供できていることで、これまではアーチファクトかどうかの判断に迷うような画像に対して、判断が容易になり、読影時のストレスが和らいでいるとのコメントもある。

MRI検査を管理している立場としては、MR30は「MRI検査の質の安定性向上」においても、大きく貢献してくれている。例えば、検査経験の少ないスタッフが、痛みが強く長時間の検査体位の保持が困難な方を対応するケースにおいても、短時間での検査プラン設計により、複雑な撮像条件の調整をすることなく、従来よりも安定した画像の提供ができている。このような可能性溢れるMR30の機能に、日々、楽しみながらプランを構築することができている。半年間の使用経験ではあるが、大袈裟ではなく、MR30は「MRIの新時代の到来」を感じさせるソフトウェアだと確信している。



MR30_Kariyatoyota_13.jpg刈谷豊田総合病院 MRI検査室スタッフの皆様




Cookie Preferences | Privacy Policy | California Privacy Policy | Terms and Conditions | Security


Copyright and trademark statement: © 2026 GE HealthCare. GE is a trademark of General Electric Company. Used under trademark license.