JB07328JA

※お客様のご使用経験に基づく記載です。仕様値として保証するものではありません。

販売名称:シグナ Prime 医療機器認証番号:303ACBZX00016000
販売名称:AIRコイル 1.5T 医療機器認証番号:301ACBZX00001000

新型ユーザーインターフェイス「SIGNA™ One」を搭載した
SIGNA™ Primeの使用経験

国民健康保険玉城病院 放射線室
松本 将和 様

 

国民健康保険玉城病院様では、約17年間稼働していた0.4Tオープン型MRI装置から、2022年10月に1.5T MRI装置のSIGNA™ Primeへ装置を更新されました。それによりGEヘルスケア製MRI装置の新しいユーザーインターフェイスや、ディープラーニング画像再構成であるAIR™ Recon DLを含む最新技術が使用可能となり、限られたマンパワーの中で地域の医療に最大限貢献すべく、日々MRI検査に取り組まれています。

本稿では、SIGNA™ Primeの初期使用経験についてご執筆いただきました。



Prime_Tamaki_01.jpg松本 将和 技師




はじめに
当院では2005年4月より稼働していた0.4T MRI装置の老朽化に伴い、2022年10月に、画質向上を目指してGEヘルスケア製SIGNA™ Primeへと機器更新を行った。この最新装置の導入によりMRI検査の活用の幅が広がり、主治医や地域連携先の開業医にこれまで以上に有益なMRI画像を届けることが可能となった。本稿では、「NEWユーザーインターフェイスの使用経験」、「ディープラーニングを用いた画像再構成アルゴリズムAIR™ Recon DLの活用例」、「SIGNA™ Primeが導入されたことによる地域医療への貢献」を中心に述べる。



Prime_Tamaki_02.jpg国民健康保険玉城病院 外観




1. NEWユーザーインターフェイス「SIGNA™ One」の使用経験
SIGNA™ Prime は「SIGNA™ One」と呼ばれる最新のユーザーインターフェイスが搭載されている。このSIGNA™ Oneは白と黒を基調としたシンプルな設計になっており、オペレーターがシーケンス選択やスキャンを行う際に直感的な操作が可能となっているため、SIGNA™ Primeから初めてのGEMRユーザーとなった私でも、違和感なくすぐに検査を行うことができている(図1)。



Prime_Tamaki_03.jpg
図1 SIGNA™ OneによるMRI検査の様子




また、注意・警告などの重要なメッセージはオペレーターが認識しやすいよう、赤やオレンジ、緑といった見やすい配色が採用されている(図2)。当院では使用言語を日本語に設定していることもあり、注意喚起のメッセージを見逃すこともなく、安全かつ安心の下にMRI検査を行うことができている。



Prime_Tamaki_04.png
図2 日本語設定のSIGNA™ One
重要なメッセージは目立つ配色となっており、理解しやすい日本語のメッセージにより
装置から発せられる注意喚起に対して迅速に対応できる。




現在、放射線室では2名の診療放射線技師がレントゲン・CT・MRI・透視装置・マンモグラフィの検査を行っている。2名の技師間で高磁場MRIに対する経験値が異なるため、0.4Tから1.5T装置への機器更新前は、シーケンスや設定パラメーターが増えることに大きな不安を抱えていた。しかしSIGNA™ Oneに組み込まれている「モード選択」が、この不安を解消してくれた。

このモード選択には「エクスプレスモード」と「クラシックモード」の2種類があり、「エクスプレスモード」は設定パラメーターがシンプルに表示され、ボタンの数やスキャンまでの必要なクリック数が少ないため、簡便に迷うことなくスキャン設定を行う事ができる(図3)。高磁場MRI装置の経験がなくても簡便に操作でき、MRI操作に対する苦手意識を持つことなく業務を行うことができている。稼働前トレーニングにおいても、2検査分程度のトレーニングを受けるだけで難なく検査を行うことができた。もう一つの「クラシックモード」は、詳細な撮像条件の設定ができ、検査・患者ごとに高度なカスタマイズが可能である(図4)。また、両モードは検査途中で切り替えることができるため、より柔軟な検査対応を可能としている。



Prime_Tamaki_05.png
図3 SIGNA™ One:エクスプレスモード
必要最低限の重要なパラメーターのみ表示されており(赤枠)、上部のガイド矢印に沿って
操作していくことで迷うことなくスキャンを実行できる。



Prime_Tamaki_06.png
図4 SIGNA™ One:クラシックモード
イメージングオプションやアドバンス設定を行うことができ(赤枠)、
検査ごとに高度な最適化が可能である。




その他に、撮像を行いながら、画像閲覧ビューワや3D画像構築ができるワークステーション機能のブラウザ画面を複数展開できる点も操作や検査の迅速化に貢献している。以前は、その都度ブラウザ画面を閉じてから別の画像を表示させていたので手間がかかっていたが、現在は、撮像と複数の画像処理が同時並行で行うことができるようになり、さらなる検査スループット向上につながっている。

また、ユーザーインターフェイス以外の部分でも、GEヘルスケア製のMRI装置は、寝台の両サイドにあるフットスイッチで寝台の昇降を行うことができるため、両手が空いた状態でコイルのセッティングや患者の介助が可能である(図5)。当院では、人員の配置上、一名の技師のみでMRI検査を対応するため、安全管理の観点からもフットスイッチは非常に重宝している。



Prime_Tamaki_07.jpg
図5 フットペダルを使用した患者セッティングの様子




2.  各部位におけるAIR™ Recon DLの活用例
AIR™ Recon DLは、k空間データ全体に対してディープラーニングを用いたアルゴリズムを適用し画像再構成することで、ノイズ低減、画像尖鋭度の向上、トランケーションアーチファクトを軽減しながらスキャン時間を大幅に短縮することができる新しい画像再構成法である。現在使用中のソフトウェアバージョンでは、2DのSE法(高速SE、シングルショット、FLAIR、STIR)、GRE法、またDWIなどの幅広いコントラストや撮像シーケンスに対応している。

当院では、AIR™ Recon DLが使用できる場合においては、全例で用いており、それによりSNRが大幅に向上するため、同時に空間分解能も高める撮像条件へと変更している。加えて、加算回数(NEX)を減らすことで各シーケンスの撮像時間短縮にも繋がっている。AIR™ Recon DL の導入により、画質向上と検査時間の短縮が同時に実現され、限られた予約時間の中で、ルーチン検査に加えて臨床的に+αとなるシーケンスを追加することが可能となった。ここでは、頭部、骨盤、整形外科領域における臨床例を紹介する。



頭部領域での臨床応用 ~脳梗塞患者へVolume DWIの追加~
当院にはウォークインで来院され、症状も数日前の頭痛・めまい・ふらつきなどの主訴の患者が多く、主血管閉塞による脳梗塞よりも微小脳梗塞を疑う症例が多い。当院では、脳梗塞疑いの患者においては、Volume DWIを追加している(図6)。



Prime_Tamaki_08.png
図6 脳梗塞患者におけるVolume DWI
A. Volume DWI Axial、B. Coronal Reformat、C. Sagittal Reformat
スライス厚:2.2mm 撮像時間:2:40 min




Volume DWI は通常のDWI(Conventional DWI)よりもスライス厚が薄いため、微小脳梗塞の検出に優れ、MPR処理することにより他方向からの観察も容易となる一方で、SNRが低下しやすいデメリットがある。従来はSNRを担保するためには加算回数を増やす必要があり、予約時間枠外での撮像を余儀なくされていたが、AIR™ Recon DLによってConventional DWIと遜色ないSNRのVolume DWIを3分以内で撮像することが可能となり、予約検査時間内での追加撮像を可能としている。



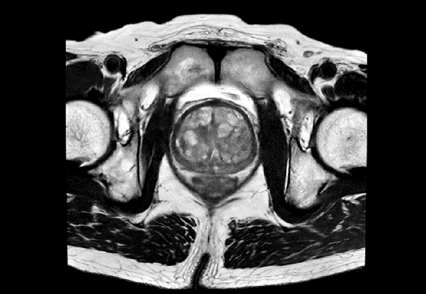
骨盤領域での臨床応用 ~PI-RADSに準拠した前立腺T2強調像~
前立腺マルチパラメトリックMRIの撮像条件や読影方法の標準化を目的として、Prostate Imaging and Reporting and Data System (以下PI-RADS) が提唱されている。PI-RADSが求めているT2強調像の分解能は、面内0.4×0.7mm以下、スライス厚3.0mm以下という高分解能が要求されるため、1.5T装置では十分なSNRを担保することが難しく、検査時間の都合上、それに準拠したシーケンスを組むことは容易ではなかった。しかし、AIR™ Recon DLにより空間分解能とSNRの向上の両立に加え、撮像時間の短縮が可能となるため、当院でもPI-RADS推奨条件下での検査を行うことができようになった(図7)。読影レポートにもPI-RADSカテゴリーが記載されるようになり、基幹病院への不要な紹介が減ることで患者の身体的・精神的な負担を軽減できるだけでなく、医師にも有益な情報を提供できている。



Prime_Tamaki_09.png
図7 PI-RADSに準拠した前立腺T2強調像
空間分解能:0.4×0.7×3mm 撮像時間:2:24min




整形外科領域での臨床応用 ~高空間分解能と短時間撮像の両立~
整形外科領域の検査では、多くの撮像シーケンスや撮像断面が必要とされることが多く、加えて手指などの細かい構造物の描出も同時に求められるため、高分解能化に伴い撮像時間が延長することが懸念された。しかしながら、SIGNA™ Primeでは、面内の空間分解能やスライス分解能を向上させることによるノイズ増加が懸念される条件下でも、AIR™ Recon DLによってSNRが十分に担保され、同時に撮像時間の短縮まで可能となる。その結果、短時間かつ高分解能な画像が得られている(図8)。紹介検査においても、SIGNA™ Primeの導入により、以前までは依頼のなかった手指や腫瘍を対象とした検査依頼も増えており検査の幅が広がったと実感している。



Prime_Tamaki_10.png
図8 ガングリオン症例における手指撮像
A. T1強調像 Sagittal スライス厚:1.5mm 撮像時間:2:01 min
B. STIR像 Coronal スライス厚:2.0mm 撮像時間:1:50min
C. T1強調像 Axial スライス厚:2.0mm 撮像時間:1:47min
D. T2強調像 脂肪抑制 Axial スライス厚:2.0mm 撮像時間:1:40min




3. SIGNA™ Prime導入による地域への貢献
当院は町立病院として住民の健康を守りながら、より高度な診療が必要な患者を周辺の基幹病院へ橋渡しする役目を担っている。0.4T MRI時代では疾患の判断が難しいため基幹病院へ送ることしかできなかった患者も多かったが、現在では主治医が納得する画像を提供できるようになったことで速やかに処置ができ、MRI画像を付けて基幹病院へ紹介することが可能となった。

また、他院(近隣の開業医)からの紹介検査も多く受け入れており、継続的に依頼されるためには紹介元の医師に満足していただけることが重要である。そのため、丁寧かつ付加価値の高い画像の提供や至急検査依頼への迅速な対応を心がけている。実際に紹介元の医師からは、「装置更新後は情報量の多い画像が増えたので、患者へ画像を見せながら説明する際に患者の理解が得られやすくなった。」と聞いている。従来のルーチン検査に高分解能画像や定量画像などを加え、紹介元の診断能向上に繋がる画像を提供することで、新規紹介検査の開拓に繋げていきたいと考えている。

SIGNA™ Prime導入について町広報誌で紹介したところ、多くの問い合わせがあった(図9)。地域の人たちの関心の高さに驚き、町立病院に最先端の装置が入ったことに喜んでもらっていることや期待されていることが分かった。当院の近隣では高磁場MRI装置を保有する病院は限られており、大規模病院での紹介検査になると数ヶ月待ちの状況であることも少なくない。当院では当日検査にも対応しており、地域での共同利用を含めてMRIにアクセスしやすい環境を整えることで地域医療へ貢献していきたいとも考えている。



Prime_Tamaki_11.png
図9 玉城町広報誌でのSIGNA™ Prime紹介




さいごに
ここまで述べたようにSIGNA™ Primeの導入によって、「質の高い画像情報」「検査の効率化」「地域への貢献」を実感している。さらに質の高いMRI検査ができるよう、新しいシーケンスや撮像方法を追加するなどSIGNA™ Primeの能力を最大限に活用したいと考えている。



Prime_Tamaki_12.jpg
国民健康保険玉城病院の皆様




Cookie Preferences | Privacy Policy | California Privacy Policy | Terms and Conditions | Security


Copyright and trademark statement: © 2026 GE HealthCare. GE is a trademark of General Electric Company. Used under trademark license.