関連製品

signa-champion-listing_image.jpg

SIGNA™ Champion

JB13238JA

※お客様のご使用経験に基づく記載です。仕様値として保証するものではありません。

製造販売:GE ヘルスケア・ジャパン株式会社
販売名称:シグナChampion 医療機器認証番号:306ACBZX00003000
販売名称:Express Head Neck Arrayコイル 1.5T 医療機器認証番号:303ACBZX00024000
販売名称:AIR コイル 1.5T 医療機器認証番号:301ACBZX00001000
販売名称:AIR MP コイル 1.5T 医療機器認証番号:302ACBZX00023000

SIGNA™ Champion 導入による撮像技術の進化と応用

信濃町立信越病院 医療技術部 部長
小林 正人 先生

SIGNAChampion_Shinetsu01.jpg

 


長野県と新潟県の県境に位置する 信濃町立信越病院 は、人口約10,700人のうち半数以上が65歳以上を占める典型的な過疎・高齢地域にあります。
町で唯一の医療機関として、限られた人員・設備の中で日々の医療を支えることが私たちの使命です。近年、医療現場では高齢化に加え、診療報酬改定や技師不足といった構造的課題が重なり、検査効率の改善が求められています。そうした中で「患者さんにやさしく、効率的で高品質な画像診断を提供できるMRI」の導入を目指し、2025年に日本国内第1号機となる SIGNA™ Champion 1.5T を採用しました。 (図1)


SIGNAChampion_Shinetsu02.jpg
図1: 信濃町立信越病院の SIGNA™ Champion 1.5T 国内1号機



MRI技術の進化を現場で見続けて
私自身、1990年代末からMRIに携わってきました。当時はスピンエコーしか撮像できず、頭部検査1件に8分以上かかっていましたが、2000年にはファーストスピンエコー撮像が可能となり、同じ検査が3分で終わるようになった時の感動は今でも忘れられません。今から思い返してみると、驚き度5段階表示で「4」といったところでした。その後、マルチエコーやシンセティックMRI、マルチバンド撮像など、技術革新のたびに撮像効率が飛躍的に向上してきました。特に、3.0T装置の登場により、ホールボディイメージングや拡散強調画像の高精細化が可能になったときは、技術者としての視野が一気に広がりました。(驚き度「3」)
こうした進化の中で常に感じてきたのは「SNR(信号対雑音比)の確保」と「検査時間の短縮」という2つの課題です。今回導入したAIR™ Recon DLは、その両方を劇的に改善し、1.5T装置でありながら3.0T装置を上回るほどのSNR向上を実感しています。この点は、まさに「1.5Tの常識を変えた技術」であり、驚き度はマックスの「5」でした。



SIGNA™ Championを選定した理由
選定にあたり、まず注目したのはマグネットの長さでした。近年はワイドボア化によって短尺マグネットが多く採用されていますが、当院ではホールスパインや長軸方向のDWI撮像を行う頻度が高いため、B0均一性に優れる長尺マグネットの方が有利だと判断しました。 (図2)


SIGNAChampion_Shinetsu03.jpg
図2: マグネット長の比較
奥行方向に長いマグネットの方がZ軸方向の均一性が高く、
特にLarge FOV撮像の際には補正技術に頼らずに高画質が得られる。



撮像範囲を広く取るには、ある程度のマグネット長が必要です。SIGNA™ ChampionではZ軸方向の均一性が非常に高く、補正技術に頼らずに高精度な画像を取得できる点を高く評価しました。補正によって “見た目の均一さ” を作る装置もありますが、私たちはあくまで「本来の信号を正しく描出する」ことを重視しています。
もう一つの決め手は、AIR™コイルの柔軟性と操作性です。
2017年のRSNAで初めて目にしたときから、その自由度の高さに驚きました。体格や部位に合わせて自然にフィットし、カップリングの影響を抑えながら高いSNRを確保できます。特に膝撮像では、従来のコイルでは難しかった「膝を軽く曲げた状態」でも安定した画像が得られるようになり、患者さんの負担も大幅に軽減されました。 (図3)


SIGNAChampion_Shinetsu04.jpg
図3: 前装置とのコイル比較
従来コイル (A) よりもAIR™コイル (B) の方が屈曲しやすく、大腿骨下面とACLを
離して撮りやすい (C, D) ウィンタースポーツが盛んな地域なので、
AIR™コイルの有用性が発揮され、上腕や肘などの使用にも自由度が高い。



限られたリソースの中で効率を最大化
当院のMRI担当技師はわずか3名。予約制限や休止状態にせざるを得ない時期もあり、限られたリソースで効率を上げることが最重要課題でした。AIR™ Recon DLの導入により、検査時間が大幅に短縮され、ルーチン検査の流れが一変しました。
STIR画像は短時間撮像にもかかわらず、従来のサチュレーションありの画像よりもむしろコントラストが良好で、診断価値の高い画像が得られています。 (図4)
たとえば、脊椎全体の撮像時間は約11分。Fast scan では最短4分55秒で完了します。3D T2 Sagittal 画像もわずか2分48秒で取得でき、術前シミュレーションやナビゲーション用途でも十分な空間分解能を保っています。MPRで任意断面を自由に再構成できるため、脊椎変性疾患や圧迫骨折などの診断で医師から「CTと同等の情報量が得られる」との評価もいただいています。高齢の患者さんが多い当院では、検査中の体動や痛みを最小限にすることが重要であり、短時間で確実に撮像できることは、技師にとっても大きな安心につながっています。また、従来は動きによるアーチファクトで再撮像となるケースもありましたが、AIR™ Recon DLを用いることで1分半以内にノイズを抑えた画像を取得でき、再撮率が明らかに減少しました。


SIGNAChampion_Shinetsu05.jpg



AIR™ Recon DL: 臨床で実感する画像の変化
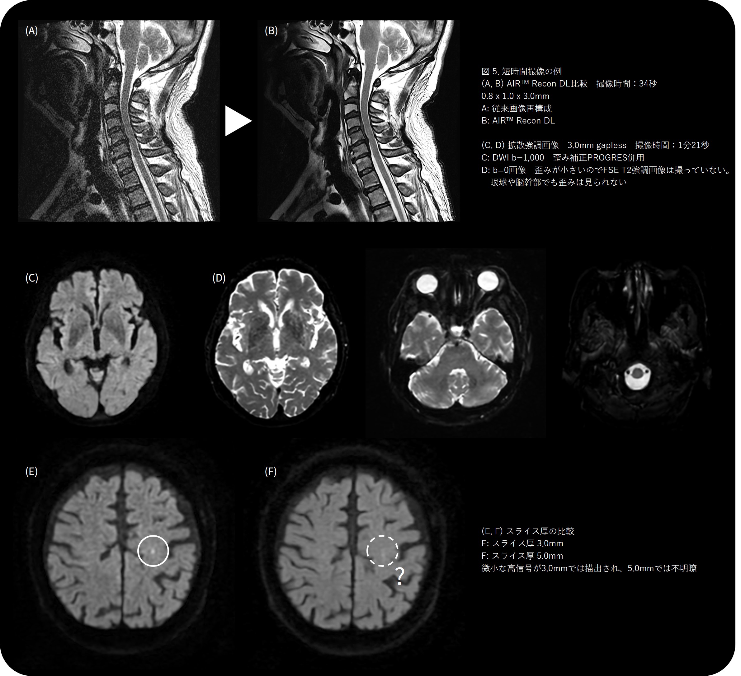
導入後、最も印象的だったのは、短時間でも高画質が維持される点です。 (図5-7)
34秒のSagittal T2w撮像では、従来法に比べ動きに強く、ルーチン撮像を置き換えることができました。この画像を見て「ルーチンを変えよう!」と即決しました。現在ではFast scanを34秒、通常スキャンも50秒台に変更しています。
従来20年間使い続けてきたgapless DWIのルーチンが(前装置ではSNR等の観点から諦めていましたが) 最新技術によって再評価され、新たな形で “復活” もしました。さらに厚みの設定によるSNR変化への理解も深まりました。3.0mmでは明瞭に見える信号が、5.0mmにするとボケてしまうケースもあり、厚みを細かく調整することで診断能を最大化できることを実感しています。 AIR™ Recon DLでは、高SNRと高分解能を両立できるため、1分半の短時間撮像でも高画質が維持される点が特に印象的です。
使い勝手の面でも、設定項目が「Low」「Medium」「High」の3段階のみで、他社DLRのような複雑なパラメータ操作が不要です。どの技師が撮像しても安定した品質が得られるため、施設間の画質差も少なく、地方中規模病院でも “均一なクオリティ” を提供できる安心感があります。
さらに、T2 FLEXやT1強調画像をAIR™ Recon DLで撮像し、指関節などの微細構造を1分半程度で描出できるようになりました。以前は10分以上かかっていた検査が短縮され患者負担の軽減とスループット向上の両立を実現しています。



SIGNAChampion_Shinetsu06.jpg



SIGNAChampion_Shinetsu07.jpg



SIGNAChampion_Shinetsu08.jpg



経済性と持続可能な運用
地方病院では、導入コストやランニングコストも大きな検討要素です。
以前使用していた装置を移設する場合、費用は約3,000万円。加えて設置スペースや電力条件の制約もあり、総合的に判断してSIGNA™ Championを選定しました。
私自身が長年MRIを扱ってきた経験もあり、操作性への不安はほとんどありませんでした。導入後は、検査件数の増加と待ち時間の短縮に加え、整形外科領域でのoZTEo (骨イメージング) 技術活用も始まりました。
特に高齢者の多い当院では、骨折診断の迅速化が医療の質向上に直結します。MRIで腰椎や胸椎の骨折を即日評価できるようになり、整形外科の診療フローにも好影響を与えています。



地域医療の未来へ
SIGNA™ Championの導入により、当院のMRI検査は「効率」「画質」「快適性」の全てが大きく進化しました。
患者さんに優しく、かつ以前より多くの情報を提供できるようになり、医師からも「診断の幅が広がった」と高い評価をいただいています。
過疎地域という厳しい環境の中でも、先端技術を取り入れ、地域に必要とされる医療を提供し続けること。それが私たち技師の使命であり、この装置がその挑戦を強く後押ししてくれています。
導入からまだ日が浅いものの、これからもSIGNA™ ChampionとAIR™ Recon DLの可能性を探りながら、地域医療の未来を支える一助となるよう努力していきたいと考えています。




Cookie Preferences | Privacy Policy | California Privacy Policy | Terms and Conditions | Security


Copyright and trademark statement: © 2026 GE HealthCare. GE is a trademark of General Electric Company. Used under trademark license.