関連製品

gehc-signa-hero-system-renderings-angle-1-v1-1.jpg

SIGNA™ Hero

gehc-air-umbrella-webpage-air-categories-image-4.jpg

AIR™ Image Quality

JB10491JA

※お客様のご使用経験に基づく記載です。仕様値として保証するものではありません。

製造販売 GEヘルスケア・ジャパン株式会社
シグナ Pioneer 認証番号 227ACBZX00011000
SIGNA™ Heroは販売名「シグナ Pioneer」の類型シグナHeroです 。
48ch Headコイル3.0T(認証番号:228ABBZX00152000)
GEMコイル(3.0T) ( 認証番号:223ABBZX00135000)
AIRコイル3.0T( 認証番号:229ABBZX00123000)
AIR MP コイル 3.0T (認証番号:302ACBZX00022000)

SIGNA™ Hero 3.0Tで実現した
高度画像診断と臨床ワークフローの飛躍的向上

慶應義塾大学医学部
放射線科学教室(診断) 長谷 学 先生

 

この度、慶應義塾大学病院様では、3台の既存MRシステムのバージョンアップと併せて、SIGNA™ Hero 3.0Tが新規に導入されました。SIGNA™ Hero3.0Tは、ディープラーニング画像再構成技術であるAIR™ Recon DLが標準搭載された最新の3.0T MRシステムで、同時に導入されたAIR™コイルと併せることで、画質向上とワークフロー改善の両立が図られています。本稿では、大学病院におけるSIGNA™ Hero 3.0Tの使用経験についてご執筆いただきました。


SIGNAHero_KeioUniv07.jpg




慶應義塾大学病院について
我々の施設は都内にある960床の総合病院でほぼ全ての診療科を有し、外来数は一日3000人を超えており、MRI検査は一日90件前後行っています。大学病院という施設の性質上、検査内容は精査およびフォローアップを含めた難治性・希少疾患から一般的な疾患(common disease)まで幅広く扱っています。それに加え、治験や研究目的での撮像と、その検査目的は多岐にわたっています。
MRI検査はほぼ常に予約で埋まっているため、新規予約が取りづらい状況が続いています。そのため我々は一つ一つの検査時間について、非常に気を遣わなくてはならないという状況です。




SIGNA™ Hero 3.0Tについて
現在、当院は6台のMRI装置(GE HealthCare社製 1.5T 1台、3.0T 4台、他社製 3.0T 1台)で、運用しています。2024年4月に機器更新があり、SIGNA™ Hero 3.0Tを大学病院としては初めての導入をしました。
SIGNA™ Hero 3.0Tの臨床利用に関して最も恩恵を受けている点は、Deep learning reconstruction であるAIR™ Recon DL が標準で搭載されていること、4種のAIR™コイル(48ch AIR™ Headコイル 、16ch AIR™ Anterior Arrayコイル(16ch AIR™ AAコイル)、21ch AIR™ Multi Purposeコイル、20ch AIR™ Multi Purposeコイル) が使用可能になったこと、さらにワイドボアの装置であることが挙げられます。




AIR™ Recon DL の恩恵
AIR™ Recon DLとは昨今話題になっているDeep LerningというAI技術を用いて、ノイズを除去することができる画像再構成法です。これにより普段撮像している画像のSignal to noise (SN)比を単純に向上させることができ、読影がやりやすいという恩恵を受けることができます。
さらに重要なのが検査の高速化です。前述した通り、当院では検査予約がほぼ常に埋まっているため、検査時間についてシビアな管理を要求されています。画像の高分解能化やthin slice化・新規シークエンスの追加など、従来から『技術的には可能だが検査時間の観点から難しい』という案件が、AIR™ Recon DLを使用することによって日常臨床でも格段に使いやすくなりました。
大学病院という施設の特性上、ルーチン検査に加えて研究目的で新規シークエンスを検討する必要があります。これらについても検査時間が短くなることでかなりハードルが下がっており、ひいては我々医師・診療放射線技師の大学病院での仕事へのモチベーション向上にも繋がっていると感じています。


・症例1
脊椎領域の硬膜動静脈シャントの症例です。スライス厚4mm・ギャップ1mmでの撮像した2D 高速スピンエコー法によるT2強調像と、1.4mmのiso-voxelで撮像した3D 高速スピンエコーシーケンスであるT2 cubeを提示しています。2D 高速スピンエコーで得られたT2強調像で、蛇行した静脈の拡張が確認できます(症例.1-a)。一方、3D 高速スピンエコーのCubeで撮像した1.4mm iso-voxelの矢状断像は、部分容積効果が低減されているため、従来のT2強調矢状断像よりも拡張静脈が明瞭に描出されています(症例.1-b)。スライス厚を薄くするとノイズによる画質低減が問題となり、検査時間が限られている関係上、臨床活用が難しいという問題がありました。しかし、AIR™ Recon DLを活用することにより1.4mm厚にしても4分程度の撮像時間で済んでいるため、非常に使いやすくなりました。また等方性ボクセルで撮像することで、Multiplanar reconstruction (MPR)による多断面の再構成が可能になることで、拡張した静脈構造の詳細を把握しやすくなったこともメリットの一つです。



SIGNAHero_KeioUniv03.JPG




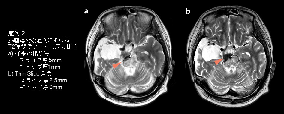
・症例2
神経膠腫の摘出および放射線治療後の症例です。T2強調像のAxial撮像で、従来の撮像法(スライス厚5mm・ギャップ厚1m)とThin slice撮像(スライス厚2.5mm・ギャップ厚0mm)を比較しました。放射線治療により壊死した腫瘍の一部が繊維化しており、T2強調像で低信号に描出されています。やはり一目でスライス厚が薄いほうがくっきりと描出されており、病変範囲が分かりやすくなっています。症例1と同様に、従来はノイズや撮像時間の関係から気軽にはthin slice化することは困難だったのですが、AIR™ Recon DLを活用することでthin sliceにしても2分弱での撮像が可能なため、日常臨床での活用が格段に容易になりました。



SIGNAHero_KeioUniv04.JPG




48ch AIR™ Headコイルの恩恵
今回の機器更新に伴い、新たに48ch AIR™ Headコイルが導入されました。48ch AIR™ Headコイルは、腹部用ブランケット型のAIR™コイルと同じ技術が用いられた頭部用のコイルです。従来型のコイルと比較して、ペネトテーションが向上しており、深部まで均一な信号を取得することができます。さらにgeometoryファクタを最小化され、パラレルイメージングなどの高速撮像技術による画質劣化を最小に留めます。また、エレメント干渉によるSN比の低下も最小化されているため、多チャンネルフェーズドアレイコイルにもかかわらず、SN比と均一性を両立したコイルとなっています。48ch AIR™ Headコイルにより、細かい構造の描出能を向上させることができます。



・症例3
硬膜動静脈シャント塞栓後の症例です。硬膜動静脈シャントはfeeder(外頚動脈系から供給されることが多い)の評価と、シャントポイントの特定、皮質静脈逆流の評価がそれぞれ重要であり、MRアンギオでは頭頂部を含めた広範囲の撮像が求められます。頭頂部において上段の48ch AIR™ Headコイル で撮像した方が従来型コイル よりも浅側頭動脈の描出が良好なことが分かります。



SIGNAHero_KeioUniv05.jpg




SIGNA™ Hero 3.0Tによる ワイドボアの恩恵
SIGNA™ Hero 3.0T は70cmのワイドボア設計を採用しており、検査のワークフロー向上に貢献しています。ワイドボア装置に前述の16ch AIR™ AAコイルを組み合わせることで、患者さんの圧迫感を軽減し、 スループットの向上を実現しています。



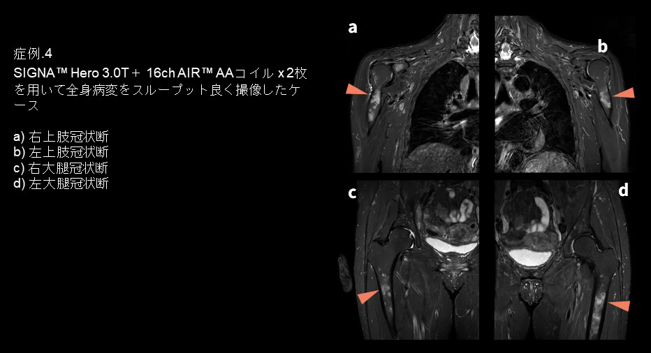
・症例4
サルコイドーシスの全身骨病変が存在する稀なケースで、そのフォローアップを行いました。全身骨病変が存在するため両上肢・両下肢の4部位を撮像する必要がありました。 従来であれば左右それぞれ身体を寄せて、撮像部位がボア中心なるように2回のポジショニングが必要になる検査です。しかし今回は16ch AIR™ AAコイル 2枚を上半身・下半身に置き、ポジショニングを変更することなく撮像することができました。これはSIGNA™ Hero 3.0Tがワイドボアであることと、ボア内の磁場均一性が良好なことが大きい要因となっています。ポジショニングを変更することなく撮像を行うことによりワークフローが向上し 、検査全体の時間短縮にも貢献しています。さらにコイルを2枚置いたとしても患者さんが閉塞感を感じにくいことも特徴です。



SIGNAHero_KeioUniv06.JPG




終わりに
MRIの技術進歩はその登場以来目覚ましい発展を遂げてきました。そして近年はAIの活用も相まって撮像技術はさらなるブレイクスルーを迎えていると思います。より早く、より綺麗に、より負担が少なくという革新的な撮像技術により、研究分野のみならず日常臨床レベルでもよりクオリティの高い画像診断を行うことができるようになっていると日々感じています。当院でもSIGNA™ Hero 3.0T導入に伴い、新しい技術の恩恵を受けることで臨床医の先生・ひいては患者さんのためによりよい画像診断を届けていけていると実感している今日この頃です。




Cookie Preferences | Privacy Policy | California Privacy Policy | Terms and Conditions | Security


Copyright and trademark statement: © 2026 GE HealthCare. GE is a trademark of General Electric Company. Used under trademark license.