関連製品

gehc-air-umbrella-webpage-air-categories-image-4.jpg

AIR™ Image Quality

JB10247JA

※お客様のご使用経験に基づく記載です。仕様値として保証するものではありません。

製造販売 GEヘルスケア・ジャパン株式会社
48ch Headコイル3.0T(認証番号:228ABBZX00152000)
GEMコイル(3.0T) ( 認証番号:223ABBZX00135000)
AIRコイル3.0T( 認証番号:229ABBZX00123000)
AIR MP コイル 3.0T (認証番号:302ACBZX00022000)

ディープラーニング画像再構成がもたらす心臓MR検査の変革
~Sonic DL™ による画質と生産性の向上~

岩手医科大学放射線医学講座
折居 誠 先生

 

岩手医科大学病院様では、既存のSIGNA™ Artist 1.5Tを最新のMR30.1にバージョンアップしていただきました。心臓 Cine 撮像における高速撮像技術であるSonic DL™が導入により、画質の改善と併せて撮像時間が大幅に短縮されました。本稿では、Sonic DL™ に代表されるディープラーニング画像再構成技術による検査の高速化が、心臓MRにもたらす臨床ベネフィットについてご執筆いただきました。


SonicDL_Iwateikadai01.jpg岩手医科大学 放射線医学講座
折居 誠 先生

SonicDL_Iwateikadai02.jpg



はじめに
心臓MR検査は心機能や心筋組織性状の評価に優れ,その検査数は増加傾向にある。心臓Cineでは心尖部から心基部までの短軸像に加え,長軸像(四腔像、二腔像、三腔像)によって,心臓全体の形態や機能評価が可能である。従来の撮像法では1-2スライス毎に息止めが必要で,息止め回数の増加は検査時間の延長や患者負担を増大させる結果となる。今後検査時間の短縮と患者負担の軽減は,心臓MRにおける解決すべき課題である。
この度岩手医科大学では,ディープラーニングによる心臓Cine撮像の高速撮像技術であるSonic DL™を導入した。この新技術によりCineの撮像時間が大幅に短縮され,かつ安定して高画質の画像が取得可能となった。そこで本稿では,Sonic DL™の初期使用経験を報告するとともに,増加する心臓MR需要に応えるための検査スループット改善の試みについて報告する。




Sonic DL™ の臨床的利点
Sonic DL™はディープラーニングによる心臓Cineの高速撮像法で,画質を損なわずに短時間撮像を行うための画像再構成技術である。従来の高速撮像技術であるパラレルイメージングや圧縮センシングは,高速化により信号雑音比(SNR)の低下や画質の劣化を伴う。Sonic DL™は空間軸と時間軸に対して畳み込み演算を行うディープラーニングアルゴリズムにより,高いアクセラレーションファクターでも画質を損ねることなく,撮像の高速化と画質の両立を実現したCine撮像が可能になる。各時相あたりの時間分解能は,アクセラレーションファクターと1スライスあたりの心拍数の設定によって設定される。当院では,アクセラレーションファクター10倍,1スライス当たり3心拍でCine撮像を行っている(Figure.1)。Sonic DL™は最大12倍のアクセラレーションファクターの設定が可能で,患者の状態に応じて,1スライスあたり1心拍での高速撮像も可能である。また呼吸同期との併用で自由呼吸下でのCine撮像を行うことも可能であり,あらゆる臨床場面に対応できる高速撮像技術である。



SonicDL_Iwateikadai03.jpg
Figure.1 従来法とSonic DL™によるCine撮像の比較




Sonic DLの臨床活用
心臓MRプロトコルの最適化
心臓MR検査は,対象疾患によって求められる画像が異なるため,撮像シーケンスの選択やパラメータを柔軟に設定する必要がある。心臓検査にはMRI以外にも超音波など代替手段が存在するが,右室容積評価が必要な小児や成人の先天性心疾患患者では,心臓Cineがゴールドスタンダードである。遅延造影による心筋症の組織性状評価が優先される病態であっても,心臓の形態や壁運動評価は必須であり,Cine撮像を欠かすことはできない。

従来当院では,スライス毎の息止めで心臓Cineを撮像していた。このためインターバルで呼吸を整える時間を含めると,短軸像だけで平均5分30秒程度の時間を要していた。一方Sonic DL™による心臓Cine撮像では,1-3回の息止めで短軸像を取得することが可能である。高い画質を維持しながら,撮像時間はインターバルを含めても平均1秒30秒程度にまで短縮する(Figure.1)。さらに長軸像を含めても,3分以内で心臓Cine撮像を完了することが可能である。撮像時間の短縮や息止め回数の削減は,検査時間の短縮のみならず,患者負担が大幅に軽減される。Sonic DL™の導入で息止め不良に伴う画質低下のリスクが減少し,安定したCine画像が得られるようになった。

一方,画像再構成技術の変更に伴い,従来法と比較して解析データに変化が生じる懸念がある。そこで我々は,従来法とSonic DL™とで比較検討を行った。自動トレースによる左右心室の容積や収縮能は,従来法とSonic DL™との間に有意差は見られなかった1)。このようにSonic DL™は撮像時間の短縮のみならず,容積評価においても従来法に対する非劣性が証明された。



不整脈患者への対応
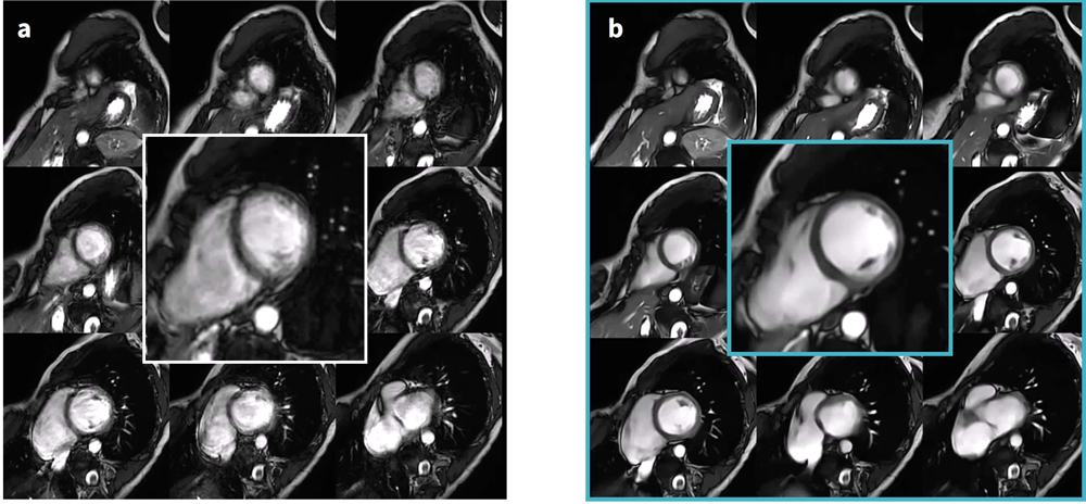
通常,心室性や上室性期外収縮が散発する程度では,従来の撮像法でも著しく画質が劣化することはない。一方,頻発する期外収縮や心房細動でR-R間隔が不整な場合,従来のCine撮像ではアーチファクトにより画質が顕著に低下する(Figure.2-a)。
Sonic DL™ では,高いアクセラレーションファクターを設定することで,1心拍での撮像が可能である。心拍を跨がず一回の心拍でCineを撮り切ることにより,R-R間隔が一定でない不整脈や呼吸制御が困難な症例でも,アーチファクトの少ない画像を取得することが可能である(Figure.2-b)。


SonicDL_Iwateikadai04.jpg
Figure.2 心室性期外収縮頻発、呼吸制御困難症例
a) 従来法 Acceleration factor 2 (ASSET), 15sec x 9 breath hold (9slice)
b) Sonic DL™ Acceleration factor 10(Sonic DL™), 17sec x 1breath hold (9slice)

Sonic DL™ を使用して1心拍撮像を行うことによって、期外収縮に伴うモーションアーチファクトが抑制されている。




自由呼吸下での高速スキャン
当院では成人の心臓検査枠とは別に,小児の心臓MR検査枠も設けている。小児や呼吸停止が困難な成人患者では,安定した心臓Cine撮像を提供することが困難であった。さらに小児例では鎮静が必要となる場合もあり,検査スループットを低下させる結果となる。
Sonic DL™の導入以降,呼吸停止が困難な患者に対しては,自由呼吸下によるCine撮像を積極的に実施している。従来法による自由呼吸Cine撮像は,呼吸と心拍に同期をして行うため,撮像に時間を要していた。Sonic DL™の導入により,自由呼吸Cine撮像を短時間で実施可能となった(Figure.3)。自由呼吸による撮像では心拍や呼吸の影響が懸念されるが,高時間分解能で撮像が行われるため,鮮明なCine画像を取得可能である。容積評価でも自動抽出が可能となる画質が担保されるため,これまで呼吸制御が困難とされていた患者においても,治療方針に寄与できる画像を提供することが可能となった。



SonicDL_Iwateikadai05.jpg
Figure.3 息止め不良例における、自由呼吸Cine撮像




30min心臓MRプロトコルの試み
今後も増加が予想される心臓MR検査に対応するためには,患者の負担軽減,検査対応件数の増加,医療従事者の業務効率化が必須である。当院ではディープラーニング画像再構成技術を用いた,心臓MR検査のスループット改善に取り組んでいる。2022年Society of Cardiovascular Magnetic Resonance (SCMR)はさらなる心臓MRの普及を図るため,“30-minute CMR for common clinical indications: a Society for Cardiovascular Magnetic Resonance white paper” の白書の中で30分の心臓MRプロトコールを提唱した2)。当院では現状,1枠あたり1時間,通常検査の2枠分を心臓MRに割り当てている。そこでSCMRの提唱に従い,取り組みを通して検査時間を30分に短縮することを目標にしている(Figure.4)。検査時間短縮のため,各シークエンスの撮像プロトコルの最適化と撮像順序の再考を行い,画質を担保しつつ検査効率の向上を目指している。



SonicDL_Iwateikadai06.jpg
Figure.4 Sonic DL™ とAIR™ Recon DL を用いた30分の心臓MRプロトコル確立




Cine撮像の効率化
心臓MR検査においては,Cine撮像と併せ,遅延造影による心筋組織性状の評価が中心的役割を果たしている.遅延造影はガドリニウム造影剤投与後,心筋に造影剤が取り込まれるのに約10分の待ち時間が発生する.我々は遅延造影までの待ち時間を有効に活用すべく,造影剤投与後のCine撮像を試みている.従来法では,短軸像と長軸像を撮像するのに8-10分程度の時間を要するため,このプロトコルを実現することは困難であった.Sonic DL™の導入により,Cineの撮像時間が短軸と長軸の撮像を合わせて3分以内と,遅延造影までの待ち時間で実施可能となった.Cine撮像のパルスシーケンスはFIESTAであるため,造影によるT1短縮の影響が懸念される.そこで我々は,造影3分後のCine画像を造影前Cine画像と比較検討した.結果心筋と内腔のコントラストは維持されており,心室容積や駆出率へのへの影響は最小限であった.このように造影剤投与から遅延造影までの待ち時間を有効活用することで,心臓MR検査のスループットを改善することが可能である.



遅延造影の最適化
心臓MRでは時間分解能が重要視されるため,周波数/位相エンコード数を下げて撮像を行わなければならない.特に心筋の信号を落として撮像する遅延造影では,SNRや空間分解能に課題を抱えていた.そこで当院では,遅延造影にAIR™ Recon DLを適用し,検査スループットと画質改善に取り組んでいる.AIR™ Recon DLは,画質向上のためのディープラーニング画像再構成技術であり,SNR向上に加え,シャープネスも向上する.AIR™ Recon DLは各種定量マッピングやBlack Bloodなど,多くの心臓MRで使用することが可能である.遅延造影では従来型のMyocardial Delayed Enhancement(MDE)だけではなく,Single shot MDE(SSh-MDE)やPhase Sensitive MDE(PS-MDE)でもAIR™ Recon DLを使用することが可能である.当院では遅延造影撮像をSSh-PSMDEに変更し,ワークフローの最適化を図っている.SSh-PSMDEは通常のMDEと異なり,一度の息止めで複数スライスの画像を取得することができる.息止め回数を減らすことで検査時間を削減し,患者負担の軽減により,検査成功率を高める効果が期待される.従来の画像再構成技術によるSSh-PSMDEでは,画質やコントラストに問題を抱えていた.AIR™ Recon DLが使用できるようになり,SNRやシャープネスが改善され,遅延造影における明瞭な造影効果を得られるようになった.



成果と今後の展望
Sonic DL™によるCine撮像とAIR™ Recon DLによる遅延造影の効率化により,心臓MR検査全体のスループットを改善することが可能となった(Figure.4)。我々の取り組みのポイントは,①ディープラーニング画像再構成技術を用いることで,画質を担保しつつ検査時間短縮を図る,②Cine撮像と遅延造影の効率化による患者の負担軽減,③心臓MR検査全体のスループットの改善による検査件数の増加への貢献,の3点である.さらにこれまで心臓MR検査の実施が難しかった患者に対しても,適応の拡大を目指している.Sonic DL™とAIR™ Recon DLという二つの新しいディープラーニング画像再構成技術は,心臓MR検査の課題解決に向けて,ゲームチェンジャーとしての役割が期待される.今後,更なる検査効率化と患者負担軽減を目指し,心臓MR検査の普及を通じて循環器分野に貢献していきたいと考えている.



SonicDL_Iwateikadai07.jpg
岩手医科大学附属病院 MRスタッフ一同




参考文献
1) Orii M, et al. Reliability of respiratory-gated real-time two-dimensional cine incorporating deep learning reconstruction for the assessment of ventricular function in an adult population. Int J Cardiovasc Imaging. 2023;39:1001-1011.
2) Raman SV, et al. 30-minute CMR for common clinical indications: a Society for Cardiovascular Magnetic Resonance white paper. J Cardiovasc Magn Reson. 2022;24:13.




Cookie Preferences | Privacy Policy | California Privacy Policy | Terms and Conditions | Security


Copyright and trademark statement: © 2026 GE HealthCare. GE is a trademark of General Electric Company. Used under trademark license.