関連製品

victor2_-th.jpg

SIGNA™ Victor

signa-lift-mri-system-program-hero-module--mobile.jpg

SIGNA™ Lift

JB10882JA

※お客様のご使用経験に基づく記載です。仕様値として保証するものではありません。

製造販売:GEヘルスケア・ジャパン株式会社
販売名称:シグナ Prime 医療機器認証番号:303ACBZX00016000
SIGNA™ VictorはシグナPrimeの類型SIGNA™ Victorです。
販売名称:Express Head Neck Arrayコイル 1.5T 医療機器認証番号:303ACBZX00024000
販売名称:AIR コイル 1.5T 医療機器認証番号:301ACBZX00001000
販売名称:AIR MP コイル 1.5T 医療機器認証番号:302ACBZX00023000

Victor Lift UpgradeでMRI検査室の運用効率を最大化
~3Tとの最適な使い分け~

北九州市立医療センター 放射線技術課
診療放射線技師長 長島 利一郎 先生
主任 新谷 俊也 先生

 

この度、北九州市立医療センター様では、既存システムからSIGNA™ Victor 1.5TにLift Upgradeをしていただきました。SIGNA™ Victorは、AIR™テクノロジーを搭載した新型の1.5Tシステムで、ディープラーニング画像再構成技術であるAIR™ Recon DLの搭載による画質改善に加え、コンパクト設置かつ消費電力の削減などを達成したサステナブルなMRシステムです。本稿では、SIGNA™ Victor 1.5TへのLift Upgradeによる臨床かつ運用面のベネフィットについて執筆いただきました。


VictorLiftUpgrade_Kitakyushu01.jpg

VictorLiftUpgrade_Kitakyushu02.jpg
長島 利一郎 先生

VictorLiftUpgrade_Kitakyushu03.jpg新谷 俊也 先生



はじめに
北九州市立医療センター(以下、当院)は病床 数636床、診療科41科を擁し、北九州地区医療の中核を担っています。MRI検査においては、多岐にわたる部位の検査を施行しており、1日に2台で40件を超える検査を行う こともあります。更新前は、ソフトウェアのバージョンアップを繰り返し約20年以上使用していた1.5T装置の Signa HDxtと、他社製のDeep Learning Reconstruction 搭載3T装置 (以下、他社製3T 装置)の2台体制で行っていました。 今回は、Signa HDxt 1.5T から、Lift UpgradeによってAIR™ Recon DL 搭載のSIGNA™ Victor 1.5T を導入しました。




Lift Upgradeによる効率的な更新
Lift Upgradeとは、元々のMR検査室の設置スペースのなかで、 新しいコンピュータや画像再構成エンジン、アプリケーションを既存のマグネットに搭載することが可能な更新プランです。図1にLift Upgrade前後の装置の外観を示します。更新時に最も時間と神経を使う工程は、マグネットの搬出・搬入作業になります。 当院のMRI室が2階に位置しているため、クレーン車を利用した大掛かりな作業となることが想定されました。 Lift Upgradeでは既存のマグネットを使用するため、この工程を省略し、全工程をスリム化することができました。



VictorLiftUpgrade_Kitakyushu04.jpg
図1 : Lift upgradeによる外観の変化




SIGNA™ Victor 1.5Tの特徴
~AIR™コイルとAIR™ Recon DL~
SIGNA™ Victor 1.5Tの大きな特徴は、AIR™コイルとAIR™ Recon DLです。AIR™コイルは従来の重くて硬いコイルとは異なり、非常に軽量で柔軟性が高く、患者の負担を大幅に軽減します。また、AIR™コイルは様々な部位に適応するため、従来は部位ごとに異なる専用コイルを装備する必要がありましたが、AIR™コイルに 代替することができます。当院では、各部位専用コイルの5つの役目を2つのサイズの異なるAIR™コイルが担っており、従来よりも専用コイルの装備数を減らすことができました(図2 )。 AIR™コイルが担う検査部位は多く、使用頻度が高いので、コイルの付け替えの手間とセットアップ時間が削減され、MRI検査のスループットが向上しました。



VictorLiftUpgrade_Kitakyushu05.jpg
図2: AIRコイルの汎用性




AIR™ Recon DL のメリットは、検査時間の短縮と画質の向上です。実際に私が経験したケースでは、更新前では約25分を要していた腰椎MRI検査が、SIGNA™ Victor 1.5Tでは約10分で完了し、撮像時間を約60%短縮しました。 当院では痛みが強く、長時間の体勢保持が困難な場合に限って大幅な時間短縮を行っています。図3にこの症例の画像を示しますが、更新前と遜色ない画質であり、AIR™ Recon DLを使用することで、画質を担保したまま撮像時間を短縮することが可能になりました。
また、画質向上を目的として3Tと同等の画質を得ることも可能です。当院では四肢関節において、3T装置の検査を標準としていますが、検査の進捗度によってはSIGNA™ Victor 1.5Tの検査に切り替えることがあります。



VictorLiftUpgrade_Kitakyushu06.jpg
図3: 腰椎MRI(左) 更新前 (右)更新後 撮像時間を60%短縮




図4に同一患者のSIGNA™ Victor1.5Tと3T装置の画像を示しますが、画質に大きな差はありません。撮像時間は若干長くかかりますが、肩関節などの四肢関節において、3Tと同等の画像を1.5Tで撮像することは今までは不可能であり、AIR™ Recon DLが搭載されたことで可能になりました。



VictorLiftUpgrade_Kitakyushu07.jpg
図4: 肩T2*WI 他社製DLR搭載3T VS 1.5T Signa Victor (左)3T (右)1.5T




3Tシステムとの使い分け
更新前のSigna HDxt1.5T と3T装置の2台体制の時期は、両装置間の画質の差が大きく、使い分けが非常に困難でした。3T装置に検査が偏り、Signa HDxt1.5Tがブランクになることが多く、非効率的な運用でした。SIGNA™ Victor 1.5Tに更新後、上述のようにAIR™ Recon DLによって撮像時間を多少かければ、3T装置と同等の画質を担保できております。もちろん、すべてにおいて、3Tと同等の画質や検査精度を得ることができるわけではなく、TOF法MR Angiography やMR Spectroscopy などの高磁場ならではのメリットを活かした撮像では、現時点では3T優位な点があることは否めません。
しかし、更新前はブランクになっていた時間が無くなり、効率的な運用が可能となりました。




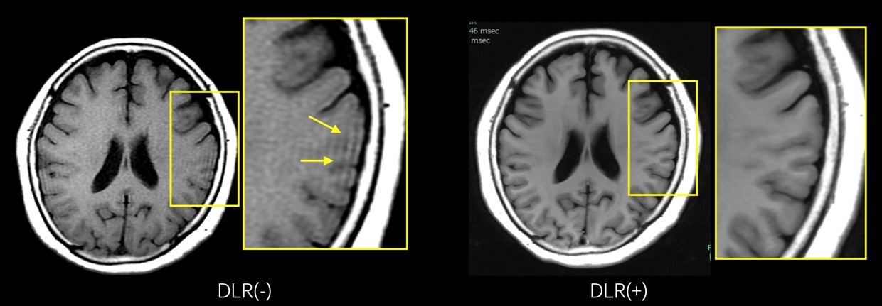
AIR™ Recon DLのアーチファクト対策
AIR™ Recon DLによってトランケーションアーチファクトを目立たなくすることが可能です。図5は頭部のT1強調画像ですが、AIR™ Recon DLによって脳辺縁に沿った線上のトランケーションアーチファクトが軽減されています。



VictorLiftUpgrade_Kitakyushu08.jpg
図5: 頭部T1WI DLRによるトランケーションアーチファクトの低減




しかし、アーチファクトの中で最も頻繁に発生するモーションアーチファクトは、AIR™ Recon DLによって解消されません。逆にAIR™ Recon DLはノイズのみを除去するので、それに埋もれていたモーションアーチファクトは顕著に目立ってきます。したがって、AIR™ Recon DL導入後は、それまで気にならなかったモーションアーチファクトが目立つようになります。
そこで当院での対策は、PROPELLERを積極的に使用することです。図6に示すように、肝実質内に呼吸によるモーションアーチファクトが混入していますが、PROPELLERを併用することで、アーチファクトが軽減されています。



VictorLiftUpgrade_Kitakyushu09.jpg
図6: 上腹部T2WI  PROPELLERによる体動アーチファクト抑制




SIGNA™ Victor 1.5Tを使用して
私見ですが、今回の更新でSIGNA™ Victor 1.5Tを使用し、感じたことはAIR™ Recon DLの質の高さです。そして1.5T装置とAIR™ Recon DLの相性の良さです。これによって、3T装置に匹敵する画質を生み出すことはある程度可能であると思います。
また、3Tは従来よりSARの制限によるプロトコルの組みにくさやアーチファクトが多いなどのデメリットもあり、1.5Tの方が取り扱いやすいとされています。
そうした背景のもとで、施設の運用を踏まえての3Tの存在意義を考える必要があると思います。当院においての3Tの意義は、撮像時間の短縮率が高いことで急患対応がしやすい点や、3Tでしか撮像できないシークエンスがあることなどです。
”3Tの意義”という大きなテーマを考える契機となるほど 、SIGNA™ Victor 1.5Tはインパクトが大きな装置だと思います。
今後も、SIGNA™ Victor 1.5Tの有効活用について追求をしていきたいと思っております。




Cookie Preferences | Privacy Policy | California Privacy Policy | Terms and Conditions | Security


Copyright and trademark statement: © 2026 GE HealthCare. GE is a trademark of General Electric Company. Used under trademark license.