関連製品

signa-voyager--air-iq-edition.jpg

SIGNA™ Voyager AIR™ IQ Edition

JB08977JA

※本カスタマーボイスはお客様の使用経験に基づく記載です。
製品の仕様値として保証するものではありません。

製造販売 GEヘルスケア・ジャパン株式会社
製品名:SIGNA Voyager 販売名:シグナVoyager 228ACBZX00009000
GEM コイル (1.5T) 223ABBZX00121000
AIRコイル (1.5T) 301ACBZX00001000
8チャンネルブレストフェイズドアレイコイル 1.5T 21700BZY00410000

SIGNA™ Voyager MR30.0のインパクト

医療法人社団 宇部興産中央病院
画像診断室 真野 忍 先生

 

宇部興産中央病院様では2023年5月に新規MR装置SIGNA™ Voyager 1.5TのMR30.0を導入いただきました。新装置導入に伴い従来行っていた検査の新しい運用や、全身MRIなどの新しい検査など幅広くご活用いただいています。本稿ではSIGNA™ Voyagerの臨床使用のインパクトについて、2種類のAIR™ コイルを含めたご経験をご執筆いただきました。



VoyagerMR30_ube01.jpg




はじめに
当院は、山口県の二次医療圏「宇部・小野田医療圏(人口22万人)」の中核病院として、急性期医療を重点的に地域医療へ貢献しており、現在当院のMRI装置は3Tと1.5Tの2台が稼働している。2023年5月に1.5T装置が更新され、GE HealthCare(以下GEHC )社製SIGNA™ Voyager 1.5T MR30.0が導入された。本装置では、最新のブランケット型コイルの16ch AIR™ Anterior Array コイル(AIR AAコイル) やAIR™ Multi-Purposeコイル(AIR MPコイル)に加え、AIR™ ReconやAIR™ Recon DLといった最新の画像再構成技術を多くのシーケンスで使用でき、臨床に大きなインパクトを与えている。この度、当院初のGEHC社MRI装置を使用することとなったため、本装置の使用経験をもとに多角的な視点から自験例や基礎検討を交え、所感を述べる。



SIGNA™ Voyagerの特徴および効果

1. 広範囲撮像の安定性
SIGNA™ Voyagerは静磁場均一性に優れていることから、SI方向における広範囲撮像を得意とする。Fig.1に腰椎圧迫骨折に対して胸腰椎をFOV50cm の1ステーション にて撮像した画像を示す。位相方向をSIにしているにも関わらず、アネファクトや折り返し等のアーチファクトが抑制され、また脂肪抑制画像ではSI方向両端においても均一に脂肪が抑制されていることがわかる。これは、良好な静磁場均一性に加え、GEHC社独自の技術であるTDI(Total Digital Imaging)や後述するAIR™ Recon等の相乗効果と考える。広範囲撮像の安定性が図られたことで、当院では胸腰椎撮像の際、確実な病変の拾い上げを行うためlarge FOV で1ステーションの撮像をルーチン化し、またステーション数減少による撮像時間の短縮を図っている。昨今、Deep Learning等の最新技術がフォーカスされるが、GEHC社オリジナル技術は新技術の基盤となっており、安定した画質を支えている。



VoyagerMR30_ube02.jpg
Fig.1 腰椎圧迫骨折に対しFOV 50cm 1station にて撮像した胸腰椎画像
(a) T2 FSE (b)T2_STIR FSE (c)T1 FSE




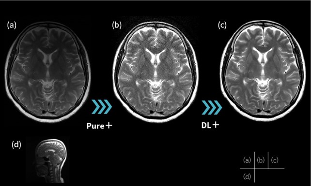
2. AIR™ Recon DLの威力
Fig.2にAIR™ Recon DL(以下ARDL )を用いた頭部T2WIを示す。本画像は、受検者が極度の閉所恐怖症を有し、ガントリー内には入れたもののHeadコイル前面を装着することに抵抗を示したため、馬蹄アダプタをHeadコイルに装着して撮像を行った症例である。本法では、頭部前面の感度不良域をPureにて補正し、信号上昇によって生じたノイズをARDLで抑制した。ARDLを用いた画像のみを見ると一見何の違和感を抱かないが、ARDLを用いない画像と比較するとその威力を感じることができる。また、本技術はSNRの向上のみならず尖鋭性の向上効果も高いことが特徴であり1)、その臨床例については後述する。



VoyagerMR30_ube03.jpg
Fig.2 馬蹄アダプタを装着したHead coilで撮像 したT2WIにおけるDL有無の比較
(a) without Pure, without DL (b) with Pure, without DL (c) with Pure, with DL(H) (d) localizer image



3. AIR™ Recon DLを活用した頭部DWIのthin slice撮像
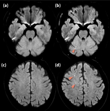
頭部DWIでは、脳実質の信号が高いことから他部位に比べ高分解能で撮像されることが多いが、ARDLを用いる事で更なる高分解能化が可能と考える。DWIにて高解像度化を図る場合、面内分解能を高くすると周波数マトリックスの上昇に伴い歪みの影響が大きくなり、アーチファクト増大を招く2)。一方で、スライス厚を薄くすることでパーシャルボリューム効果の影響を減少させ、歪みの影響を増大させず解像度を向上させることができる3)。Fig.3に急性期ラクナ梗塞の臨床例を示す。面内分解能を高くした撮像条件(a)(c)では小さな梗塞巣を検出することができないが、スライス厚を薄くする(b)(d)ことで病変部が明瞭となった。このように、ARDLを活用した頭部DWIのthin slice撮像は、SNRを担保しつつ歪みの影響を増大させることなく尖鋭度を向上させる有益な手法であり、臨床的意義の高い画像が可能となった。また、本法の2D thin slice撮像は他シーケンスにも応用可能であり、スライス数増加に伴うSAR上昇が懸念される3T装置よりも1.5T装置での活用が有効である点4)も、Voyagerの利点と言える。



VoyagerMR30_ube04.jpg
Fig.3 急性期ラクナ梗塞における面内高分解能撮像 とthin slice撮像の描出能の比較
(a)(c) slice thickness:5mm, matrix:256*256 (b)(d) slice thickness:3mm, matrix:128*256



VoyagerMR30_ube05.jpg
Fig.4 前立腺がん多発骨転移におけるDWIBS画像(axial 4stationにて撮像)
(a)MIP (b) partial MIP sag (c)(d)(e) axial(元画像) (f) Fusion image(SSFSE+DWI)




4. 最新技術を駆使した全身拡散強調画像(DWIBS)
DWIは他シーケンスと比べ低SNRかつ低分解能であることから、ARDLの恩恵を最大限受けるシーケンスと言える。SIGNA™ Voyagerは1.で述べたように、安定した広範囲撮像や脂肪抑制を有するためDWIBS検査を得手とするが、加えてARDLを活用することで高SNRかつ高尖鋭度への画質改善が図られ、検査の質向上に繋がると考える。また、Deep Learning 技術のみならず、AIR™ Reconによる受信チャンネル毎の重みづけや、受信感度の高いAIR AAコイルの使用により更なるSNR増加が期待でき、病変検出能の向上が期待できる。他方で、本装置で使用するAIR AAコイルは軽量素材であるため、比較的検査時間の長いDWIBS検査においては、被検者の負担を大幅に軽減できる点も特筆すべき事項である。
Fig.4に前立腺がんの多発骨転移の症例を示す。ARDL等の技術を駆使することで、従来条件より尖鋭性の高い画像が可能となり、また高い病変検出能を有していることがわかる。さらに、MIP画像の病変視認性のみでなく、Axial元画像のクオリティも高く、安定した画像が取得できていると言える。またフュージョン画像では、画像の位置一致率が高く、歪みの影響が最大限抑制されていることがわかる。
DWIBSはSNRの観点より、近年3T装置での検査報告が散見されるが5)、ARDLがDWIに適用されたことで、画像歪みや脂肪抑制の安定性からも1.5T装置での有用性が高く、SIGNA™ VoyagerでのDWIBS検査はより安定した高画質が取得可能であると言える。




5. AIR™ Recon DLを併用したFOCUSの威力
次にFOCUSについて述べる。FOCUSは目的部位を局所的に励起することで、位相方向や3D撮像でのスライス方向の折り返し、アネファクトアーチファクトを抑制し、撮像領域の高分解能化や撮像時間の短縮さらにはDWIの歪軽減効果を得ることができる6)。一方、本技術はサンプリング数減少によるSNR低下を招くため、信号強度の高い3T装置での撮像の有用性が高いとされている6)。しかしながら、ARDLを併用することでデノイズによるSNR向上が図られることから、1.5T装置においても3T装置と遜色ない画像が取得可能となる。以下にARDLを併用したFOCUSの臨床画像を紹介する。



5-1. DWI
Fig.5-1に化膿性脊椎炎の画像を示す。本症例は、DWIのphase FOVを大幅に絞ることでDWIの歪みを低減しつつ、small FOVによって生じたノイズをARDLによってデノイジングさせた一例である。SNR向上もさることながら、1.5T装置ならではの歪み低減や均一な脂肪抑制効果が相まって、病巣のみがハイライトされ高画質な画像が提供できた。



VoyagerMR30_ube06.jpg
Fig.5-1 化膿性脊椎炎における腰椎画像
(a) DWI FOCUS+DL(phaseFOV:40%)(b) T1 FSE (c) T2_STIR FSE




5-2. 3D MRCP
(a) 呼吸同期 (b) 息止め FOCUS+DL (b) T1 FSE (c) T2_STIR FSE 3D MRCPの画像(Fig.5-2)を示す。本症例は、呼吸同期にて3D MRCP撮像を行ったものの、受検者の呼吸が不安定であったため動きの影響を大きく受けpoorとなった症例である(a)。これに対して、FOCUSを用いることで、撮像時間の大幅な短縮を図りつつ、FOCUSによって生じたノイズをARDLで抑制することで、高画質な息止め撮像が可能となった(b)。更に、息止め法(b)は呼吸同期法(a)と比べ撮像時間の観点よりvoxel sizeを下げざるを得ないが、ARDLを使用することで尖鋭性向上効果も得られるため、従来の呼吸同期法と遜色ない画像が取得できた一例である。



VoyagerMR30_ube07.jpg
Fig.5-2 同一被検者における3D MRCPの呼吸同期法と息止め法の比較




6. 最新技術を集結させた肝臓EOB検査
肝臓EOB検査では、高分解能化やDynamic studyの時間短縮化が求められるが、ARDLと圧縮センシング技術HyperSense7)がLAVAにも適用拡大されたことで、1.5T装置においても高解像度かつ短時間撮像が可能となった。 Fig.6-1に肝臓検査の一例を示す。Dynamic studyではHyperSenseを用いることで、高速化と高分解能化の両立を図り、またARDLを併用することでデノイジングと尖鋭性向上を図っている。上腹部検査では、現在ほぼ全てのシーケンスにARDLが適用されているため、旧装置に比べ検査のクオリティが格段に向上した。
また、本症例はAIR MPコイルを使用した症例であり、ハード面からも画質向上に寄与している。ここで、AIR MPコイルの特徴について述べる。



VoyagerMR30_ube08.jpg
Fig.6-1 肝臓MRI画像
(a)(b)(c) : ARDL + Hyper Sense (d)(e)(f) : ARDL
(a)Dynamic 動脈相 (b) Dynamic 門脈相
(c) 肝細胞相 (d) T2 FSE (PROPELLER) _RT
(e)SSFSE_BH (f) DWI b1000_RT




Fig.6-2にファントムによって得られたAIR AAコイルとAIR MPコイルのSNRマップおよびSNR値の比較を示す。Surfaceコイル単体で使用した場合、AIR MPコイルはAIR AAコイルに比べSNRが約38%高く、また埋め込み型背面コイルと併用した場合も前方に設置したAIR MPコイルのSNRが背面コイルよりも高く、高い感度を有していることがわかる。また、Fig.6-3に示す通り、AIR MPコイルはAIR AAコイルよりもRL方向の寸法が長くコイル配列も多い設計となっているため、上腹部検査ではAIR MPコイルを側腹部まで巻きつけることで、高い受信感度を得ることができる。このように、AIR MPコイルはAIR AAコイルに比べSI方向の感度領域は限局されるものの、正しくコイルを設置することで目的部位を高いSNRで撮像することができる。


VoyagerMR30_ube09.jpgFig.6-2 ファントムにおけるAIR coilとMP coilのSNR マップ
(差分マップ法)の比較
(a) AIR AAコイルのみ (b) AIR MPコイルのみ
(c) AIR AAコイル(前面) + 背面コイル(後面)
(d) AIR MPコイル (前面) + 背面コイル(後面)

VoyagerMR30_ube10.jpgSNR値((a)(b)より算出)



VoyagerMR30_ube11.jpgFig.6-3 AIR AA コイルとAIR MP coilの外観比較と AIR MPコイルのセッティングの一例




7. AIR™ Recon DLを併用したPROPELLER MB
7-1. 肩関節
Fig.7-1に肩関節の画像を示す。PROPELLER MBを使用することで呼吸や体動によるモーションアーチファクトを抑制し8)、また高い磁場均一性を有していることからオフセンターにおいても均一な信号や脂肪抑制効果を発揮していることがわかる。また、PROPELLER MBはマルチショットにて1ブレードを収集できるため、ETLを増加させずブラーによるボケを抑制でき、TE延長を伴わないためT1WIやPDWIにも適用可能である。Fig.7-1に示す画像は全てPROPELLER MBで撮像を行っており、Cartesian法に比べ遜色ない画像と言える。



VoyagerMR30_ube12.jpg
Fig.7-1 PROPELLERとDLを併用した肩関節画像
(a) T1 FSE (b) T2 FSE (c) T2_STIR FSE




また、本症例はAIR MPコイルを使用しているため、前項で示したように高画質を提供できるほか、コイルが患部にやさしくフィットするため被検者の負担が少なく、ポジショニング時においても装置本体がワイドテーブルかつワイドボアのため、肩関節MRI検査は苦痛を伴わないやさしい検査となった。



7-2. 頚椎
Fig.7-2に頚椎T2WI の画像を示す。頚椎はCSFのフローやトランケーションを生じやすく、脊髄内に偽病変(アーチファクト)を生じてしまうことを経験する9)。PROPELLER MBを使用することでCSFのフローアーチファクトを抑制(分散)しつつ、ARDLを併用することでトランケーションを低減することができる。また、AIR™ Reconによるノイズレベルに応じた受信チャンネル毎の重みづけ再構成をすることにより、PROPELLER MB独自のアーチファクトも抑制している。本症例は頸髄損傷であるが、上記のテクニックを用いることで迷うことなく所見を指摘することができる。



VoyagerMR30_ube13.jpg
Fig.7-2 頚髄損傷におけるPROPELLERとARDLを併用した 頚椎(髄)画像
(a) T1 FSE (b) T2 FSE (c) T2 STIR FSE




本装置導入以降、当院では生理的動きの影響を受けやすい肩関節や頚椎はPROPELLER MBをルーチンプロトコールとして採用しており、今後も積極的な使用を推進している。




8. SIGNA™ Voyagerを用いた乳房MRI検査の有用性
当院の精査で撮像した現行の他社装置3T とSIGNA™ Voyager 1.5Tの乳房DWI(b値1000)の画像をFig.8に示す。異なる被検者ではあるが、SIGNA™ Voyagerでは両側乳房の脂肪を均一に抑制しつつ、正常乳腺を淡く描出できており高いコントラストが得られていることがわかる。これは、ARDLによる画質改善効果だけではなく、GEHC社独自技術であるDST(内蔵Body coilと8ch Breast コイルの同時受信による深部信号強度の均一化)やAIR™ Recon(コイル毎のノイズ量に応じた信号の重みづけ)の効果、さらには左右独立して設定可能なDual shim機能による高精度なシミング効果が相まって、高画質化が実現できていると考える。 これまで、乳房MRI検査は3T装置での撮像が望ましいと認識していたが、DWIのクオリティの高さや乳房検査プロトコールほぼ全てのシーケンスにDLが適用されていることを考慮すると、1.5T装置SIGNA™ Voyagerにおいても質の高い乳房MRI検査が可能と考える。


VoyagerMR30_ube14.jpg
VoyagerMR30_ube15.jpg
Fig.8 Voyager1.5Tと既存3T装置の乳房DWI (b1000)の比較
(a) Voyager 1.5T装置 (b) 既存3T装置




9. SIGNA™ Voyager導入による経済効果
これまで、新技術に伴う画質向上について述べてきたが、新装置導入に伴い病院経営にも大きなインパクトを与えている。新装置では、ヘリウムの消費をゼロとしたゼロボイルオフ機構により、価格高騰しているヘリウム供給のランニングコストを抑制できたことに加え、GEHC社独自技術であるIGC plus(高い冷却効率により省エネと高いパフォーマンスの両立)による高い省エネ効果を発揮している。Fig.9-1に当院1.5T MRI装置の更新前後の消費電力量を示す。新旧装置で比較すると、撮像時および待機時ともに大幅な電力量削減が達成でき、コストダウンによる病院経営に大きく寄与することができた。また、コストダウンだけでなく、検査数増加による増収効果も見込まれる。Fig.9-2に当院のMRI稼働状況および装置稼働割合を示す。MRI検査数(7月〜10月における1ヶ月平均件数)は、前年度と比較すると3Tの検査数を維持しながらも、1.5Tの検査数が飛躍的に増加したことがわかる。これは、上述したDWIBSなどの検査を新規に導入したことに加え、体動やオフセンターでの影響を受けやすい肩関節等の検査を3Tから1.5Tへ移行したことが理由と考える。このように、装置更新に伴い1.5T装置の稼働率が大幅に上昇したことで全MRI検査数の底上げに繋がり増収が見込まれる。また、装置更新前では検査需要の高い3Tの検査枠が逼迫していたが、MRI装置2台の検査数平準化が図られたことにより、我々診療放射線技師の時間外勤務の抑制にもつながり、働き方の改善も同時に図られたことも追記する。



VoyagerMR30_ube16.jpg
Fig.9-1 1.5T MRI新旧装置における撮像時および待機時の消費電力の推移
(a) 1.5T MRI装置本体における消費電力 (b) 1.5T MRI冷凍機における消費電力





VoyagerMR30_ube17.jpg
Fig.9-2 装置更新前後における装置別MRI検査数および稼働割合の推移(7-10月平均)




最後に
1.5T装置は、広範囲領域やオフセンターでの撮像あるいは均一な脂肪抑制等を得手とする一方で、高解像度や高いSNRを求められる検査ではこれまで信号強度の高い3T装置での検査が主流であった。しかしながら、これまで述べてきたARDL等の最新技術を駆使することで、1.5T装置においても高SNRかつ高解像度化が実現でき、3T装置と遜色ない画像を取得することが可能となった。また、最新技術の肝となるARDLにおいては、現在多くのMRIメーカーがリリースしているが、GEHC社の現行最新バージョンMR30.0では他メーカーに比べ幅広いシーケンスにおいて適用することができるため、臨床への活用が最大限発揮できることを実感している。 このように、SIGNA™ Voyager MR30.0は撮像部位や範囲、シーケンスに依存せず、3Tに見劣りしない高画質な画像を提供することができ、臨床的かつ経済的なインパクトを与える装置と言うことができる。



<参考文献>
1) 小島慎也.臨床用MR装置におけるAI画像再構成の現状.日放技学誌.2023;79(10):1200-09.
2) 高橋光幸 他.拡散強調画像における歪みの検討.日放技学誌.2009;65(11):1494-01.
3) 小倉明夫 他.MR画像におけるスライス厚とマトリックスサイズが信号検出能に与える影響.日放技学誌2005;61(8):1140-43.
4) 日磁共医学会 安全性評価委員会.MRI安全性の考え方第2版.秀潤社.2014;75-78.
5) Murtz P, et al. Diffusion-weighted whole-body MR imaging with background body signal suppression: a feasibility study at 3.0 Tesla. Eur Radiol 2007;17:3031–37.
6) Susanne RieseberGEHCt al.Two-dimensional spatially-selective RF excitation pulses in echo-planar imaging.Magn Reson Med.2002;47:1186–93.
7) 山本憲.圧縮センシングの臨床MRI応用.Med Imag Tech.2020;38.57-66.
8) 森春志 他.PROPELLER MRイメージングの評価.日医放学雑.2002;62(6):287-9.
9) 林則夫.生体信号収取時の信号収集に伴うアーチファクトとその対策. 日放技学誌.2012;58:47-51.



VoyagerMR30_ube18.jpg宇部興産中央病院 MRスタッフ一同




Cookie Preferences | Privacy Policy | California Privacy Policy | Terms and Conditions | Security


Copyright and trademark statement: © 2026 GE HealthCare. GE is a trademark of General Electric Company. Used under trademark license.