Comprometidos
con cada vida.

Dedicamos innovación y cuidado a cada ser vivo,
porque cada especie merece tratamientos a medida.

Casos clínicos

Descubra cómo mejoramos cada diagnóstico

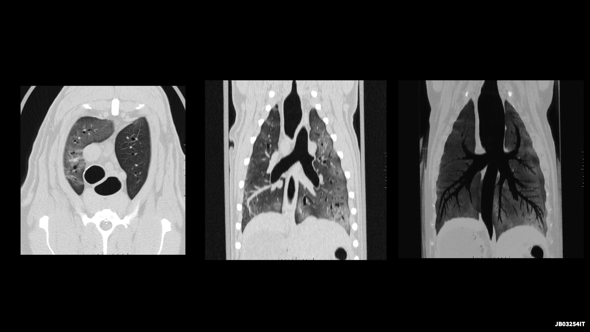
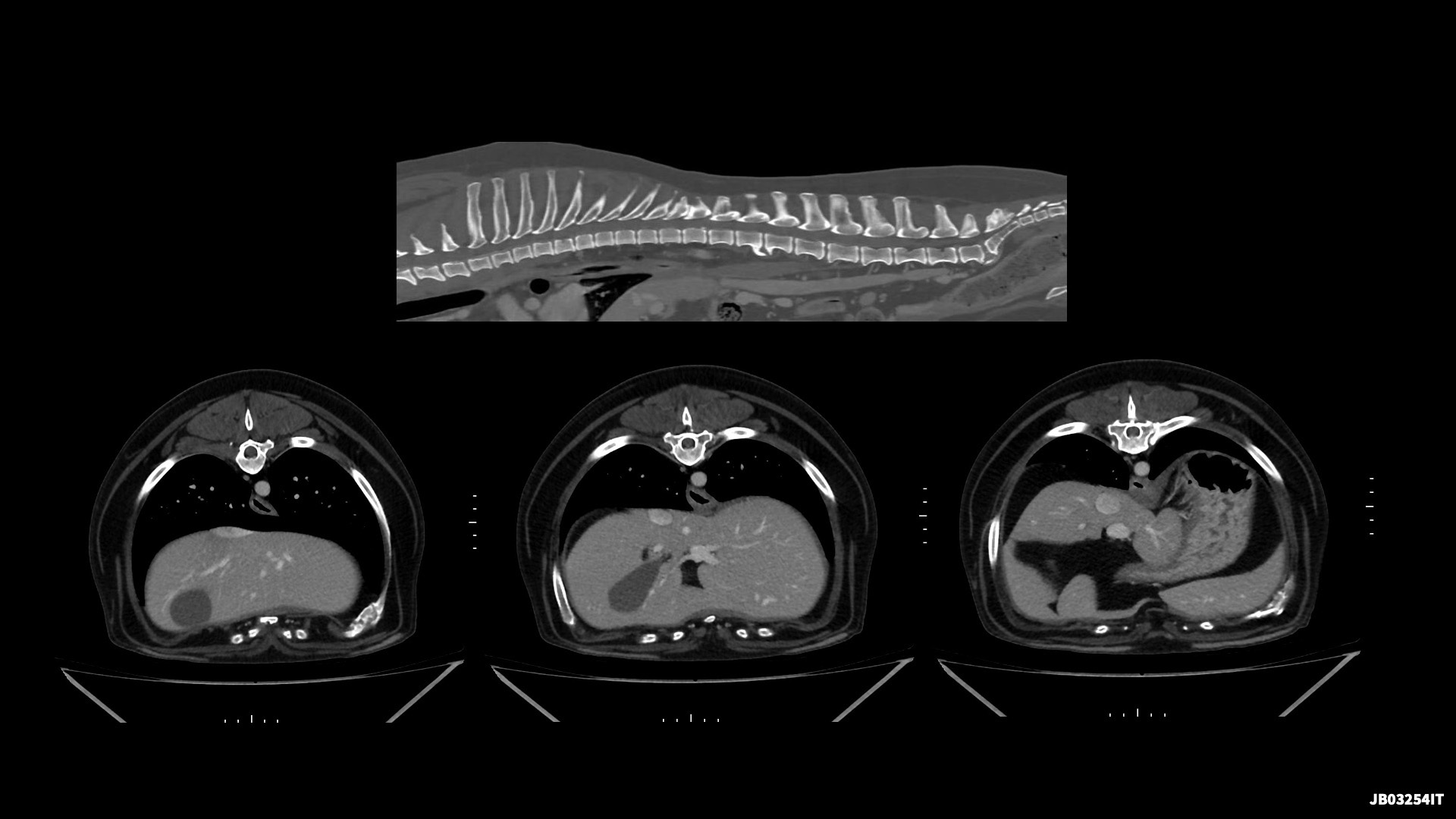
Imágenes clínicas

No hace falta ser un águila para ver los detalles

Poses no solicitadas

Cuando los animales entran a la clínica veterinaria y salen…como estrellas de fotos inolvidables. Aviso: todos los sujetos retratados han dado su consentimiento con un guiño del hocico.
Cuando el veterinario dice que ama a todos sus pacientes… pero Max, debajo de la mesa, sabe que es el cuarto en discordia
Cuando te das cuenta de que el paseo en coche no era para ir al parque.
¿Seguro que este yeso está hecho como debe?
"Según la página 47, debería recibir más golosinas durante la recuperación"
"Me subo bien alto para juzgarte como es debido."
Diagnóstico: clínicamente adorable
El primer caso en el mundo de un perro con intoxicación por kriptonita
El examen muestra una gran resistencia a ponerse de pie…posible efecto de una 'resaca de dog-party’




*Revolution Aspire: Esto no constituye ni una oferta ni un acuerdo para suministrar las tecnologías. No cuenta con marcado CE para uso animal. No puede comercializarse ni ponerse en servicio hasta haber obtenido todas las autorizaciones regulatorias necesarias para uso animal, incluyendo, cuando corresponda, el marcado CE.

© 2025 GE HealthCare.
Revolution es marca comercial de GE HealthCare y tienen marcado CE. GE es una marca comercial de la compañía General Electric bajo licencia de marca registrada. JBXXXXXES

GENERAL ELECTRIC HEALTHCARE ESPAÑA, S.A.U. (en adelante, GEHC) le informa que sus datos han sido obtenidos dentro del proceso de gestión comercial y se han incorporado a nuestros ficheros con la finalidad de enviarle información que pueda ser de su interés. Podrán ejercitarse los derechos de acceso, rectificación, supresión, oposición, limitación al tratamiento, portabilidad y revocación del consentimiento dirigiéndose a [email protected] o bien a Calle Gobelas, 35-37, 28023, Madrid, indicando la referencia “Protección Datos”.